• 文献检索
  • 文档翻译
  • 深度研究
  • 学术资讯
  • Suppr Zotero 插件Zotero 插件
  • 邀请有礼
  • 套餐&价格
  • 历史记录
应用&插件
Suppr Zotero 插件Zotero 插件浏览器插件Mac 客户端Windows 客户端微信小程序
定价
高级版会员购买积分包购买API积分包
服务
文献检索文档翻译深度研究API 文档MCP 服务
关于我们
关于 Suppr公司介绍联系我们用户协议隐私条款
关注我们

Suppr 超能文献

核心技术专利:CN118964589B侵权必究
粤ICP备2023148730 号-1Suppr @ 2026

文献检索

告别复杂PubMed语法,用中文像聊天一样搜索,搜遍4000万医学文献。AI智能推荐,让科研检索更轻松。

立即免费搜索

文件翻译

保留排版,准确专业,支持PDF/Word/PPT等文件格式,支持 12+语言互译。

免费翻译文档

深度研究

AI帮你快速写综述,25分钟生成高质量综述,智能提取关键信息,辅助科研写作。

立即免费体验

从自然感染[具体病原体]的鲤鱼中分离、鉴定和研究病原菌

Isolation, Identification, and Investigation of Pathogenic Bacteria From Common Carp () Naturally Infected With .

作者信息

Chen Huijie, Zhao Yuanli, Chen Kuangxin, Wei Yulai, Luo Hongrui, Li Yongming, Liu Fei, Zhu Zuoyan, Hu Wei, Luo Daji

机构信息

State Key Laboratory of Freshwater Ecology and Biotechnology, Hubei Hongshan Laboratory, Institute of Hydrobiology, Innovation Academy for Seed Design, Chinese Academy of Sciences, Wuhan, China.

College of Fisheries, Huazhong Agricultural University, Wuhan, China.

出版信息

Front Immunol. 2022 Jun 30;13:872896. doi: 10.3389/fimmu.2022.872896. eCollection 2022.

DOI:10.3389/fimmu.2022.872896
PMID:35844551
原文链接:https://pmc.ncbi.nlm.nih.gov/articles/PMC9279890/
Abstract

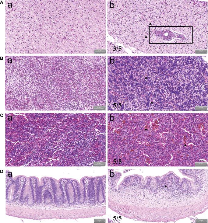
Various bacterial diseases have caused great economic losses to the high-density and intensive aquaculture industry; however, the pathogenic mechanism underlying the large-scale challenged to caused by many bacteria remain unclear, making the prevention and treatment of these diseases difficult. In the present study, we isolated a bacterial strain from   having a typical bacterial disease and named it Cc2021. Through subsequent morphological observations, a regression challenge, biochemical identification, and 16S rRNA gene sequence analysis, we determined Cc2021 to be . Subsequently, we comprehensively investigated the pathogenicity of in through a regression challenge and assessed the underlying the pathogenic mechanism. Mortality results revealed that is highly pathogenic and infects various tissues throughout the body, resulting in edema of the liver, spleen, and body and head kidneys. Histopathological analysis revealed obvious inflammation, bleeding, and necrosis in the intestine, spleen, and head kidney. The body's immune tissues actively produce complement C3, superoxide dismutase, and lysozyme after a challenge to resist bacterial invasion. With regard to the underlying pathogenesis of , comparative transcriptome analysis revealed 876 upregulated genes and 828 downregulated genes in the intestine of after the challenge. Analysis of differentially expressed unigenes revealed the involvement of major immune pathways, particularly the TNF signaling pathway, interleukin (IL)-17 signaling pathway, and Toll-like receptor signaling pathway. The present study provides new valuable information on the immune system and defense mechanisms of .

