• 文献检索
  • 文档翻译
  • 深度研究
  • 学术资讯
  • Suppr Zotero 插件Zotero 插件
  • 邀请有礼
  • 套餐&价格
  • 历史记录
应用&插件
Suppr Zotero 插件Zotero 插件浏览器插件Mac 客户端Windows 客户端微信小程序
定价
高级版会员购买积分包购买API积分包
服务
文献检索文档翻译深度研究API 文档MCP 服务
关于我们
关于 Suppr公司介绍联系我们用户协议隐私条款
关注我们

Suppr 超能文献

核心技术专利:CN118964589B侵权必究
粤ICP备2023148730 号-1Suppr @ 2026

文献检索

告别复杂PubMed语法,用中文像聊天一样搜索,搜遍4000万医学文献。AI智能推荐,让科研检索更轻松。

立即免费搜索

文件翻译

保留排版,准确专业,支持PDF/Word/PPT等文件格式,支持 12+语言互译。

免费翻译文档

深度研究

AI帮你快速写综述,25分钟生成高质量综述,智能提取关键信息,辅助科研写作。

立即免费体验

六氟铃脲和抑霉唑诱导大鼠神经行为毒性的机制研究

A Comprehensive Study on the Mechanistic Way of Hexaflumuron and Hymexazol Induced Neurobehavioral Toxicity in Rats.

机构信息

Department of Pathology, Faculty of Veterinary Medicine, Cairo University, P.O. Box 12211, Giza, Egypt.

Department of Toxicology and Forensic Medicine, Faculty of Veterinary Medicine, Cairo University, Giza, Egypt.

出版信息

Neurochem Res. 2022 Oct;47(10):3051-3062. doi: 10.1007/s11064-022-03654-5. Epub 2022 Jun 30.

DOI:10.1007/s11064-022-03654-5
PMID:35773501
原文链接:https://pmc.ncbi.nlm.nih.gov/articles/PMC9470636/
Abstract

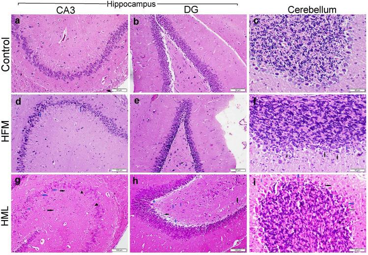
Pesticides are widely used in agriculture to kill pests, but their action is non-selective and results in several hazardous effects on humans and animals. Pesticide toxicity has been demonstrated to alter a variety of neurological functions and predisposes to various neurodegenerative diseases. Although, there is no data available for hexaflumuron (HFM) and hymexazol (HML) neurotoxicity. Hence, the present study aims to investigate the possible mechanisms of HFM and HML neurotoxicity. 21 male Wistar rats were divided into three groups and daily received the treatment via oral gavage for 14 days as follows: group (1) normal saline, group (2) HFM (1/100LD50), and group (3) HML (1/100 LD50). Our results revealed that both HFM and HML produced a significant increase in MDA levels and a decrease in GSH and CAT activity in some brain areas. There were severe histopathological alterations mainly neuronal necrosis and gliosis in different examined areas. Upregulation of mRNA levels of JNK and Bax with downregulation of Bcl-2 was also recorded in both pesticides exposed groups. In all studied toxicological parameters, HML produced neurotoxicity more than HFM. HFM targets the cerebral cortex and striatum, while HML targets the cerebral cortex, striatum, hippocampus, and cerebellum. We can conclude that both HFM and HML provoke neurobehavioral toxicity through oxidative stress that impairs the mitochondrial function and activates the JNK-dependent apoptosis pathway.

摘要

农药在农业中被广泛用于杀死害虫,但它们的作用是非选择性的,会对人类和动物造成多种危险影响。已证明农药毒性会改变多种神经功能,并导致各种神经退行性疾病。虽然目前尚无关于六氟菊酯(HFM)和四螨嗪(HML)神经毒性的数据。因此,本研究旨在探讨 HFM 和 HML 神经毒性的可能机制。21 只雄性 Wistar 大鼠分为三组,每天通过口服灌胃接受 14 天的治疗,如下所示:组(1)生理盐水,组(2)HFM(1/100LD50)和组(3)HML(1/100 LD50)。我们的结果表明,HFM 和 HML 均可显著增加某些脑区的 MDA 水平,降低 GSH 和 CAT 活性。在不同检查区域均观察到严重的组织病理学改变,主要为神经元坏死和神经胶质增生。两种农药暴露组还记录到 JNK 和 Bax 的 mRNA 水平上调以及 Bcl-2 的下调。在所有研究的毒理学参数中,HML 引起的神经毒性大于 HFM。HFM 靶向大脑皮层和纹状体,而 HML 靶向大脑皮层、纹状体、海马体和小脑。我们可以得出结论,HFM 和 HML 均通过氧化应激引发神经行为毒性,从而损害线粒体功能并激活依赖 JNK 的细胞凋亡途径。

