• 文献检索
  • 文档翻译
  • 深度研究
  • 学术资讯
  • Suppr Zotero 插件Zotero 插件
  • 邀请有礼
  • 套餐&价格
  • 历史记录
应用&插件
Suppr Zotero 插件Zotero 插件浏览器插件Mac 客户端Windows 客户端微信小程序
定价
高级版会员购买积分包购买API积分包
服务
文献检索文档翻译深度研究API 文档MCP 服务
关于我们
关于 Suppr公司介绍联系我们用户协议隐私条款
关注我们

Suppr 超能文献

核心技术专利:CN118964589B侵权必究
粤ICP备2023148730 号-1Suppr @ 2026

文献检索

告别复杂PubMed语法,用中文像聊天一样搜索,搜遍4000万医学文献。AI智能推荐,让科研检索更轻松。

立即免费搜索

文件翻译

保留排版,准确专业,支持PDF/Word/PPT等文件格式,支持 12+语言互译。

免费翻译文档

深度研究

AI帮你快速写综述,25分钟生成高质量综述,智能提取关键信息,辅助科研写作。

立即免费体验

实验性攻毒肉鸡坏死性肠炎诱发因素的评估

Evaluation of Predisposing Factors of Necrotic Enteritis in Experimentally Challenged Broiler Chickens.

作者信息

Justino Larissa, Baptista Ana A S, Souza Marielen de, Menck-Costa Maísa F, Pires Bárbara G, Cicero Claudineia E, Bracarense Ana P F R L, Kaneko Vanessa M, Oba Alexandre, Okamoto Adriano S, Andreatti Filho Raphael L

机构信息

Laboratory of Ornithopathology, Department of the of Veterinary Clinic, Center for Animal Pathology, School of Veterinary Medicine and Animal Science (FMVZ), São Paulo State University (UNESP), Botucatu 18618-681, Brazil.

Laboratory of Avian Medicine, Department of Preventive Veterinary Medicine, Center for Agrarian Sciences, State University of Londrina, Londrina 86057-970, Brazil.

出版信息

Animals (Basel). 2022 Jul 22;12(15):1880. doi: 10.3390/ani12151880.

DOI:10.3390/ani12151880
PMID:35892530
原文链接:https://pmc.ncbi.nlm.nih.gov/articles/PMC9331785/
Abstract

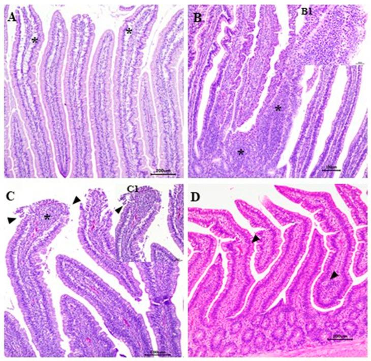
is the etiological agent of NE, a disease that greatly affects the poultry industry. Experiments on the induction of NE are difficult to carry out, as it is a multifactorial disease, and thus different predisposing factors have been used. This study evaluated the effect of the Gumboro disease vaccine virus vaccine (IBDV-vac) associated or not with infection by spp. in broilers, as a predisposing factor for NE. Broilers ( = 99) were divided into groups (11) challenged with IBDV-vac, spp. CP type G (CP13, CP14 and CP03) or both. The macroscopic evaluation revealed that the highest average (3.45) of injury occurred for the CP13 + IBDV-vac group. The microscopic analysis showed that spp. increased the population of intraepithelial lymphocytes and reduced the villus/crypt ratio in duodenum and jejunum when associated with CP13 or CP14. There was a synergistic effect between the CP strain used and the predisposing factors; nevertheless, it was not clear which was the most effective predisposing factor to potentiate the lesions, suggesting that the association of the strain with the factors should first be evaluated for each experimental protocol.

摘要

是新城疫的病原体,新城疫是一种对家禽业有重大影响的疾病。由于新城疫是一种多因素疾病,因此进行新城疫诱导实验很困难,所以使用了不同的诱发因素。本研究评估了传染性法氏囊病疫苗病毒疫苗(IBDV-vac)与感染 spp. 相关或不相关对肉鸡新城疫的诱发作用。将99只肉鸡分为11组,分别用IBDV-vac、 spp. CP型G(CP13、CP14和CP03)或两者进行攻毒。宏观评估显示,CP13 + IBDV-vac组的平均损伤最高(3.45)。微观分析表明,当与CP13或CP14联合使用时, spp. 会增加十二指肠和空肠上皮内淋巴细胞数量,并降低绒毛/隐窝比值。所用的CP菌株与诱发因素之间存在协同作用;然而,尚不清楚哪种诱发因素最有效地加剧病变,这表明对于每个实验方案,应首先评估菌株与因素的组合。

