Suppr超能文献

单孔电视辅助胸腔镜手术后微创切口美容缝合及胸管固定的新型无痕技术

A New Traceless Technique for Cosmetic Closure of Minimally Invasive Incision and Chest Tube Fixation After Uniportal Video-Assisted Thoracoscopic Surgery.

作者信息

Chen Zihao, Xin Ning, Huang Kenan, Wei Rongqiang, Liu Chengdong, Niu Shiwen, Xu Zhifei, Ding Xinyu, Tang Hua

机构信息

Department of Minimally Invasive Thoracic Surgery Center, Second Affiliated Hospital of Naval Medical University, Shanghai, China.

Department of Biobank, Second Affiliated Hospital of Naval Medical University, Shanghai, China.

出版信息

Front Surg. 2022 Jun 30;9:874983. doi: 10.3389/fsurg.2022.874983. eCollection 2022.

Abstract

BACKGROUND

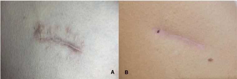
With uniportal video-assisted thoracoscopic surgery (VATS) becoming mainstream, how to make the incision cosmetic has attracted much attention. This study aimed to introduce a new traceless method for cosmetic closure of the incision and a special procedure for chest tube fixation after uniportal VATS and to evaluate the feasibility, effectiveness, and safety of this new technique.

METHODS

In this retrospective study, a total of 258 consecutive patients who underwent uniportal VATS were included. Among them, 127 patients were treated with a conventional method, and 131 patients were treated with a new method.

RESULTS

Patients in the new method group had a significantly less incidence of subcutaneous emphysema after the chest tube was removed. The incidence of pneumothorax after the chest tube was removed and fat liquefaction of chest incision was not significantly different between the two groups. No differences in the incidence of pneumothorax after chest tube removal and fat liquefaction of postsurgical incision were found between the two groups. Additionally, there was also no significant difference in follow-up items.

CONCLUSIONS

Taken together, our results showed that this new method for minimally invasive incision closure and chest tube fixation after uniportal VATS was as feasible, effective, and safe as the conventional one but more cosmetic.

摘要

背景

随着单孔电视辅助胸腔镜手术(VATS)成为主流,如何使切口美观受到了广泛关注。本研究旨在介绍一种单孔VATS术后切口美容闭合的无痕新方法及胸管固定的特殊操作,并评估该新技术的可行性、有效性和安全性。

方法

在这项回顾性研究中,共纳入了258例连续接受单孔VATS手术的患者。其中,127例患者采用传统方法治疗,131例患者采用新方法治疗。

结果

新方法组患者拔除胸管后皮下气肿的发生率显著较低。两组患者拔除胸管后气胸的发生率及胸部切口脂肪液化情况无显著差异。两组患者拔除胸管后气胸的发生率及术后切口脂肪液化情况均无差异。此外,随访项目也无显著差异。

结论

综上所述,我们的结果表明,这种单孔VATS术后微创切口闭合和胸管固定的新方法与传统方法一样可行、有效和安全,但更美观。

https://cdn.ncbi.nlm.nih.gov/pmc/blobs/b934/9280028/bad1b83c810c/fsurg-09-874983-g001.jpg

文献AI研究员

20分钟写一篇综述,助力文献阅读效率提升50倍。

立即体验

用中文搜PubMed

大模型驱动的PubMed中文搜索引擎

马上搜索

文档翻译

学术文献翻译模型,支持多种主流文档格式。

立即体验