https://cdn.ncbi.nlm.nih.gov/pmc/blobs/a6d2/9470636/da442eda37e8/11064_2022_3654_Fig5_HTML.jpg
https://cdn.ncbi.nlm.nih.gov/pmc/blobs/a6d2/9470636/2cead438949d/11064_2022_3654_Fig1_HTML.jpg
https://cdn.ncbi.nlm.nih.gov/pmc/blobs/a6d2/9470636/ddb2a3d9ba1d/11064_2022_3654_Fig2_HTML.jpg
https://cdn.ncbi.nlm.nih.gov/pmc/blobs/a6d2/9470636/c9824e1f822f/11064_2022_3654_Fig3_HTML.jpg
https://cdn.ncbi.nlm.nih.gov/pmc/blobs/a6d2/9470636/9b998b56e616/11064_2022_3654_Fig4_HTML.jpg
https://cdn.ncbi.nlm.nih.gov/pmc/blobs/a6d2/9470636/da442eda37e8/11064_2022_3654_Fig5_HTML.jpg
https://cdn.ncbi.nlm.nih.gov/pmc/blobs/a6d2/9470636/2cead438949d/11064_2022_3654_Fig1_HTML.jpg
https://cdn.ncbi.nlm.nih.gov/pmc/blobs/a6d2/9470636/ddb2a3d9ba1d/11064_2022_3654_Fig2_HTML.jpg
https://cdn.ncbi.nlm.nih.gov/pmc/blobs/a6d2/9470636/c9824e1f822f/11064_2022_3654_Fig3_HTML.jpg
https://cdn.ncbi.nlm.nih.gov/pmc/blobs/a6d2/9470636/9b998b56e616/11064_2022_3654_Fig4_HTML.jpg
https://cdn.ncbi.nlm.nih.gov/pmc/blobs/a6d2/9470636/da442eda37e8/11064_2022_3654_Fig5_HTML.jpg