https://cdn.ncbi.nlm.nih.gov/pmc/blobs/5bab/9331785/0d8fec3e10b5/animals-12-01880-g003.jpg
https://cdn.ncbi.nlm.nih.gov/pmc/blobs/5bab/9331785/b73c83579356/animals-12-01880-g001.jpg
https://cdn.ncbi.nlm.nih.gov/pmc/blobs/5bab/9331785/ce4ff98994f5/animals-12-01880-g002.jpg
https://cdn.ncbi.nlm.nih.gov/pmc/blobs/5bab/9331785/0d8fec3e10b5/animals-12-01880-g003.jpg
https://cdn.ncbi.nlm.nih.gov/pmc/blobs/5bab/9331785/b73c83579356/animals-12-01880-g001.jpg
https://cdn.ncbi.nlm.nih.gov/pmc/blobs/5bab/9331785/ce4ff98994f5/animals-12-01880-g002.jpg
https://cdn.ncbi.nlm.nih.gov/pmc/blobs/5bab/9331785/0d8fec3e10b5/animals-12-01880-g003.jpg

相似文献

1
Evaluation of Predisposing Factors of Necrotic Enteritis in Experimentally Challenged Broiler Chickens.实验性攻毒肉鸡坏死性肠炎诱发因素的评估
Animals (Basel). 2022 Jul 22;12(15):1880. doi: 10.3390/ani12151880.
2
Efficacy of an attenuated vaccine against avian coccidiosis in combination with feed additives based on organic acids and essential oils on production performance and intestinal lesions in broilers experimentally challenged with necrotic enteritis.抗球虫弱毒疫苗联合有机酸和精油饲料添加剂对人工感染坏死性肠炎肉鸡生产性能和肠道病变的影响。
Poult Sci. 2022 Jun;101(6):101848. doi: 10.1016/j.psj.2022.101848. Epub 2022 Mar 15.
3
The Effect of Different Species of with on Performance Parameters and Induction of Clinical Necrotic Enteritis in Broiler Chickens.不同种 与 对肉鸡生产性能参数及临床坏死性肠炎诱导的影响。
Avian Dis. 2021 Mar;65(1):132-137. doi: 10.1637/aviandiseases-D-20-00106.
4
Two different Clostridium perfringens strains produce different levels of necrotic enteritis in broiler chickens.两种不同的产气荚膜梭菌菌株在肉鸡中产生不同程度的坏死性肠炎。
Poult Sci. 2019 Dec 1;98(12):6422-6432. doi: 10.3382/ps/pez480.
5
The netB-positive Clostridium perfringens in the experimental induction of necrotic enteritis with or without predisposing factors.实验诱导坏死性肠炎有无诱发因素时 netB 阳性产气荚膜梭菌的情况。
Poult Sci. 2019 Nov 1;98(11):5297-5306. doi: 10.3382/ps/pez311.
6
Comparison of the Pathogenicity of Five Clostridium perfringens Isolates Using an Eimeria maxima Coinfection Necrotic Enteritis Disease Model in Commercial Broiler Chickens.比较五种产气荚膜梭菌分离株在商业肉鸡中使用柔嫩艾美耳球虫共感染坏死性肠炎疾病模型的致病性。
Avian Dis. 2020 Sep 1;64(3):386-392. doi: 10.1637/aviandiseases-D-19-00098.
7
Characterization of a novel bacteriophage φCJ22 and its prophylactic and inhibitory effects on necrotic enteritis and Clostridium perfringens in broilers.鉴定一种新型噬菌体 φCJ22 及其对肉鸡坏死性肠炎和产气荚膜梭菌的预防和抑制作用。
Poult Sci. 2021 Jan;100(1):302-313. doi: 10.1016/j.psj.2020.10.019. Epub 2020 Oct 14.
8
Efficacy of an anticoccidial live vaccine in prevention of necrotic enteritis in chickens.抗球虫活疫苗预防鸡坏死性肠炎的效果。
Exp Parasitol. 2014 Oct;145:125-34. doi: 10.1016/j.exppara.2014.08.004. Epub 2014 Aug 14.
9
A Multifactorial Analysis of the Extent to Which Eimeria and Fishmeal Predispose Broiler Chickens to Necrotic Enteritis.艾美耳球虫和鱼粉致使肉鸡发生坏死性肠炎程度的多因素分析
Avian Dis. 2015 Mar;59(1):38-45. doi: 10.1637/10774-011614-reg.1.
10
Comparison of multiple methods for induction of necrotic enteritis in broilers: II. Impact on the growth curve.多种方法诱导肉鸡坏死性肠炎的比较:Ⅱ. 对生长曲线的影响。
Poult Sci. 2019 Nov 1;98(11):5488-5496. doi: 10.3382/ps/pez405.

