• 文献检索
  • 文档翻译
  • 深度研究
  • 学术资讯
  • Suppr Zotero 插件Zotero 插件
  • 邀请有礼
  • 套餐&价格
  • 历史记录
应用&插件
Suppr Zotero 插件Zotero 插件浏览器插件Mac 客户端Windows 客户端微信小程序
定价
高级版会员购买积分包购买API积分包
服务
文献检索文档翻译深度研究API 文档MCP 服务
关于我们
关于 Suppr公司介绍联系我们用户协议隐私条款
关注我们

Suppr 超能文献

核心技术专利:CN118964589B侵权必究
粤ICP备2023148730 号-1Suppr @ 2026

文献检索

告别复杂PubMed语法,用中文像聊天一样搜索,搜遍4000万医学文献。AI智能推荐,让科研检索更轻松。

立即免费搜索

文件翻译

保留排版,准确专业,支持PDF/Word/PPT等文件格式,支持 12+语言互译。

免费翻译文档

深度研究

AI帮你快速写综述,25分钟生成高质量综述,智能提取关键信息,辅助科研写作。

立即免费体验

管理挑战:一种伴有多种并发症的Takotsubo综合征非典型变体。

Management Challenge: An Atypical Variant of Takotsubo Presenting With Multiple Complications.

作者信息

Menchaca Kristina, Ostos Perez Catherine A, Draguljevic Nemanja, Isaac Shaun

机构信息

Internal Medicine, University of Miami/John F. Kennedy (JFK) Medical Center, Atlantis, USA.

Internal Medicine, University of Belgrade, Belgrade, SRB.

出版信息

Cureus. 2022 Jul 14;14(7):e26836. doi: 10.7759/cureus.26836. eCollection 2022 Jul.

DOI:10.7759/cureus.26836
PMID:35854952
原文链接:https://pmc.ncbi.nlm.nih.gov/articles/PMC9286025/
Abstract

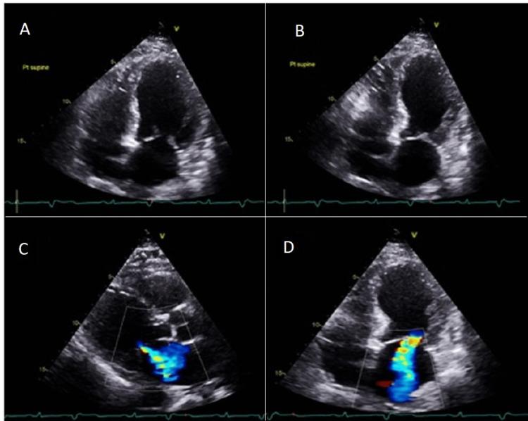
An 84-year-old woman with depression, who witnessed the suicide of a close friend, presented with symptoms of chest pain, palpitations, and cold and clammy extremities. An electrocardiogram showed alternating tachycardia and bradycardia. Urgent transthoracic echocardiogram demonstrated left greater than right ventricular dysfunction, moderate mitral regurgitation, global hypokinesis, and an estimated ejection fraction of 20%. Cardiac catheterization demonstrated non-obstructive coronary artery disease and decreased cardiac output. Findings were consistent with Takotsubo cardiomyopathy complicated with cardiogenic shock, acute mitral regurgitation, and sinus node dysfunction. Management of this patient required the use of a mechanical device intra-aortic balloon pump, and pacemaker insertion for persistent symptomatic arrhythmia. This case highlights the challenging management of potentially fatal acute complications of Takotsubo cardiomyopathy and inadequate data on how to approach them.

摘要

一名84岁患有抑郁症的女性,目睹了一位密友的自杀,出现胸痛、心悸以及四肢冰冷潮湿的症状。心电图显示心动过速和心动过缓交替出现。紧急经胸超声心动图显示左心室功能障碍大于右心室,中度二尖瓣反流,整体运动减弱,估计射血分数为20%。心导管检查显示非阻塞性冠状动脉疾病和心输出量减少。检查结果符合应激性心肌病并发心源性休克、急性二尖瓣反流和窦房结功能障碍。该患者的治疗需要使用主动脉内球囊反搏机械装置,并因持续性症状性心律失常而植入起搏器。本病例突出了应激性心肌病潜在致命急性并发症的挑战性管理以及关于如何处理这些并发症的资料不足。

