Suppr超能文献

左肝动脉假性动脉瘤的非典型表现

Atypical Presentation of Left Hepatic Artery Pseudoaneurysm.

作者信息

Niaz Murk, Khan Muhammad Arsalan, Muhammad Shah, Khan Abdaal Waseem

机构信息

Department of General Surgery, Sindh Institute of Urology and Transplantation, Karachi, Pakistan.

出版信息

ACG Case Rep J. 2022 Jul 1;9(7):e00815. doi: 10.14309/crj.0000000000000815. eCollection 2022 Jul.

Abstract

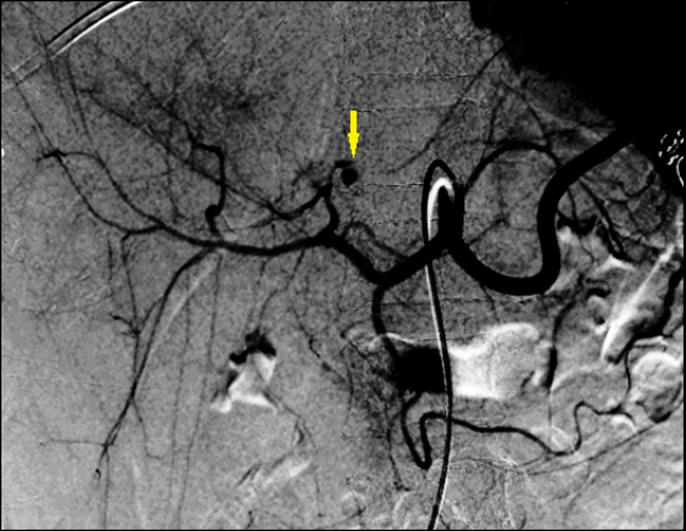
Hepatic artery pseudoaneurysm (HAP) commonly occurs after trauma and is rarely seen as a complication of pyogenic liver abscess. Patients with HAP can present with hemobilia secondary to arterobiliary fistula. We report a case of a 29-year-old woman who presented with abdominal pain, fever, and jaundice, who was diagnosed to have a pyogenic liver abscess that had led to the development of left HAP, presenting with hemobilia. The patient was successfully managed with endovascular coil embolization.

摘要

肝动脉假性动脉瘤(HAP)常见于外伤后,作为化脓性肝脓肿的并发症则较为罕见。HAP患者可因动脉胆管瘘出现胆道出血。我们报告一例29岁女性患者,她因腹痛、发热和黄疸就诊,被诊断为化脓性肝脓肿并发左肝HAP并伴有胆道出血。该患者通过血管内弹簧圈栓塞治疗成功治愈。

https://cdn.ncbi.nlm.nih.gov/pmc/blobs/dccb/9246077/30359e3ca88a/ac9-9-e00815-g001.jpg

文献AI研究员

20分钟写一篇综述,助力文献阅读效率提升50倍。

立即体验

用中文搜PubMed

大模型驱动的PubMed中文搜索引擎

马上搜索

文档翻译

学术文献翻译模型,支持多种主流文档格式。

立即体验