摘要

多种细菌性疾病给高密度集约化水产养殖业造成了巨大经济损失;然而,许多细菌引发大规模感染的致病机制仍不清楚,使得这些疾病的预防和治疗变得困难。在本研究中,我们从患有典型细菌性疾病的[具体来源未明确]中分离出一株细菌,并将其命名为Cc2021。通过随后的形态学观察、回归感染试验、生化鉴定和16S rRNA基因序列分析,我们确定Cc2021为[具体细菌种类未明确]。随后,我们通过回归感染试验全面研究了[该细菌]在[具体对象未明确]中的致病性,并评估了其致病机制。死亡率结果显示,[该细菌]具有高致病性,可感染全身各个组织,导致肝脏、脾脏以及体肾和头肾出现水肿。组织病理学分析显示,肠道、脾脏和头肾有明显的炎症、出血和坏死。机体的免疫组织在受到感染后会积极产生补体C3、超氧化物歧化酶和溶菌酶以抵抗细菌入侵。关于[该细菌]的潜在致病机制,比较转录组分析显示,感染后[具体对象未明确]肠道中有876个基因上调,828个基因下调。对差异表达单基因的分析揭示了主要免疫途径的参与,特别是肿瘤坏死因子信号通路、白细胞介素(IL)-17信号通路和Toll样受体信号通路。本研究为[具体对象未明确]的免疫系统和防御机制提供了新的有价值信息。

https://cdn.ncbi.nlm.nih.gov/pmc/blobs/49da/9279890/f14795f246ec/fimmu-13-872896-g007.jpg
https://cdn.ncbi.nlm.nih.gov/pmc/blobs/49da/9279890/8aeb1b9ab2e6/fimmu-13-872896-g001.jpg
https://cdn.ncbi.nlm.nih.gov/pmc/blobs/49da/9279890/5cd7bd95339a/fimmu-13-872896-g002.jpg
https://cdn.ncbi.nlm.nih.gov/pmc/blobs/49da/9279890/c03ee35435bc/fimmu-13-872896-g003.jpg
https://cdn.ncbi.nlm.nih.gov/pmc/blobs/49da/9279890/43c934c349dc/fimmu-13-872896-g004.jpg
https://cdn.ncbi.nlm.nih.gov/pmc/blobs/49da/9279890/01b941089c14/fimmu-13-872896-g005.jpg
https://cdn.ncbi.nlm.nih.gov/pmc/blobs/49da/9279890/a5d23f2ff03e/fimmu-13-872896-g006.jpg
https://cdn.ncbi.nlm.nih.gov/pmc/blobs/49da/9279890/f14795f246ec/fimmu-13-872896-g007.jpg
https://cdn.ncbi.nlm.nih.gov/pmc/blobs/49da/9279890/8aeb1b9ab2e6/fimmu-13-872896-g001.jpg
https://cdn.ncbi.nlm.nih.gov/pmc/blobs/49da/9279890/5cd7bd95339a/fimmu-13-872896-g002.jpg
https://cdn.ncbi.nlm.nih.gov/pmc/blobs/49da/9279890/c03ee35435bc/fimmu-13-872896-g003.jpg
https://cdn.ncbi.nlm.nih.gov/pmc/blobs/49da/9279890/43c934c349dc/fimmu-13-872896-g004.jpg
https://cdn.ncbi.nlm.nih.gov/pmc/blobs/49da/9279890/01b941089c14/fimmu-13-872896-g005.jpg
https://cdn.ncbi.nlm.nih.gov/pmc/blobs/49da/9279890/a5d23f2ff03e/fimmu-13-872896-g006.jpg
https://cdn.ncbi.nlm.nih.gov/pmc/blobs/49da/9279890/f14795f246ec/fimmu-13-872896-g007.jpg

