Suppr超能文献

微创与开放式Lapidus 手术治疗拇外翻的影像学矫正与并发症的队列比较。

Cohort Comparison of Radiographic Correction and Complications Between Minimal Invasive and Open Lapidus Procedures for Hallux Valgus.

机构信息

Division of Orthopaedics and Trauma Surgery, Geneva University Hospitals, Geneva, Switzerland.

Division of Orthopaedics and Trauma Surgery, British Columbia University, Vancouver, Canada.

出版信息

Foot Ankle Int. 2022 Oct;43(10):1277-1284. doi: 10.1177/10711007221112088. Epub 2022 Jul 26.

Abstract

BACKGROUND

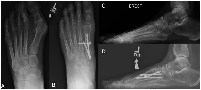
The Lapidus procedure corrects hallux valgus first ray deformity. First tarsometatarsal (TMT) fusion in patients with hallux valgus deformity using minimally invasive surgery (MIS) is a new technique, but comparative outcomes between MIS and open techniques have not been reported. This study compares the early radiographic results and complications of the MIS with the open procedure in a single-surgeon practice.

METHODS

47 MIS patients were compared with 44 open patients. Radiographic measures compared preoperatively and postoperatively were the intermetatarsal angle (IMA), hallux valgus angle (HVA), foot width (FW), distal metatarsal articular angle (DMAA), sesamoid station (SS), metatarsus adductus angle (MAA), first metatarsal to second metatarsal length, and elevation of the first metatarsal. Early complications were recorded, as well as repeat surgeries.

RESULTS

The mean follow-up was 82 (range, 31-182) months for the open group and 29 (range, 14-47) months for the MIS group. In both techniques, postoperative measures (IMA, HVA, DMAA, FW, and sesamoid station) were significantly improved from preoperative measures. When comparing postoperative measures between both groups, the IMA was significantly lower in the open group (4.8 ± 3.6 degrees vs 6.4 ± 3.2 degrees, < .05). Differential between pre- and postoperative measures for both techniques were compared, and the open group was associated with more correction than the MIS group for IMA (12.4 ± 5.3 degrees vs 9.4 ± 4.4 degrees, = .004) and HVA (25.5 ± 8.3 degrees vs 20 ± 9.9 degrees, = .005). Wound complication and nonunion rates trended higher in the open group (4 vs 0) ( = .051).

CONCLUSION

Both techniques resulted in good to excellent correction. However, the open technique was associated with lower postoperative IMA values and more correction power for IMA and HVA, than the MIS.

摘要

背景

Lapidus 手术矫正拇外翻第一跖骨畸形。在拇外翻畸形患者中,第一跖楔关节(TMT)融合采用微创外科(MIS)是一种新技术,但 MIS 与开放技术的比较结果尚未报道。本研究比较了单外科医生手术中 MIS 与开放手术的早期影像学结果和并发症。

方法

将 47 例 MIS 患者与 44 例开放患者进行比较。比较术前和术后的影像学测量指标包括:跖骨间角(IMA)、拇外翻角(HVA)、足宽(FW)、远跖骨关节角(DMAA)、籽骨位置(SS)、内收角(MAA)、第一跖骨到第二跖骨长度和第一跖骨抬高。记录早期并发症和再次手术情况。

结果

开放组的平均随访时间为 82 个月(范围 31-182 个月),MIS 组为 29 个月(范围 14-47 个月)。两种技术的术后测量值(IMA、HVA、DMAA、FW 和籽骨位置)均明显优于术前测量值。比较两组术后测量值,开放组的 IMA 明显较低(4.8 ± 3.6 度比 6.4 ± 3.2 度, <.05)。比较两种技术的术前和术后测量值的差异,开放组 IMA 和 HVA 的矫正值明显高于 MIS 组(IMA:12.4 ± 5.3 度比 9.4 ± 4.4 度, =.004;HVA:25.5 ± 8.3 度比 20 ± 9.9 度, =.005)。开放组的伤口并发症和不愈合率较高(4 比 0)( =.051)。

结论

两种技术均取得了良好至优秀的矫正效果。然而,与 MIS 相比,开放技术与较低的术后 IMA 值和更大的 IMA 和 HVA 矫正力相关。

https://cdn.ncbi.nlm.nih.gov/pmc/blobs/84b0/9527364/1cd558e7cc01/10.1177_10711007221112088-fig1.jpg

文献检索

告别复杂PubMed语法,用中文像聊天一样搜索,搜遍4000万医学文献。AI智能推荐,让科研检索更轻松。

立即免费搜索

文件翻译

保留排版,准确专业,支持PDF/Word/PPT等文件格式,支持 12+语言互译。

免费翻译文档

深度研究

AI帮你快速写综述,25分钟生成高质量综述,智能提取关键信息,辅助科研写作。

立即免费体验