Suppr超能文献

多灶性原发性中枢神经系统尤因肉瘤伴颅内出血和软脑膜播散:病例说明

Multifocal primary central nervous system Ewing sarcoma presenting with intracranial hemorrhage and leptomeningeal dissemination: illustrative case.

作者信息

Huguenard Anna L, Li Yuping Derek, Sharifai Nima, Perkins Stephanie M, Dahiya Sonika, Chicoine Michael R

机构信息

Departments of Neurosurgery.

Pathology and Immunology, and.

出版信息

J Neurosurg Case Lessons. 2021 Mar 8;1(10):CASE2042. doi: 10.3171/CASE2042.

Abstract

BACKGROUND

Ewing sarcoma is a neoplasm within the family of small round blue cell tumors and most frequently arises from skeletal bone. Primary involvement of the central nervous system in these lesions is extremely rare, with an incidence of 1%.

OBSERVATIONS

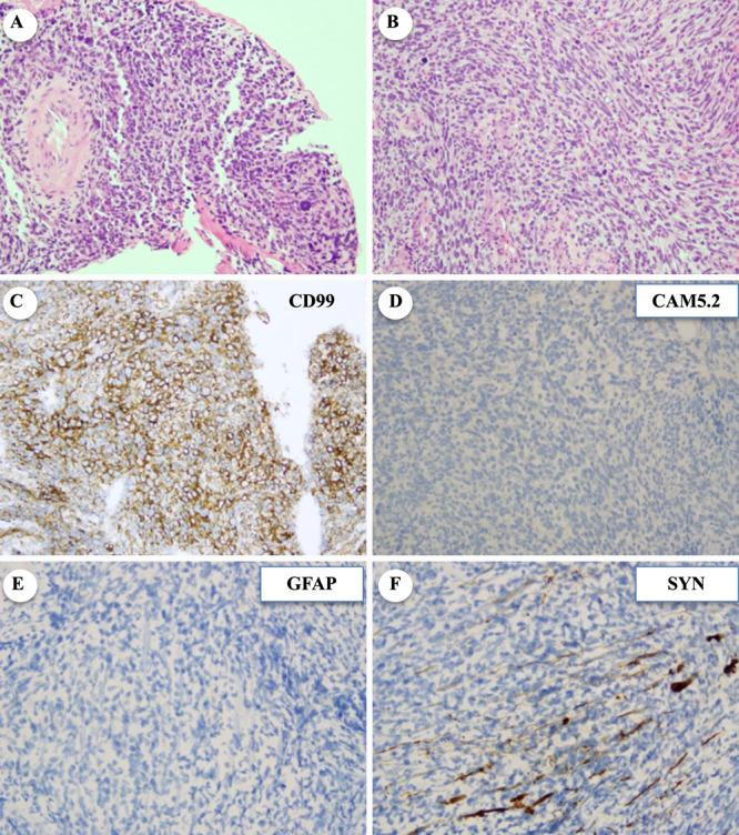
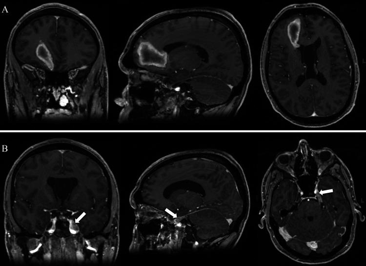
A case is presented of a 34-year-old man who presented with left facial numbness, multiple intracranial lesions, a lumbar intradural lesion, and diffuse spinal leptomeningeal involvement. A lumbar laminectomy and biopsy were performed, which revealed the diagnosis of extraskeletal Ewing sarcoma/primitive neuroectodermal tumor. The patient had a rapidly progressive clinical decline despite total neuroaxis radiation and multiple lines of chemotherapeutic treatments, eventually dying from his disease and its sequelae 6 months after diagnosis.

LESSONS

The authors' review of 40 cases in the literature revealed only 2 patients with isolated intraaxial cranial lesions, 4 patients with cranial and spine involvement, and an additional 34 patients with spine lesions. The unique characteristics of this patient's case, including his presentation with diffuse disease and pathology that included a rare V600E mutation, are discussed in the context of the available literature.

摘要

背景

尤因肉瘤是小圆细胞肿瘤家族中的一种肿瘤,最常起源于骨骼。这些病变中中枢神经系统的原发性受累极为罕见,发生率为1%。

观察结果

报告了一例34岁男性病例,该患者表现为左侧面部麻木、多发颅内病变、腰椎硬膜内病变以及弥漫性脊髓软膜受累。进行了腰椎椎板切除术和活检,结果显示为骨外尤因肉瘤/原始神经外胚层肿瘤。尽管进行了全神经轴放疗和多线化疗,患者的临床病情仍迅速进展,最终在诊断后6个月死于疾病及其后遗症。

经验教训

作者对文献中40例病例的回顾显示,仅有2例患者有孤立的脑内病变,4例患者有颅脑和脊柱受累,另有34例患者有脊柱病变。结合现有文献讨论了该患者病例的独特特征,包括其弥漫性疾病表现以及包含罕见V600E突变的病理情况。

https://cdn.ncbi.nlm.nih.gov/pmc/blobs/5393/9241201/a7d43ab10ba6/CASE2042f1.jpg

文献检索

告别复杂PubMed语法,用中文像聊天一样搜索,搜遍4000万医学文献。AI智能推荐,让科研检索更轻松。

立即免费搜索

文件翻译

保留排版,准确专业,支持PDF/Word/PPT等文件格式,支持 12+语言互译。

免费翻译文档

深度研究

AI帮你快速写综述,25分钟生成高质量综述,智能提取关键信息,辅助科研写作。

立即免费体验