Suppr超能文献

一项为期3年的前瞻性临床研究,以评估在不同骨密度的上颌前部和下颌后部区域进行即刻无功能加载后一体式种植修复复合体的效果。

A 3-Year Prospective Clinical Study to Evaluate the Outcome of Single-Piece Implant-Prosthetic Complex after Immediate NonFunctional Loading in the Maxillary Anterior and Mandibular Posterior Areas in Varied Bone Densities.

作者信息

Nelluri Vizaikumar Vasudha, Gedela Rajani Kumar, Roseme Kandatilparambil Maria

机构信息

Department of Prosthodontics, Government Dental College and Hospital, Hyderabad, Telangana, India.

Department of Periodontics, Army College of Dental Sciences, Secunderabad, Telangana, India.

出版信息

Contemp Clin Dent. 2022 Apr-Jun;13(2):140-149. doi: 10.4103/ccd.ccd_698_20. Epub 2022 Jun 21.

Abstract

CONTEXT

There is limited evidence on the outcome of single-piece implant-prosthetic complex after immediate nonfunctional loading in varied bone densities.

AIM

The aim of this study was to report the outcome of single-piece implant-prosthetic complex with a novel cervical platform design in the anterior and posterior jaws 3 years after loading.

SETTING AND DESIGN

Prospective clinical study.

MATERIALS AND METHODS

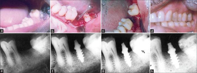
The present study included placement of 90 single-piece implants in the anterior and the posterior jaws in varied bone densities. After immediate loading, survival and marginal bone loss was recorded at regular intervals.

STATISTICAL ANALYSIS

Independent sample -test and paired -test were done ( = 0.05).

RESULTS

Group I, annual marginal bone loss at the end of one, 2 and 3 years was 0.21, respectively, in both bone densities. Group II, annual marginal bone loss in D2 regions was 0.75,0.38 and 0.18; 0.64, 0.28 and 0.18 in D3 regions at the end of 1, 2, and 3 years, respectively. Group I showed no statistically significant difference in marginal bone loss between D2 and D3 bone annually in contrast to Group II. Intragroup comparisons of mean between baseline and various time intervals showed statistically significant bone loss in both bone densities.

CONCLUSION

Three years after loading, single-piece implants with the novel cervical platform design provided survival rates of 93% in the maxillary anteriors and 91% in the mandibular posteriors. D3 bone showed more marginal bone loss than D2 bone.

摘要

背景

关于不同骨密度下即刻无功能加载后一体式种植修复复合体的结果,证据有限。

目的

本研究的目的是报告加载3年后在前牙区和后牙区采用新型颈部平台设计的一体式种植修复复合体的结果。

设置与设计

前瞻性临床研究。

材料与方法

本研究包括在不同骨密度的前牙区和后牙区植入90颗一体式种植体。即刻加载后,定期记录种植体的存留率和边缘骨吸收情况。

统计分析

采用独立样本t检验和配对t检验(α = 0.05)。

结果

第一组,在两种骨密度下,1年、2年和3年末的年边缘骨吸收分别为0.21。第二组,在D2区,1年(0.75)、2年(0.38)和3年末(0.18)的年边缘骨吸收;在D3区,1年(0.64)、2年(0.28)和3年末(0.18)的年边缘骨吸收。与第二组相比,第一组每年在D2和D3骨之间的边缘骨吸收无统计学显著差异。两组骨密度在基线和不同时间间隔之间的组内均值比较显示,边缘骨吸收具有统计学显著差异。

结论

加载3年后,采用新型颈部平台设计的一体式种植体在上颌前牙区的存留率为93%,在下颌后牙区为91%。D3骨的边缘骨吸收比D2骨更多。

https://cdn.ncbi.nlm.nih.gov/pmc/blobs/ca15/9285836/02979253efea/CCD-13-140-g001.jpg

文献AI研究员

20分钟写一篇综述,助力文献阅读效率提升50倍。

立即体验

用中文搜PubMed

大模型驱动的PubMed中文搜索引擎

马上搜索

文档翻译

学术文献翻译模型,支持多种主流文档格式。

立即体验