相似文献

1
Isolation, Identification, and Investigation of Pathogenic Bacteria From Common Carp () Naturally Infected With .从自然感染[具体病原体]的鲤鱼中分离、鉴定和研究病原菌
Front Immunol. 2022 Jun 30;13:872896. doi: 10.3389/fimmu.2022.872896. eCollection 2022.
2
Pathogenicity of Plesiomonas shigelloides causing mass mortalities of largemouth bass (Micropterus salmoides) and its induced host immune response.类志贺邻单胞菌对大口黑鲈(Micropterus salmoides)的致病性及其引发的宿主免疫反应
Fish Shellfish Immunol. 2023 Jan;132:108487. doi: 10.1016/j.fsi.2022.108487. Epub 2022 Dec 9.
3
[Isolation and identification of a pathogenic Plesiomonas shigelloides from diseased grass carp].[从患病草鱼中分离鉴定致病性类志贺邻单胞菌]
Wei Sheng Wu Xue Bao. 2014 Feb 4;54(2):229-35.
4
[Identification and pathological observation of a pathogenic Plesiomonas shigelloides strain isolated from cultured tilapia (Oreochromis niloticus)].[从养殖尼罗罗非鱼(Oreochromis niloticus)中分离出的致病性类志贺邻单胞菌菌株的鉴定与病理观察]
Wei Sheng Wu Xue Bao. 2015 Jan 4;55(1):96-106.
5
Screening of a Plesiomonas shigelloides phage and study of the activity of its lysis system.类志贺邻单胞菌噬菌体的筛选及其裂解系统活性研究。
Virus Res. 2021 Dec;306:198581. doi: 10.1016/j.virusres.2021.198581. Epub 2021 Sep 21.
6
Pathogenicity of Plesiomonas shigelloides and Citrobacter freundii isolated from the endangered Chinese sturgeon (Acipenser sinensis).从濒危的中华鲟(Acipenser sinensis)中分离出的痢疾志贺氏菌和弗氏柠檬酸杆菌的致病性。
Microb Pathog. 2022 Dec;173(Pt A):105818. doi: 10.1016/j.micpath.2022.105818. Epub 2022 Oct 7.
7
Transcriptome Analysis Reveals Cross-Talk between the Flagellar Transcriptional Hierarchy and Secretion System in .转录组分析揭示了. 鞭毛转录层级与分泌系统之间的串扰
Int J Mol Sci. 2024 Jul 5;25(13):7375. doi: 10.3390/ijms25137375.
8
Immune-Related Functional Differential Gene Expression in Koi Carp () after Challenge with .鲫鱼 () 感染后免疫相关功能差异基因表达。
Int J Mol Sci. 2018 Jul 20;19(7):2107. doi: 10.3390/ijms19072107.
9
Dynamic Interaction Between Mucosal Immunity and Microbiota Drives Nose and Pharynx Homeostasis of Common Carp () After SVCV Infection.黏膜免疫与微生物群的动态相互作用驱动草鱼()在 SVCV 感染后鼻咽喉的稳态。
Front Immunol. 2021 Nov 4;12:769775. doi: 10.3389/fimmu.2021.769775. eCollection 2021.
10
Transcriptome Analysis Reveals Effect of Dietary Probiotics on Immune Response Mechanism in Southern Catfish () in Response to .转录组分析揭示了饲料益生菌对南方鲇免疫反应机制的影响()以应对。 (注:原文括号处内容缺失,翻译可能会存在表意不完整情况)
Animals (Basel). 2023 Jan 28;13(3):449. doi: 10.3390/ani13030449.

引用本文的文献

1
Effects of Different Farming Models on Muscle Quality, Intestinal Microbiota Diversity, and Liver Metabolism of Rice Field Eel ().不同养殖模式对黄鳝肌肉品质、肠道微生物群多样性及肝脏代谢的影响()。 (括号内容原文缺失)
Foods. 2025 Jul 5;14(13):2383. doi: 10.3390/foods14132383.
2
First report of multidrug-resistant and pathogenic Plesiomonas shigelloides from endangered crested ibis (Nipponia nippon).濒危朱鹮(Nipponia nippon)中多重耐药性及致病性类志贺邻单胞菌的首次报告。
BMC Vet Res. 2025 Apr 29;21(1):299. doi: 10.1186/s12917-025-04755-3.
3
A brain microbiome in salmonids at homeostasis.

