Suppr超能文献

肾血管平滑肌脂肪瘤自发性破裂及其处理:一例报告

Spontaneous rupture of renal angiomyolipoma and its management: A case report.

作者信息

Thapa Narayan, Maharjan Suman, Hona Anil, Pandey Jayaram, Karki Sabin

机构信息

Department of Surgery, Shree Birendra Hospital, Chhauni, Kathmandu, 44600, Nepal.

College of Medicine, Nepalese Army Institute of Health Sciences (NAIHS), Sanobharyang, Kathmandu, 44600, Nepal.

出版信息

Ann Med Surg (Lond). 2022 Jun 18;79:104037. doi: 10.1016/j.amsu.2022.104037. eCollection 2022 Jul.

Abstract

A INTRODUCTION AND IMPORTANCE

Angiomyolipomas of kidney are benign lesions that are generally an incidental finding on imaging. Rupture of angiomyolipoma is rare and fatal complication that requires early intervention.

B CASE PRESENTATION

A 38 year old male patient presented with symptoms of right flank pain for 2 days. On clinical examination patient looked anxious, pale with right flank tenderness, guarding and signs of shock.

C CLINICAL FINDINGS AND INVESTIGATIONS

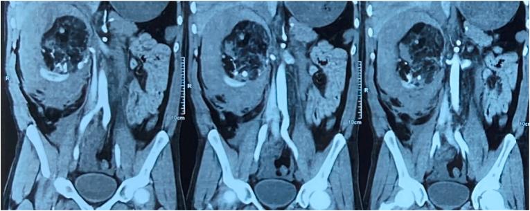
CT scan showed renal angiomyolipoma with aneurysm formation and bleed from the lesion. Blood profile revealed low hemoglobin.

D INTERVENTIONS AND OUTCOME

Right nephrectomy performed along 6 cycles of cardiopulmonary reususcitaion done with stable post operatively vitals.

E CONCLUSION

Early diagnosis of complication of angiomyolipoma requires thorough clinical examination and judicious use of imaging. Immediate embolization or surgery must be performed for better outcome and survival rate.

摘要

A 引言与重要性:肾血管平滑肌脂肪瘤是良性病变,通常在影像学检查时偶然发现。肾血管平滑肌脂肪瘤破裂是一种罕见的致命并发症,需要早期干预。

B 病例介绍:一名38岁男性患者出现右侧腰痛症状2天。临床检查时,患者显得焦虑、面色苍白,右侧腰部有压痛、肌紧张及休克体征。

C 临床发现与检查:CT扫描显示肾血管平滑肌脂肪瘤伴有动脉瘤形成及病变出血。血常规显示血红蛋白降低。

D 干预措施与结果:实施了右肾切除术,并进行了6次心肺复苏,术后生命体征稳定。

E 结论:肾血管平滑肌脂肪瘤并发症的早期诊断需要全面的临床检查和合理使用影像学检查。为了获得更好的结果和生存率,必须立即进行栓塞或手术。

https://cdn.ncbi.nlm.nih.gov/pmc/blobs/2b0f/9289389/076e6ecb697d/gr1.jpg

文献检索

告别复杂PubMed语法,用中文像聊天一样搜索,搜遍4000万医学文献。AI智能推荐,让科研检索更轻松。

立即免费搜索

文件翻译

保留排版,准确专业,支持PDF/Word/PPT等文件格式,支持 12+语言互译。

免费翻译文档

深度研究

AI帮你快速写综述,25分钟生成高质量综述,智能提取关键信息,辅助科研写作。

立即免费体验