• 文献检索
  • 文档翻译
  • 深度研究
  • 学术资讯
  • Suppr Zotero 插件Zotero 插件
  • 邀请有礼
  • 套餐&价格
  • 历史记录
应用&插件
Suppr Zotero 插件Zotero 插件浏览器插件Mac 客户端Windows 客户端微信小程序
定价
高级版会员购买积分包购买API积分包
服务
文献检索文档翻译深度研究API 文档MCP 服务
关于我们
关于 Suppr公司介绍联系我们用户协议隐私条款
关注我们

Suppr 超能文献

核心技术专利:CN118964589B侵权必究
粤ICP备2023148730 号-1Suppr @ 2026

文献检索

告别复杂PubMed语法,用中文像聊天一样搜索,搜遍4000万医学文献。AI智能推荐,让科研检索更轻松。

立即免费搜索

文件翻译

保留排版,准确专业,支持PDF/Word/PPT等文件格式,支持 12+语言互译。

免费翻译文档

深度研究

AI帮你快速写综述,25分钟生成高质量综述,智能提取关键信息,辅助科研写作。

立即免费体验

巨大阴道结石:病例报告及文献综述

Huge vaginal stone: Case report and review of the literature.

作者信息

Jo Jae Yoon, Lee Seon Mi, Shin Jeong Kyu, Choi Won Jun, Cho In Ae

机构信息

Department of Obstetrics and Gynecology, Gyeongsang National University Hospital, Jinju, South Korea.

Institute of Health Sciences, Gyeongsang National University, Jinju, South Korea.

出版信息

Front Surg. 2022 Jul 1;9:937371. doi: 10.3389/fsurg.2022.937371. eCollection 2022.

DOI:10.3389/fsurg.2022.937371
PMID:35846952
原文链接:https://pmc.ncbi.nlm.nih.gov/articles/PMC9283822/
Abstract

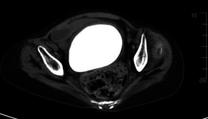
Primary vaginal stones have been rarely reported; the reports that do exist are usually case reports. Because of their low incidence, they are often misdiagnosed. This case report and literature review of a primary vaginal stone presents an assessment of symptoms and common risk factors for vaginal stone formation. A 28-year-old woman with spastic quadriplegia who had been bedridden for most of her life presented to the emergency department for abdominal distension and fever. She had chronic constipation, recurrent urinary tract infections (UTIs), and vaginal discharge. Abdominopelvic computed tomography (CT) was performed and a large stone observed. The vaginal stone was completely removed through the vaginal stump after hysterectomy. Differential diagnoses of vesicovaginal fistula, urethrovaginal fistula, genital anomaly, and ectopic ureter were made by performing several tests using indigo-carmine dye. She recovered from surgery without any complications. There was no recurrence of vaginal stones after 3 months. A biochemical analysis reported that the vaginal stone was 100% struvite. Vaginal stones are caused by repeated infections in an environment in which urine collects gradually. Patients with recurrent UTIs who are bedridden should be able to prevent vaginal stones with periodic gynecological examinations for early diagnosis and management.

摘要

原发性阴道结石鲜有报道;现有报道通常为病例报告。由于其发病率低,常被误诊。本病例报告及对原发性阴道结石的文献综述介绍了阴道结石形成的症状评估和常见危险因素。一名28岁患有痉挛性四肢瘫痪且一生大部分时间卧床的女性因腹胀和发热到急诊科就诊。她有慢性便秘、复发性尿路感染(UTIs)和阴道分泌物。进行了腹盆腔计算机断层扫描(CT),观察到一块大结石。子宫切除术后通过阴道残端将阴道结石完全取出。通过使用靛胭脂染料进行多项检查,对膀胱阴道瘘、尿道阴道瘘、生殖器异常和异位输尿管进行了鉴别诊断。她手术后康复,无任何并发症。3个月后阴道结石未复发。生化分析报告称,阴道结石100%为鸟粪石。阴道结石是由尿液逐渐积聚的环境中反复感染引起的。卧床的复发性UTIs患者应通过定期妇科检查进行早期诊断和管理,以预防阴道结石。

https://cdn.ncbi.nlm.nih.gov/pmc/blobs/bc06/9283822/4bf0952071e0/fsurg-09-937371-g003.jpg
https://cdn.ncbi.nlm.nih.gov/pmc/blobs/bc06/9283822/8ed3f3fb7476/fsurg-09-937371-g001.jpg
https://cdn.ncbi.nlm.nih.gov/pmc/blobs/bc06/9283822/28cc10804135/fsurg-09-937371-g002.jpg
https://cdn.ncbi.nlm.nih.gov/pmc/blobs/bc06/9283822/4bf0952071e0/fsurg-09-937371-g003.jpg
https://cdn.ncbi.nlm.nih.gov/pmc/blobs/bc06/9283822/8ed3f3fb7476/fsurg-09-937371-g001.jpg
https://cdn.ncbi.nlm.nih.gov/pmc/blobs/bc06/9283822/28cc10804135/fsurg-09-937371-g002.jpg
https://cdn.ncbi.nlm.nih.gov/pmc/blobs/bc06/9283822/4bf0952071e0/fsurg-09-937371-g003.jpg

