Section of Molecular Pathology, Department of Emergency and Organ Transplantation (DETO), University of Bari "Aldo Moro", 70124 Bari, Italy.
Section of Dermatology and Venereology, Department of Biomedical Sciences and Human Oncology (DIMO), University of Bari "Aldo Moro", 70124 Bari, Italy.
Genes (Basel). 2022 Jun 26;13(7):1153. doi: 10.3390/genes13071153.
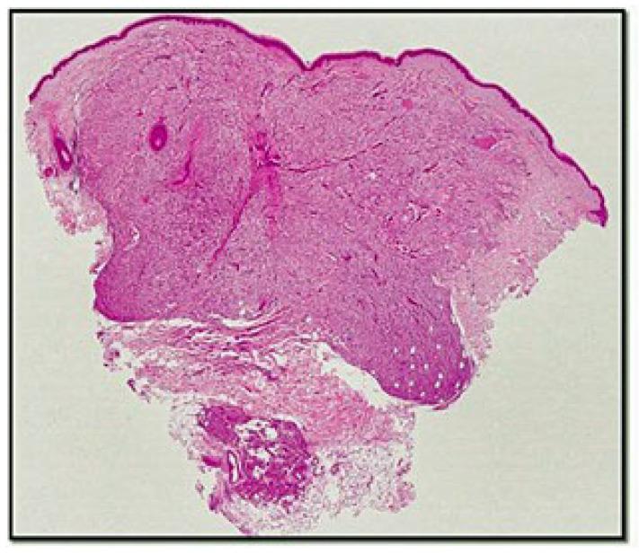
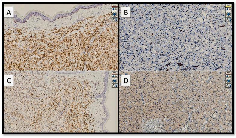
Perivascular epithelioid cell tumours (PEComas) are a growing family of tumours composed of histologically and immunohistochemically distinctive perivascular epithelioid cells. Cutaneous primitive PEComas (cPEComas) are very rare, with 65 cases described in the English literature, and occur as a painless lesion predominantly in female patients, with a wide age range. We present a new case of cPEComa found on the left thigh of a 53-year-old patient with histopathological, immunohistochemical, and molecular information. The lesion was positive for HMB-45 and focal for smooth muscle actin and desmin but negative for melan-A, S-100 protein, CD31, and CD34. Next generation sequencing (NGS) analysis demonstrated the presence of genomic aberration for baculoviral IAP repeats containing BIRC3 splice site 1622-27_1631del37. Although there are little molecular data regarding this entity, our case adds to this knowledge, considering the importance of detecting genomic aberrations in the context of specific therapies such as mTOR inhibitors.
血管周上皮样细胞瘤(PEComas)是一组不断增加的肿瘤,由组织学和免疫组织化学上具有独特特征的血管周上皮样细胞组成。皮肤原始型 PEComa(cPEComa)非常罕见,英文文献中仅描述了 65 例,主要发生于女性患者,表现为无痛性病变,发病年龄范围较广。我们报告了 1 例新的发生于左大腿的 cPEComa,患者为 53 岁女性,提供了组织病理学、免疫组织化学和分子信息。病变 HMB-45 阳性,平滑肌肌动蛋白和结蛋白局灶阳性,但黑色素-A、S-100 蛋白、CD31 和 CD34 阴性。下一代测序(NGS)分析显示存在含有 BIRC3 剪接位点 1622-27_1631del37 的杆状病毒 IAP 重复序列的基因组异常。尽管关于该实体的分子数据很少,但鉴于在特定治疗(如 mTOR 抑制剂)中检测基因组异常的重要性,我们的病例增加了这方面的知识。