Suppr超能文献

青少年透明隔腔罕见血管解剖变异导致自发性出血:一例报告及文献复习

Unusual vascular anatomical variant leads to spontaneous hemorrhage in a cavum septum pellucidum in an adolescent: A case report and literature review.

作者信息

Salem Raghad Hany, Almubarak Abdulaziz Oqalaa, Hassounah Maher

机构信息

College of Medicine, Princess Nourah Bint Abdulrahman University, Riyadh, Saudi Arabia.

Department of Neurosurgery, King Faisal Specialist Hospital and Research Center, Riyadh, Saudi Arabia.

出版信息

Surg Neurol Int. 2022 Jul 1;13:276. doi: 10.25259/SNI_311_2022. eCollection 2022.

Abstract

BACKGROUND

Hemorrhagic lesions of the septum pellucidum are rare and usually occur in neonates. They can be due to a number of etiologies. Here, we report a rare case of adolescent nontraumatic septum pellucidum hemorrhage with a review of literature.

CASE DESCRIPTION

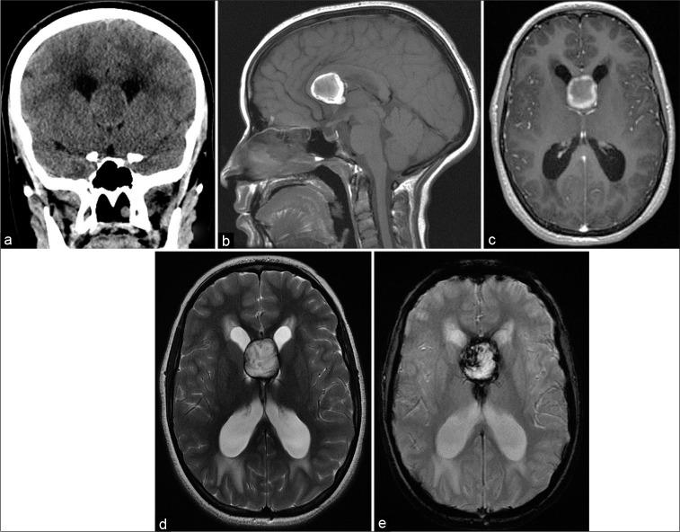
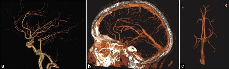
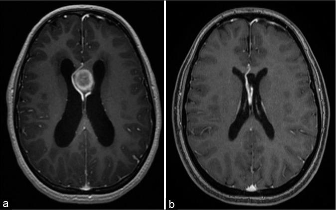
A 16-year-old girl presented with a 1-month history of gradual visual deterioration in the left eye, intermittent headache, and vomiting. Brain imaging showed hematoma located between the leaflets of the septum pellucidum with obstructive hydrocephalus. Transcallosal resection of interventricular mass was done. The patient was discharged with improved neurological symptoms; however, the left eye vision did not recover. Imaging demonstrated a unique anatomical variant in deep vascular structures.

CONCLUSION

Cavum septum pellucidum hemorrhage is rare in adults. Many theories were constructed to explain its etiology. Bleeding due a vascular anatomical variant was not previously encountered. Understanding the embryological origin and anatomical details are important for proper clinical assessment and management of these patients.

摘要

背景

透明隔出血性病变罕见,通常发生于新生儿。其病因有多种。在此,我们报告一例青少年非创伤性透明隔出血的罕见病例并复习相关文献。

病例描述

一名16岁女孩,有1个月左眼视力逐渐下降、间歇性头痛及呕吐病史。脑部影像学检查显示血肿位于透明隔小叶之间并伴有梗阻性脑积水。行经胼胝体间脑室内肿物切除术。患者出院时神经症状改善;然而,左眼视力未恢复。影像学显示深部血管结构存在一种独特的解剖变异。

结论

透明隔腔出血在成人中罕见。有多种理论来解释其病因。此前未遇到过因血管解剖变异导致的出血。了解胚胎起源及解剖细节对于这些患者的正确临床评估和处理很重要。

https://cdn.ncbi.nlm.nih.gov/pmc/blobs/6872/9282765/fa241c68b45e/SNI-13-276-g001.jpg

文献检索

告别复杂PubMed语法,用中文像聊天一样搜索,搜遍4000万医学文献。AI智能推荐,让科研检索更轻松。

立即免费搜索

文件翻译

保留排版,准确专业,支持PDF/Word/PPT等文件格式,支持 12+语言互译。

免费翻译文档

深度研究

AI帮你快速写综述,25分钟生成高质量综述,智能提取关键信息,辅助科研写作。

立即免费体验