相似文献

1
Huge vaginal stone: Case report and review of the literature.巨大阴道结石:病例报告及文献综述
Front Surg. 2022 Jul 1;9:937371. doi: 10.3389/fsurg.2022.937371. eCollection 2022.
2
Vaginal stones caused by urethrovaginal fistula: A case report.尿道阴道瘘导致的阴道结石:一例报告。
Medicine (Baltimore). 2019 Nov;98(47):e18003. doi: 10.1097/MD.0000000000018003.
3
Primary vaginal stone associated with vesicovaginal fistula: A case report.原发性阴道结石合并膀胱阴道瘘:一例报告。
Urol Case Rep. 2021 Oct 23;40:101917. doi: 10.1016/j.eucr.2021.101917. eCollection 2022 Jan.
4
Vesicovaginal fistula with bladder and vaginal stone.伴有膀胱及阴道结石的膀胱阴道瘘
Int J Surg Case Rep. 2022 Jul;96:107311. doi: 10.1016/j.ijscr.2022.107311. Epub 2022 Jun 14.
5
Primary vaginal stones.原发性阴道结石
J Urol. 1980 May;123(5):771-2. doi: 10.1016/s0022-5347(17)56126-1.
6
Removal of Large Primary Vaginal Calculus Using the Nephroscope and Endoscopic Ultrasonic Lithotrite: A Case Report.使用肾镜和内镜超声碎石器摘除原发性巨大阴道结石:一例报告
J Endourol Case Rep. 2020 Jun 4;6(2):92-95. doi: 10.1089/cren.2019.0099. eCollection 2020.
7
Migration of a fractured ring IUD resulting in vesicovaginal fistula and vaginal calculus.断裂的环形宫内节育器移位导致膀胱阴道瘘和阴道结石。
Eur J Contracept Reprod Health Care. 2018 Oct;23(5):387-389. doi: 10.1080/13625187.2018.1517409. Epub 2018 Oct 16.
8
Primary Vaginal Calculus in a Woman with Disability: Case Report and Literature Review.一名残疾女性的原发性阴道结石:病例报告及文献综述
J Endourol Case Rep. 2017 Dec 1;3(1):182-185. doi: 10.1089/cren.2017.0100. eCollection 2017.
9
A rare reason in a child with feeding intolerance: Intravaginal struvite stone.一名有喂养不耐受的儿童的罕见病因:阴道内磷酸铵镁结石。
Turk J Pediatr. 2018;60(1):86-88. doi: 10.24953/turkjped.2018.01.013.
10
A large primary vaginal calculus in a woman with paraplegia.一名截瘫女性的巨大原发性阴道结石。
J Low Genit Tract Dis. 2013 Jan;17(1):61-5. doi: 10.1097/LGT.0b013e31824d6f9c.

引用本文的文献

1
Huge primary vaginal stone in cerebral palsy patient.脑瘫患者出现巨大原发性阴道结石。
Urol Case Rep. 2023 Nov 17;51:102621. doi: 10.1016/j.eucr.2023.102621. eCollection 2023 Nov.
2
A new method for trans-vaginal extraction of an impacted vaginal calculus: A case report.经阴道取出嵌顿性阴道结石的新方法:一例报告。
Int J Surg Case Rep. 2023 Sep;110:108742. doi: 10.1016/j.ijscr.2023.108742. Epub 2023 Aug 28.

本文引用的文献

1
Primary vaginal stone associated with vesicovaginal fistula: A case report.原发性阴道结石合并膀胱阴道瘘:一例报告。
Urol Case Rep. 2021 Oct 23;40:101917. doi: 10.1016/j.eucr.2021.101917. eCollection 2022 Jan.
2
Large primary vaginal stone in a woman with multiple sclerosis.一名患有多发性硬化症的女性体内出现巨大原发性阴道结石。
BMJ Case Rep. 2020 Oct 30;13(10):e235103. doi: 10.1136/bcr-2020-235103.
3
Primary vaginal calculus in a woman with urogenital sinus anomaly: a case report.女性泌尿生殖窦畸形并发原发性阴道结石 1 例报告
BMC Urol. 2020 Sep 4;20(1):142. doi: 10.1186/s12894-020-00708-0.
4
Removal of Large Primary Vaginal Calculus Using the Nephroscope and Endoscopic Ultrasonic Lithotrite: A Case Report.使用肾镜和内镜超声碎石器摘除原发性巨大阴道结石:一例报告
J Endourol Case Rep. 2020 Jun 4;6(2):92-95. doi: 10.1089/cren.2019.0099. eCollection 2020.
5
Vaginal stones caused by urethrovaginal fistula: A case report.尿道阴道瘘导致的阴道结石:一例报告。
Medicine (Baltimore). 2019 Nov;98(47):e18003. doi: 10.1097/MD.0000000000018003.
6
A rare reason in a child with feeding intolerance: Intravaginal struvite stone.一名有喂养不耐受的儿童的罕见病因:阴道内磷酸铵镁结石。
Turk J Pediatr. 2018;60(1):86-88. doi: 10.24953/turkjped.2018.01.013.
7
Primary Vaginal Calculus in a Woman with Disability: Case Report and Literature Review.一名残疾女性的原发性阴道结石:病例报告及文献综述
J Endourol Case Rep. 2017 Dec 1;3(1):182-185. doi: 10.1089/cren.2017.0100. eCollection 2017.
8
Vaginal Urinary Calculi Formation Secondary to Vaginal Mesh Exposure with Urinary Incontinence.阴道网片暴露继发尿失禁导致阴道尿路结石形成
Case Rep Obstet Gynecol. 2017;2017:8710315. doi: 10.1155/2017/8710315. Epub 2017 Aug 22.
9
Novel approach to vaginal calculus in a girl with urogenital sinus anomaly.一种治疗女性泌尿生殖窦畸形阴道结石的新方法。
J Pediatr Surg. 2020 Sep;55(9):e4-e5. doi: 10.1016/j.jpedsurg.2012.07.033. Epub 2015 Jan 8.
10
A large primary vaginal calculus in a woman with paraplegia.一名截瘫女性的巨大原发性阴道结石。
J Low Genit Tract Dis. 2013 Jan;17(1):61-5. doi: 10.1097/LGT.0b013e31824d6f9c.