Suppr超能文献

黄色肉芽肿性胆囊炎:13例临床病理研究

Xanthogranulomatous cholecystitis: clinicopathological study of 13 cases.

作者信息

Roberts K M, Parsons M A

出版信息

J Clin Pathol. 1987 Apr;40(4):412-7. doi: 10.1136/jcp.40.4.412.

Abstract

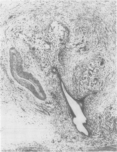
In a retrospective three year study 13 cases of xanthogranulomatous cholecystitis (XGC) (seven female, six male) were found in 724 gallbladders (1.8%), an estimated incidence of 1.7 cases per 100,000 population per annum. Symptoms often began with an episode of acute cholecystitis and persisted for up to five years. There was extension of xanthogranulomatous tissue into adjacent organs in nine cases. Three patients had fistulae from the gallbladder, one to skin, and two to the duodenum; this is the first report of this complication in XGC. In two patients XGC sufficiently resembled carcinoma for the surgeon to request intraoperative frozen section diagnosis. There was a high rate of postoperative infective complication, with one subphrenic abscess and three wound infections (one fatal), two in patients with fistulae.

摘要

在一项为期三年的回顾性研究中,724个胆囊中发现了13例黄色肉芽肿性胆囊炎(XGC)(7例女性,6例男性),占1.8%,估计每年每10万人口中有1.7例发病。症状通常始于急性胆囊炎发作,并持续长达五年。9例黄色肉芽肿组织延伸至邻近器官。3例患者出现胆囊瘘,1例通向皮肤,2例通向十二指肠;这是XGC中该并发症的首例报告。2例患者的XGC与癌极为相似,以至于外科医生要求进行术中冰冻切片诊断。术后感染并发症发生率很高,有1例膈下脓肿和3例伤口感染(1例死亡),其中2例发生在有瘘管的患者中。

https://cdn.ncbi.nlm.nih.gov/pmc/blobs/2e82/1140974/a15a6ff68952/jclinpath00324-0054-a.jpg

文献检索

告别复杂PubMed语法,用中文像聊天一样搜索,搜遍4000万医学文献。AI智能推荐,让科研检索更轻松。

立即免费搜索

文件翻译

保留排版,准确专业,支持PDF/Word/PPT等文件格式,支持 12+语言互译。

免费翻译文档

深度研究

AI帮你快速写综述,25分钟生成高质量综述,智能提取关键信息,辅助科研写作。

立即免费体验