Ott Oliver J, Stillkrieg Wilhelm, Lambrecht Ulrike, Sauer Tim-Oliver, Schweizer Claudia, Lamrani Allison, Strnad Vratislav, Hack Carolin C, Beckmann Matthias W, Uder Michael, Fietkau Rainer, Distel Luitpold
Department of Radiation Oncology, Universitätsklinikum Erlangen, 91054 Erlangen, Germany.
Comprehensive Cancer Center Erlangen-EMN, 91054 Erlangen, Germany.
Cancers (Basel). 2022 Jul 20;14(14):3520. doi: 10.3390/cancers14143520.
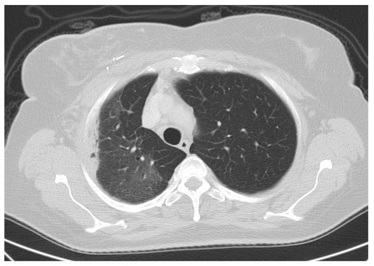
In order to evaluate the risk for radiation-associated symptomatic pneumonitis in a prospective external beam accelerated partial breast irradiation (APBI) trial, between 2011 and 2021, 170 patients with early stage breast cancer were enclosed in the trial. Patients were eligible for study participation if they had a histologically confirmed breast cancer or an exclusive ductal carcinoma in situ (DCIS), a tumor size ≤3 cm, free safety margins ≥2 mm, no involved axillary lymph nodes, tumor bed clips, and were ≥50 years old. Patients received APBI with 38 Gy with 10 fractions in 10 consecutive working days. The trial was registered at the German Clinical Trials Registry, DRKS-ID: DRKS00004417. Median follow-up was 56 (1−129) months. Ipsilateral lung MLD, V20, and V30 were 4.3 ± 1.4 Gy, 3.0 ± 2.0%, and 1.0 ± 1.0%, respectively. Radiogenic pneumonitis grade 2 appeared in 1/170 (0.6%) patients two months after radiotherapy. Ipsilateral MLD, V20, and V30 were 6.1 Gy, 7, and 3% in this patient. Additionally, individual radiosensitivity was increased in this specific patient. Compared to WBI, APBI leads to lower lung doses. Using APBI, the risk of symptomatic radiogenic pneumonitis is very low and may be limited, with an ipsilateral V20 < 3% to very exceptional cases associated with innate risk factors with an increased radiation susceptibility.
为了在前瞻性适形调强加速部分乳腺照射(APBI)试验中评估放射性症状性肺炎的风险,2011年至2021年间,170例早期乳腺癌患者纳入该试验。如果患者组织学确诊为乳腺癌或单纯导管原位癌(DCIS),肿瘤大小≤3 cm,切缘阴性≥2 mm,腋窝淋巴结无转移,有瘤床金属夹,且年龄≥50岁,则符合研究参与条件。患者在连续10个工作日内接受10次分割、总剂量38 Gy的APBI治疗。该试验已在德国临床试验注册中心注册,注册号:DRKS00004417。中位随访时间为56(1 - 129)个月。患侧肺平均低剂量(MLD)、V20和V30分别为4.3±1.4 Gy、3.0±2.0%和1.0±1.0%。放疗后两个月,1/170(0.6%)的患者出现2级放射性肺炎。该患者的患侧MLD、V20和V30分别为6.1 Gy、7%和3%。此外,该特定患者的个体放射敏感性增加。与全乳照射(WBI)相比,APBI导致的肺部剂量更低。使用APBI,症状性放射性肺炎的风险非常低,可能仅限于患侧V20 < 3%的非常特殊的病例,这些病例与具有增加辐射易感性的先天性危险因素有关。