相似文献

1
A Comprehensive Study on the Mechanistic Way of Hexaflumuron and Hymexazol Induced Neurobehavioral Toxicity in Rats.六氟铃脲和抑霉唑诱导大鼠神经行为毒性的机制研究
Neurochem Res. 2022 Oct;47(10):3051-3062. doi: 10.1007/s11064-022-03654-5. Epub 2022 Jun 30.
2
Comparative assessment on the probable mechanisms underlying the hepatorenal toxicity of commercial imidacloprid and hexaflumuron formulations in rats.商业用吡虫啉和六氟隆制剂致大鼠肝肾毒性的可能作用机制的比较评估。
Environ Sci Pollut Res Int. 2022 Apr;29(19):29091-29104. doi: 10.1007/s11356-021-18486-z. Epub 2022 Jan 7.
3
The potential mechanism underlying the hepatorenal toxicity induced by hymexazol in rats and the role of NF-κB signaling pathway.甲霜灵诱导大鼠肝肾毒性的潜在机制及核因子κB信号通路的作用。
J Biochem Mol Toxicol. 2023 Apr;37(4):e23304. doi: 10.1002/jbt.23304. Epub 2023 Jan 12.
4
Impairment of mitochondrial integrity and redox status in brain regions during a low-dose long-term exposition of rats to pyrethrinoïds: the preventive effect of quercetin.在低剂量长期暴露于拟除虫菊酯的大鼠脑区中线粒体完整性和氧化还原状态的损伤:槲皮素的预防作用。
Environ Sci Pollut Res Int. 2017 Aug;24(24):19714-19722. doi: 10.1007/s11356-017-9675-0. Epub 2017 Jul 6.
5
Neurobehavioral Toxicity Induced by Carbendazim in Rats and the Role of iNOS, Cox-2, and NF-κB Signalling Pathway.多菌灵诱导大鼠神经行为毒性及 iNOS、Cox-2、NF-κB 信号通路的作用
Neurochem Res. 2022 Jul;47(7):1956-1971. doi: 10.1007/s11064-022-03581-5. Epub 2022 Mar 21.
6
Neuroprotective effects of curcumin against acetamiprid-induced neurotoxicity and oxidative stress in the developing male rat cerebellum: biochemical, histological, and behavioral changes.姜黄素对乙酰甲胺磷诱导的雄性幼鼠小脑发育毒性和氧化应激的神经保护作用:生化、组织学和行为改变。
Environ Sci Pollut Res Int. 2017 Dec;24(35):27515-27524. doi: 10.1007/s11356-017-0331-5. Epub 2017 Oct 4.
7
Insights overview on the possible protective effect of chitosan nanoparticles encapsulation against neurotoxicity induced by carbendazim in rats.关于壳聚糖纳米粒子包封对多菌灵诱导大鼠神经毒性的可能保护作用的综合见解。
Neurotoxicology. 2022 Jul;91:31-43. doi: 10.1016/j.neuro.2022.04.013. Epub 2022 May 2.
8
Protective role of glutathione reductase in paraquat induced neurotoxicity.谷胱甘肽还原酶在百草枯诱导的神经毒性中的保护作用。
Chem Biol Interact. 2012 Aug 30;199(2):74-86. doi: 10.1016/j.cbi.2012.05.008. Epub 2012 Jun 18.
9
Omega-3 fatty acid attenuates oxidative stress in cerebral cortex, cerebellum, and hippocampus tissue and improves neurobehavioral activity in chronic lead-induced neurotoxicity.ω-3 脂肪酸可减轻慢性铅诱导的神经毒性中大脑皮质、小脑和海马组织的氧化应激,改善神经行为活动。
Nutr Neurosci. 2019 Feb;22(2):83-97. doi: 10.1080/1028415X.2017.1354542. Epub 2017 Aug 1.
10
Ethanol increases manganese-Induced spatial learning and memory deficits via oxidative/nitrosative stress induced p53 dependent/independent hippocampal apoptosis.乙醇通过氧化/硝化应激诱导的 p53 依赖/非依赖海马细胞凋亡增加锰诱导的空间学习和记忆缺陷。
Toxicology. 2019 Apr 15;418:51-61. doi: 10.1016/j.tox.2019.03.001. Epub 2019 Mar 5.

引用本文的文献

1
White poplar leaves dietary intervention mitigates hexaflumuron toxicity on growth, neuro-behavioral status, autophagy-related gene expression, and histopathological changes in Nile tilapia.白杨树叶饮食干预减轻了氟铃脲对尼罗罗非鱼生长、神经行为状态、自噬相关基因表达及组织病理学变化的毒性。
Fish Physiol Biochem. 2025 Aug 22;51(5):150. doi: 10.1007/s10695-025-01561-4.
2
Neurobehavioral and Neuropathological Alterations Induced by Nickel Sulphate Toxicity in Rats: Molecular Mechanisms and Prophylaxis with Curcumin Supplementation.硫酸镍毒性诱导大鼠神经行为和神经病理学改变:分子机制及姜黄素补充预防
Biol Trace Elem Res. 2025 Jun 18. doi: 10.1007/s12011-025-04654-6.
3