https://cdn.ncbi.nlm.nih.gov/pmc/blobs/5b8d/9286025/b3f4902d82a9/cureus-0014-00000026836-i05.jpg
https://cdn.ncbi.nlm.nih.gov/pmc/blobs/5b8d/9286025/a6fc31100ef6/cureus-0014-00000026836-i01.jpg
https://cdn.ncbi.nlm.nih.gov/pmc/blobs/5b8d/9286025/ff2d2afebd9d/cureus-0014-00000026836-i02.jpg
https://cdn.ncbi.nlm.nih.gov/pmc/blobs/5b8d/9286025/dd010e4dbff2/cureus-0014-00000026836-i03.jpg
https://cdn.ncbi.nlm.nih.gov/pmc/blobs/5b8d/9286025/d7c4ab19f861/cureus-0014-00000026836-i04.jpg
https://cdn.ncbi.nlm.nih.gov/pmc/blobs/5b8d/9286025/b3f4902d82a9/cureus-0014-00000026836-i05.jpg
https://cdn.ncbi.nlm.nih.gov/pmc/blobs/5b8d/9286025/a6fc31100ef6/cureus-0014-00000026836-i01.jpg
https://cdn.ncbi.nlm.nih.gov/pmc/blobs/5b8d/9286025/ff2d2afebd9d/cureus-0014-00000026836-i02.jpg
https://cdn.ncbi.nlm.nih.gov/pmc/blobs/5b8d/9286025/dd010e4dbff2/cureus-0014-00000026836-i03.jpg
https://cdn.ncbi.nlm.nih.gov/pmc/blobs/5b8d/9286025/d7c4ab19f861/cureus-0014-00000026836-i04.jpg
https://cdn.ncbi.nlm.nih.gov/pmc/blobs/5b8d/9286025/b3f4902d82a9/cureus-0014-00000026836-i05.jpg

相似文献

1
Management Challenge: An Atypical Variant of Takotsubo Presenting With Multiple Complications.管理挑战:一种伴有多种并发症的Takotsubo综合征非典型变体。
Cureus. 2022 Jul 14;14(7):e26836. doi: 10.7759/cureus.26836. eCollection 2022 Jul.
2
Acute mitral regurgitation and cardiogenic shock: Reverse takotsubo cardiomyopathy or acute coronary syndrome?急性二尖瓣反流与心源性休克:应激性心肌病还是急性冠状动脉综合征?
J Cardiol Cases. 2021 Jun 12;24(6):287-290. doi: 10.1016/j.jccase.2021.05.004. eCollection 2021 Dec.
3
Biventricular takotsubo cardiomyopathy: case study and review of literature.双心室应激性心肌病:病例报告及文献综述
Tex Heart Inst J. 2013;40(3):305-11.
4
Apical ballooning syndrome complicated by acute severe mitral regurgitation with left ventricular outflow obstruction--case report.心尖部气球样变综合征合并急性重度二尖瓣反流伴左心室流出道梗阻——病例报告
J Cardiothorac Surg. 2007 Feb 21;2:14. doi: 10.1186/1749-8090-2-14.
5
Takotsubo syndrome after mitral valve surgery: a case report.二尖瓣手术后的应激性心肌病:一例报告
Eur Heart J Case Rep. 2020 Nov 22;4(6):1-5. doi: 10.1093/ehjcr/ytaa327. eCollection 2020 Dec.
6
Intraventricular thrombus and severe mitral regurgitation in the acute phase of takotsubo cardiomyopathy: two case reports.应激性心肌病急性期的脑室内血栓形成与严重二尖瓣反流:两例报告
J Med Case Rep. 2019 May 19;13(1):152. doi: 10.1186/s13256-019-2081-0.
7
Cardiogenic shock due to Takotsubo cardiomyopathy associated with thyroid crisis: a case report.应激性心肌病伴甲状腺危象所致的心源性休克:一例报告
Eur Heart J Case Rep. 2022 Sep 23;6(10):ytac381. doi: 10.1093/ehjcr/ytac381. eCollection 2022 Oct.
8
A case report of cardiogenic shock from takotsubo cardiomyopathy with left ventricular outflow tract obstruction: fundamental lessons in cardiac pathophysiology.一例伴有左心室流出道梗阻的应激性心肌病致心源性休克病例报告:心脏病理生理学的基本经验教训
Eur Heart J Case Rep. 2021 Apr 21;5(4):ytab127. doi: 10.1093/ehjcr/ytab127. eCollection 2021 Apr.
9
COVID-19 Resulting in Global Stress Cardiomyopathy in a Young Female.新冠病毒感染导致一名年轻女性患应激性心肌病
Cureus. 2022 Jul 12;14(7):e26779. doi: 10.7759/cureus.26779. eCollection 2022 Jul.
10
A Rare Case of Complete Heart Block and Takotsubo Cardiomyopathy in an Elderly Patient: A Case Report.一名老年患者发生完全性心脏传导阻滞和Takotsubo心肌病的罕见病例:病例报告
Cureus. 2024 Jun 17;16(6):e62572. doi: 10.7759/cureus.62572. eCollection 2024 Jun.