本文引用的文献

1
Secretion Systems in Gram-Negative Bacterial Fish Pathogens.革兰氏阴性细菌性鱼类病原体中的分泌系统。
Front Microbiol. 2021 Dec 15;12:782673. doi: 10.3389/fmicb.2021.782673. eCollection 2021.
2
Enhancement of growth, antioxidative status, nonspecific immunity, and disease resistance in gibel carp (Carassius auratus) in response to dietary Flos populi extract.饲料添加杨花提取物对吉富罗非鱼生长、抗氧化状态、非特异性免疫和抗病力的影响。
Fish Physiol Biochem. 2022 Feb;48(1):67-83. doi: 10.1007/s10695-021-00992-z. Epub 2022 Jan 1.
3
Calreticulin functions in antimicrobial immunity of obscure puffer Takifugu obscurus.
鲑科鱼在体内平衡状态下的大脑微生物组。
Sci Adv. 2024 Sep 20;10(38):eado0277. doi: 10.1126/sciadv.ado0277. Epub 2024 Sep 18.
4
Comparative analysis of three plasmids from strain MS-17-188 and their role in antimicrobial resistance.来自菌株MS-17-188的三种质粒的比较分析及其在抗菌耐药性中的作用。
JAC Antimicrob Resist. 2024 Jul 19;6(4):dlae109. doi: 10.1093/jacamr/dlae109. eCollection 2024 Aug.
5
Bacterial Communities and Antibiotic Resistance of Potential Pathogens Involved in Food Safety and Public Health in Fish and Water of Lake Karla, Thessaly, Greece.希腊色萨利卡尔拉湖鱼类和水体中涉及食品安全与公共卫生的潜在病原体的细菌群落及抗生素耐药性
Pathogens. 2022 Dec 5;11(12):1473. doi: 10.3390/pathogens11121473.
钙网织蛋白在暗纹东方鲀抗菌免疫中的功能。
Mol Immunol. 2021 Dec;140:77-86. doi: 10.1016/j.molimm.2021.10.008. Epub 2021 Oct 18.
4
: A Review on Food Safety, Fish-Borne Diseases, and Tilapia.: 关于食品安全、鱼类传播疾病和罗非鱼的综述。
ScientificWorldJournal. 2021 Sep 21;2021:3119958. doi: 10.1155/2021/3119958. eCollection 2021.
5
Septic Shock Following Ingestion of Dojo Nabe (Loach Hotpot).食用泥鳅火锅后发生感染性休克。
Open Forum Infect Dis. 2021 Jul 26;8(8):ofab401. doi: 10.1093/ofid/ofab401. eCollection 2021 Aug.
6
RNA-Seq Transcriptome Analysis of the Liver and Brain of the Black Carp (Mylopharyngodon piceus) During Fasting.禁食过程中黑鲩(Mylopharyngodon piceus)肝脏和脑组织的 RNA-Seq 转录组分析。
Mar Biotechnol (NY). 2021 Jun;23(3):389-401. doi: 10.1007/s10126-021-10032-9. Epub 2021 Apr 17.
7
Selenium nanoparticle and selenomethionine as feed additives: effects on growth performance, hepatic enzymes' activity, mucosal immune parameters, liver histology, and appetite-related gene transcript in goldfish (Carassius auratus).硒纳米颗粒和硒蛋氨酸作为饲料添加剂:对金鱼(Carassius auratus)生长性能、肝酶活性、黏膜免疫参数、肝脏组织学和食欲相关基因转录的影响。
Fish Physiol Biochem. 2021 Apr;47(2):639-652. doi: 10.1007/s10695-021-00937-6. Epub 2021 Feb 20.
8
Structure of the disaccharide repeating unit of O-specific polysaccharide isolated from Aeromonas veronii strain Bs8 pathogenic to common carp (Cyprinus carpio).从对鲤鱼(Cyprinus carpio)具有致病性的维罗纳气单胞菌(Aeromonas veronii)菌株 Bs8 中分离得到的 O-特异性多糖重复二糖单元的结构。
Carbohydr Res. 2021 Feb;500:108210. doi: 10.1016/j.carres.2020.108210. Epub 2020 Nov 25.
9
Transcriptomic Profiling of the Adaptive and Innate Immune Responses of Atlantic Salmon to Infection.大西洋鲑鱼对感染的适应性和先天免疫反应的转录组学分析。
Front Immunol. 2020 Oct 28;11:567838. doi: 10.3389/fimmu.2020.567838. eCollection 2020.
10
Pfam: The protein families database in 2021.Pfam:2021 年的蛋白质家族数据库。
Nucleic Acids Res. 2021 Jan 8;49(D1):D412-D419. doi: 10.1093/nar/gkaa913.