• 文献检索
  • 文档翻译
  • 深度研究
  • 学术资讯
  • Suppr Zotero 插件Zotero 插件
  • 邀请有礼
  • 套餐&价格
  • 历史记录
应用&插件
Suppr Zotero 插件Zotero 插件浏览器插件Mac 客户端Windows 客户端微信小程序
定价
高级版会员购买积分包购买API积分包
服务
文献检索文档翻译深度研究API 文档MCP 服务
关于我们
关于 Suppr公司介绍联系我们用户协议隐私条款
关注我们

Suppr 超能文献

核心技术专利:CN118964589B侵权必究
粤ICP备2023148730 号-1Suppr @ 2026

文献检索

告别复杂PubMed语法,用中文像聊天一样搜索,搜遍4000万医学文献。AI智能推荐,让科研检索更轻松。

立即免费搜索

文件翻译

保留排版,准确专业,支持PDF/Word/PPT等文件格式,支持 12+语言互译。

免费翻译文档

深度研究

AI帮你快速写综述,25分钟生成高质量综述,智能提取关键信息,辅助科研写作。

立即免费体验

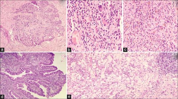
Xanthogranulomatous Cholecystitis with Coexisting Carcinoma- A Diagnostic Pitfall in Cytology.

作者信息

Arya Anupama, Goyal Shaily, Kumar Dilip, Das Poonam

机构信息

Department of Pathology, Max Lab, Max Super Speciality Hospital, Saket, New Delhi, India.

出版信息

J Cytol. 2022 Apr-Jun;39(2):86-88. doi: 10.4103/joc.joc_124_21. Epub 2022 May 20.

DOI:10.4103/joc.joc_124_21
PMID:35814879
原文链接:https://pmc.ncbi.nlm.nih.gov/articles/PMC9262002/
Abstract
摘要
https://cdn.ncbi.nlm.nih.gov/pmc/blobs/5a2e/9262002/08a4d1ef32c5/JCytol-39-86-g002.jpg
https://cdn.ncbi.nlm.nih.gov/pmc/blobs/5a2e/9262002/adabd6829bb0/JCytol-39-86-g001.jpg
https://cdn.ncbi.nlm.nih.gov/pmc/blobs/5a2e/9262002/08a4d1ef32c5/JCytol-39-86-g002.jpg
https://cdn.ncbi.nlm.nih.gov/pmc/blobs/5a2e/9262002/adabd6829bb0/JCytol-39-86-g001.jpg
https://cdn.ncbi.nlm.nih.gov/pmc/blobs/5a2e/9262002/08a4d1ef32c5/JCytol-39-86-g002.jpg

相似文献

1
Xanthogranulomatous Cholecystitis with Coexisting Carcinoma- A Diagnostic Pitfall in Cytology.合并癌的黄色肉芽肿性胆囊炎——细胞学诊断中的一个陷阱
J Cytol. 2022 Apr-Jun;39(2):86-88. doi: 10.4103/joc.joc_124_21. Epub 2022 May 20.
2
Coexistence of xanthogranulomatous cholecystitis and gallbladder adenocarcinoma: a fortuitous association?黄色肉芽肿性胆囊炎与胆囊腺癌并存:一种偶然关联?
Pathologica. 2013 Aug;105(4):137-9.
3
Xanthogranulomatous cholecystitis--a diagnostic challenge.黄色肉芽肿性胆囊炎——一项诊断挑战。
J Indian Med Assoc. 2012 Nov;110(11):833-7.
4
Xanthogranulomatous cholecystitis: What every radiologist should know.黄色肉芽肿性胆囊炎:每位放射科医生都应了解的知识。
World J Radiol. 2016 Feb 28;8(2):183-91. doi: 10.4329/wjr.v8.i2.183.
5
Xanthogranulomatous cholecystitis.黄色肉芽肿性胆囊炎
Dig Dis Sci. 1998 May;43(5):940-2. doi: 10.1023/a:1018802028193.
6
Extended resection for xanthogranulomatous cholecystitis mimicking gallbladder carcinoma: Cases and review of diagnostic approach.酷似胆囊癌的黄色肉芽肿性胆囊炎的扩大切除术:病例及诊断方法回顾
J Pak Med Assoc. 2019 Feb;69(2):256-260.
7
Can EUS-guided FNA distinguish between gallbladder cancer and xanthogranulomatous cholecystitis?EUS 引导下的 FNA 是否可以区分胆囊癌和黄色肉芽肿性胆囊炎?
Gastrointest Endosc. 2010 Sep;72(3):622-7. doi: 10.1016/j.gie.2010.05.022. Epub 2010 Jul 13.
8
Differentiating xanthogranulomatous cholecystitis from wall-thickening type of gallbladder cancer: added value of diffusion-weighted MRI.从壁增厚型胆囊癌中鉴别出黄色肉芽肿性胆囊炎:扩散加权 MRI 的附加价值。
Clin Radiol. 2013 Oct;68(10):992-1001. doi: 10.1016/j.crad.2013.03.022. Epub 2013 Apr 25.
9
B-mode ultrasonographic diagnosis in gallbladder wall thickening.B 型超声诊断胆囊壁增厚。
J Med Ultrason (2001). 2021 Apr;48(2):175-186. doi: 10.1007/s10396-020-01018-6. Epub 2020 Apr 24.
10
[Xanthogranulomatous cholecystitis mimicking carcinoma of gallbladder].[酷似胆囊癌的黄色肉芽肿性胆囊炎]
Tani Girisim Radyol. 2004 Mar;10(1):56-8.

本文引用的文献

1
Strategies for Differentiating Gallbladder Carcinoma from Xanthogranulomatous Cholecystitis-a Tertiary Care Centre Experience.鉴别胆囊癌与黄色肉芽肿性胆囊炎的策略——一家三级医疗中心的经验
Indian J Surg Oncol. 2017 Dec;8(4):554-559. doi: 10.1007/s13193-017-0677-7. Epub 2017 Jul 27.
2
Cytopathologic diagnosis of xanthogranulomatous cholecystitis and coexistent lesions. A prospective study of 31 cases.黄色肉芽肿性胆囊炎及并存病变的细胞病理学诊断:31例前瞻性研究
Acta Cytol. 2007 Jan-Feb;51(1):37-41. doi: 10.1159/000325680.
3
Xanthogranulomatous cholecystitis: 15 years' experience.
黄色肉芽肿性胆囊炎:15年经验
World J Surg. 2004 Mar;28(3):254-7. doi: 10.1007/s00268-003-7161-y. Epub 2004 Feb 17.
4
Fine needle aspiration cytology in xanthogranulomatous cholecystitis, gallbladder adenocarcinoma and coexistent lesions.细针穿刺细胞学检查在黄色肉芽肿性胆囊炎、胆囊腺癌及并存病变中的应用
Acta Cytol. 2000 Jul-Aug;44(4):508-14. doi: 10.1159/000328522.
5
Xanthogranulomatous cholecystitis. Fine needle aspiration cytology in 17 cases.
Acta Cytol. 1997 Mar-Apr;41(2):413-8. doi: 10.1159/000332533.
6
Benign tumors and pseudotumors of the gallbladder. Report of 180 cases.胆囊良性肿瘤及假性肿瘤。180例报告。
Arch Pathol. 1970 Nov;90(5):423-32.
7
Simultaneous xanthogranulomatous cholecystitis and primary adenocarcinoma of gallbladder.
Histopathology. 1988 Jun;12(6):672-5. doi: 10.1111/j.1365-2559.1988.tb01993.x.