引用本文的文献

1
A protocol to ascertain whether sepsis-induced cardiomyopathy constitutes a phenotype of Takotsubo syndrome.一项用于确定脓毒症诱导的心肌病是否构成应激性心肌病一种表型的方案。
J Intensive Med. 2023 Jul 6;3(4):380-381. doi: 10.1016/j.jointm.2023.06.002. eCollection 2023 Oct 31.
2
A Case of Posterior Reversible Encephalopathy Due to Takotsubo Cardiomyopathy Triggered by Aerophobia.一例由恐气症引发的应激性心肌病所致的后部可逆性脑病病例。
Cureus. 2023 Jun 20;15(6):e40678. doi: 10.7759/cureus.40678. eCollection 2023 Jun.

本文引用的文献

1
Cardiogenic Shock in Takotsubo Cardiomyopathy Versus Acute Myocardial Infarction: An 8-Year National Perspective on Clinical Characteristics, Management, and Outcomes.心尖球形综合征与急性心肌梗死所致心原性休克的临床特征、处理和预后的 8 年全国性观察研究
JACC Heart Fail. 2019 Jun;7(6):469-476. doi: 10.1016/j.jchf.2018.12.007. Epub 2019 May 8.
2
Takotsubo Syndrome - Stress-induced Heart Failure Syndrome.应激性心肌病——应激性心力衰竭综合征。
Eur Cardiol. 2015 Dec;10(2):83-88. doi: 10.15420/ecr.2015.10.2.83.
3
Sick Sinus Syndrome and Takotsubo Cardiomyopathy.
病态窦房结综合征与应激性心肌病
Case Rep Cardiol. 2018 Aug 19;2018:3868091. doi: 10.1155/2018/3868091. eCollection 2018.
4
Ventricular arrhythmias in patients with Takotsubo syndrome.Takotsubo综合征患者的室性心律失常。
J Arrhythm. 2018 Mar 7;34(4):369-375. doi: 10.1002/joa3.12029. eCollection 2018 Aug.
5
Role of echocardiography for takotsubo cardiomyopathy: clinical and prognostic implications.超声心动图在应激性心肌病中的作用:临床及预后意义
Cardiovasc Diagn Ther. 2018 Feb;8(1):90-100. doi: 10.21037/cdt.2017.07.03.
6
Takotsubo syndrome: Advances in the understanding and management of an enigmatic stress cardiomyopathy.应激性心肌病:对一种神秘应激性心肌病的认识与管理进展
World J Cardiol. 2016 Jul 26;8(7):413-24. doi: 10.4330/wjc.v8.i7.413.
7
Management of arrhythmias in patients with Takotsubo cardiomyopathy: Is the implantation of permanent devices necessary?应激性心肌病患者心律失常的管理:是否需要植入永久性装置?
Heart Rhythm. 2016 Oct;13(10):1979-86. doi: 10.1016/j.hrthm.2016.06.013. Epub 2016 Jun 11.
8
Current state of knowledge on Takotsubo syndrome: a Position Statement from the Taskforce on Takotsubo Syndrome of the Heart Failure Association of the European Society of Cardiology.Takotsubo 综合征的现有知识状况:欧洲心脏病学会心力衰竭协会 Takotsubo 综合征工作组的立场声明。
Eur J Heart Fail. 2016 Jan;18(1):8-27. doi: 10.1002/ejhf.424. Epub 2015 Nov 9.
9
Clinical Features and Outcomes of Takotsubo (Stress) Cardiomyopathy.Takotsubo(应激性)心肌病的临床特征和转归。
N Engl J Med. 2015 Sep 3;373(10):929-38. doi: 10.1056/NEJMoa1406761.