本文引用的文献

1
Insights overview on the possible protective effect of chitosan nanoparticles encapsulation against neurotoxicity induced by carbendazim in rats.关于壳聚糖纳米粒子包封对多菌灵诱导大鼠神经毒性的可能保护作用的综合见解。
Neurotoxicology. 2022 Jul;91:31-43. doi: 10.1016/j.neuro.2022.04.013. Epub 2022 May 2.
2
Novel insights into the potential mechanisms underlying carbendazim-induced hepatorenal toxicity in rats.新型见解揭示了多菌灵诱导大鼠肝肾毒性的潜在机制。
J Biochem Mol Toxicol. 2022 Aug;36(8):e23079. doi: 10.1002/jbt.23079. Epub 2022 Apr 19.
3
Neurobehavioral Toxicity Induced by Carbendazim in Rats and the Role of iNOS, Cox-2, and NF-κB Signalling Pathway.
Ameliorative potential of Populus alba leaf powder against hexaflumuron exposure in Nile tilapia: immune-antioxidant, biochemical, histological, and transcriptomic analysis.
银白杨叶粉对尼罗罗非鱼氟铃脲暴露的改善潜力:免疫抗氧化、生化、组织学和转录组分析
Fish Physiol Biochem. 2025 Mar 14;51(2):67. doi: 10.1007/s10695-025-01465-3.
4
Hexaflumuron insecticide exposure induces behavior alterations, hemato-biochemical disorders, antioxidant-immune dysfunction, and histopathological alterations in Nile tilapia (Oreochromis niloticus).六氟菊酯杀虫剂暴露会导致尼罗罗非鱼(Oreochromis niloticus)行为改变、血液生化紊乱、抗氧化免疫功能障碍和组织病理学改变。
Vet Res Commun. 2024 Oct;48(5):3105-3120. doi: 10.1007/s11259-024-10467-0. Epub 2024 Jul 31.
5
Potential Mechanisms of Imidacloprid-Induced Neurotoxicity in Adult Rats with Attempts on Protection Using L. Oil/Extract: and Studies.吡虫啉诱导成年大鼠神经毒性的潜在机制及利用月桂油/提取物进行保护的尝试:研究
ACS Omega. 2023 May 17;8(21):18491-18508. doi: 10.1021/acsomega.2c08295. eCollection 2023 May 30.
6
Widespread use of toxic agrochemicals and pesticides for agricultural products storage in Africa and developing countries: Possible panacea for ecotoxicology and health implications.在非洲和发展中国家,有毒农用化学品和杀虫剂在农产品储存中的广泛使用:对生态毒理学和健康影响的可能解决办法。
Heliyon. 2023 Apr 6;9(4):e15173. doi: 10.1016/j.heliyon.2023.e15173. eCollection 2023 Apr.
多菌灵诱导大鼠神经行为毒性及 iNOS、Cox-2、NF-κB 信号通路的作用
Neurochem Res. 2022 Jul;47(7):1956-1971. doi: 10.1007/s11064-022-03581-5. Epub 2022 Mar 21.
4
L-Carnitine alleviates hepatic and renal mitochondrial-dependent apoptotic progression induced by letrozole in female rats through modulation of - signaling.左旋肉碱通过调节信号通路减轻来曲唑诱导的雌性大鼠肝脏和肾脏线粒体依赖性凋亡进程。
Drug Chem Toxicol. 2023 Mar;46(2):357-368. doi: 10.1080/01480545.2022.2039180. Epub 2022 Feb 17.
5
Comparative assessment on the probable mechanisms underlying the hepatorenal toxicity of commercial imidacloprid and hexaflumuron formulations in rats.商业用吡虫啉和六氟隆制剂致大鼠肝肾毒性的可能作用机制的比较评估。
Environ Sci Pollut Res Int. 2022 Apr;29(19):29091-29104. doi: 10.1007/s11356-021-18486-z. Epub 2022 Jan 7.
6
Quercetin ameliorates ochratoxin A-Induced immunotoxicity in broiler chickens by modulation of PI3K/AKT pathway.槲皮素通过调节 PI3K/AKT 通路改善黄曲霉毒素 A 诱导的肉鸡免疫毒性。
Chem Biol Interact. 2022 Jan 5;351:109720. doi: 10.1016/j.cbi.2021.109720. Epub 2021 Oct 28.
7
Correction to: The Reproductive Injury and Oxidative Testicular Toxicity Induced by Chlorpyrifos Can Be Restored by Zinc in Male Rats.
Biol Trace Elem Res. 2022 Mar;200(3):1482. doi: 10.1007/s12011-021-02749-4.
8
Neuropathological and Cognitive Effects Induced by CuO-NPs in Rats and Trials for Prevention Using Pomegranate Juice.氧化铜纳米颗粒对大鼠的神经病理学和认知效应及用石榴汁进行预防的试验。
Neurochem Res. 2021 May;46(5):1264-1279. doi: 10.1007/s11064-021-03264-7. Epub 2021 Feb 11.
9
Cisplatin-conjugated gold nanoparticles-based drug delivery system for targeting hepatic tumors.顺铂偶联金纳米粒子载药系统靶向肝脏肿瘤。
J Biochem Mol Toxicol. 2021 May;35(5):e22722. doi: 10.1002/jbt.22722. Epub 2021 Jan 23.
10
Metabolic effects of exposure to pesticides during gestation in female Wistar rats and their offspring: a risk factor for diabetes?雌性Wistar大鼠孕期接触农药的代谢影响及其后代:糖尿病的一个风险因素?
Toxicol Res. 2020 Feb 4;36(3):249-256. doi: 10.1007/s43188-019-00028-y. eCollection 2020 Jul.