Suppr超能文献

鉴定和表征在转基中华白菜品系中激活的类 MITE。

Identification and Characterization of , a -like MITE Activated in Transgenic Chinese Cabbage Lines.

机构信息

Department of Horticultural Biotechnology, Kyung Hee University, 1732 Deogyoung-daero, Giheung-gu, Yongin-si 17104, Gyeonggi-do, Korea.

出版信息

Genes (Basel). 2022 Jul 8;13(7):1222. doi: 10.3390/genes13071222.

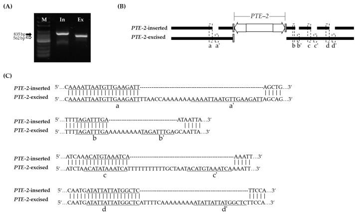
Abstract

Transposable elements (TEs) are DNA fragments that can be replicated or transposed within a genome. TEs make up a high proportion of the plant genome and contribute to genetic diversity and evolution, affecting genome structure or gene activity. Miniature inverted-repeat transposable elements (MITEs) are short, non-autonomous class II DNA transposable elements. MITEs have specific sequences, target site duplications (TSDs), and terminal inverted repeats(TIRs), which are characteristics of the classification of MITE families. In this study, a -like MITE, , was activated in transgenic Chinese cabbage lines. was revealed by in silico analysis as the putative activated element in transgenic Chinese cabbage lines. To verify the in silico analysis data, MITE insertion polymorphism (MIP) PCR was conducted and was confirmed to be activated in transgenic Chinese cabbage lines. The activation tendency of the copy elements of at different loci was also analyzed and only one more element was activated in the transgenic Chinese cabbage lines. Analyzing the sequence of MIP PCR products, the TSD sequence and TIR motif of were identified and matched to the characteristics of the -like MITE family. In addition, the flanking region of was modified when was activated.

摘要

转座元件(TEs)是可以在基因组内复制或转座的 DNA 片段。TEs 构成了植物基因组的很大一部分,为遗传多样性和进化做出了贡献,影响基因组结构或基因活性。微小反向重复转座元件(MITEs)是短的、非自主的 II 类 DNA 转座元件。MITEs 具有特定的序列、靶位点重复(TSD)和末端反向重复(TIR),这是 MITE 家族分类的特征。在本研究中,一种类似 MITE 的 ,在转基因白菜品系中被激活。通过计算机分析揭示 是转基因白菜品系中可能被激活的元件。为了验证计算机分析数据,进行了 MITE 插入多态性(MIP)PCR,证实 被激活在转基因白菜品系中。还分析了 不同位点拷贝元件的激活趋势,只有一个更多的元件在转基因白菜品系中被激活。分析 MIP PCR 产物的序列,确定了 的 TSD 序列和 TIR 基序,并与 样 MITE 家族的特征相匹配。此外,当 被激活时, 的侧翼序列被修饰。

https://cdn.ncbi.nlm.nih.gov/pmc/blobs/49e9/9319602/fd40d97a21b2/genes-13-01222-g001.jpg

文献AI研究员

20分钟写一篇综述,助力文献阅读效率提升50倍。

立即体验

用中文搜PubMed

大模型驱动的PubMed中文搜索引擎

马上搜索

文档翻译

学术文献翻译模型,支持多种主流文档格式。

立即体验