Suppr超能文献

采用保守方法使耳源性小脑脓肿完全消退:两例病例报告

Complete resolution of otogenic cerebellar abscess with conservative approach: Two case reports.

作者信息

Radiansyah Riva Satya, Sugianto Paulus, Cecilia Cindy

机构信息

Department of Neurology, Faculty of Medicine, Universitas Airlangga - Dr. Soetomo General Academic Hospital, Surabaya, Indonesia.

出版信息

Ann Med Surg (Lond). 2022 Jun 16;79:104001. doi: 10.1016/j.amsu.2022.104001. eCollection 2022 Jul.

Abstract

BACKGROUND

Cerebellar abscess is rare, and these two case reports are examined to consider alternative therapy.

CASE PRESENTATION

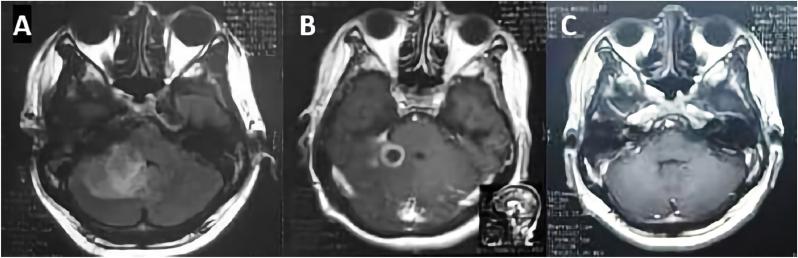
We present two cases of patients with cerebellar abscess. In both cases, patients had the same initial symptoms of fever and central vertigo, with otitis media as the source of infection. However, one patient had generalized onset of tonic-clonic seizure. Both patients were given the same regimen of antibiotics for six weeks and then, evaluated on a clinical and radiological basis via computed tomography (CT) and magnetic resonance imaging (MRI). Sixth weeks after treatment was initiated, No. abscesses were detected in either patient; clinically, there were no complaints or neurological deficits.

DISCUSSION

There are several therapeutic management options in cases of cerebellar abscess. With conservative management (e.g., administering symptomatic drugs and antibiotics), patients can recover completely.

CONCLUSION

Management of patients with cerebellar abscess is very challenging, but adequate therapy and appropriate prevention of complications can help reduce morbidity and mortality.

摘要

背景

小脑脓肿较为罕见,本文通过这两例病例报告来探讨其他治疗方法。

病例介绍

我们呈现两例小脑脓肿患者。两例患者最初均有发热和中枢性眩晕症状,感染源均为中耳炎。然而,其中一名患者出现全身性强直阵挛发作。两名患者均接受了为期六周的相同抗生素治疗方案,随后通过计算机断层扫描(CT)和磁共振成像(MRI)进行临床和影像学评估。治疗开始六周后,两名患者均未检测到脓肿;临床上,患者无不适主诉或神经功能缺损。

讨论

小脑脓肿病例有多种治疗管理选择。采用保守治疗(如使用对症药物和抗生素),患者可完全康复。

结论

小脑脓肿患者的管理极具挑战性,但适当的治疗和对并发症的恰当预防有助于降低发病率和死亡率。

https://cdn.ncbi.nlm.nih.gov/pmc/blobs/a4fa/9289309/8d4ed8e29be7/gr1.jpg

文献检索

告别复杂PubMed语法,用中文像聊天一样搜索,搜遍4000万医学文献。AI智能推荐,让科研检索更轻松。

立即免费搜索

文件翻译

保留排版,准确专业,支持PDF/Word/PPT等文件格式,支持 12+语言互译。

免费翻译文档

深度研究

AI帮你快速写综述,25分钟生成高质量综述,智能提取关键信息,辅助科研写作。

立即免费体验