引用本文的文献

1
A comprehensive review of experimental models and induction protocols for avian necrotic enteritis over the past 2 decades.对过去20年禽坏死性肠炎实验模型和诱导方案的全面综述。
Front Vet Sci. 2024 Jul 24;11:1429637. doi: 10.3389/fvets.2024.1429637. eCollection 2024.
2
Necrotic enteritis and antibiotic-free production of broiler chickens: Challenges in testing and using alternative products.坏死性肠炎与肉鸡无抗生素生产:测试和使用替代产品面临的挑战
Anim Nutr. 2023 Dec 14;16:288-298. doi: 10.1016/j.aninu.2023.08.012. eCollection 2024 Mar.
3
Effect of diet supplemented with functional amino acids and polyphenols on gut health in broilers subjected to a corticosterone-induced stress.

本文引用的文献

1
Organic acid blends improve intestinal integrity, modulate short-chain fatty acids profiles and alter microbiota of broilers under necrotic enteritis challenge.有机酸混合物可改善坏死性肠炎攻毒下肉鸡的肠道完整性,调节短链脂肪酸谱并改变其微生物群。
Anim Nutr. 2022 Mar;8(1):82-90. doi: 10.1016/j.aninu.2021.04.003. Epub 2021 Sep 14.
2
-Induced Host-Pathogen Transcriptional Changes in the Small Intestine of Broiler Chickens.诱导肉鸡小肠中宿主-病原体转录变化
Pathogens. 2021 Dec 10;10(12):1607. doi: 10.3390/pathogens10121607.
3
Pathogenicity and molecular characterization of infectious bursal disease virus in China.
日粮中添加功能性氨基酸和多酚对皮质酮应激肉鸡肠道健康的影响。
Sci Rep. 2024 Jan 10;14(1):1032. doi: 10.1038/s41598-023-50852-4.
4
Phytogenics in Ginger, , and and Their Potential as a Feed Additive against in Broiler Production.生姜中的植物源成分及其作为肉鸡生产中抗[具体病原菌名称缺失]饲料添加剂的潜力。 (注:原文中“Phytogenics in Ginger, , and and Their Potential as a Feed Additive against in Broiler Production.”存在部分内容缺失,以上翻译是根据现有内容尽量完整表达的意思。)
Animals (Basel). 2023 Nov 24;13(23):3643. doi: 10.3390/ani13233643.
中国传染性法氏囊病病毒的致病性与分子特征
Poult Sci. 2022 Jan;101(1):101502. doi: 10.1016/j.psj.2021.101502. Epub 2021 Oct 19.
4
Experimental induction of necrotic enteritis with or without predisposing factors using netB positive Clostridium perfringens strains.使用携带netB的产气荚膜梭菌菌株在有或没有诱发因素的情况下实验性诱导坏死性肠炎
Gut Pathog. 2021 Nov 17;13(1):68. doi: 10.1186/s13099-021-00463-z.
5
The Effect of Different Species of with on Performance Parameters and Induction of Clinical Necrotic Enteritis in Broiler Chickens.不同种 与 对肉鸡生产性能参数及临床坏死性肠炎诱导的影响。
Avian Dis. 2021 Mar;65(1):132-137. doi: 10.1637/aviandiseases-D-20-00106.
6
Potential of blended organic acids to improve performance and health of broilers infected with necrotic enteritis.混合有机酸对改善感染坏死性肠炎的肉鸡生产性能和健康状况的潜力。
Anim Nutr. 2021 Jun;7(2):440-449. doi: 10.1016/j.aninu.2020.11.006. Epub 2021 Feb 2.
7
Pathogenicity and virulence of .的致病性和毒力。
Virulence. 2021 Dec;12(1):723-753. doi: 10.1080/21505594.2021.1886777.
8
Transversal gene expression panel to evaluate intestinal health in broiler chickens in different challenging conditions.用于评估不同应激条件下肉鸡肠道健康的横向基因表达谱。
Sci Rep. 2021 Mar 18;11(1):6315. doi: 10.1038/s41598-021-85872-5.
9
Avian intestinal ultrastructure changes provide insight into the pathogenesis of enteric diseases and probiotic mode of action.禽类肠道超微结构变化为了解肠道疾病的发病机制和益生菌作用模式提供了线索。
Sci Rep. 2021 Jan 8;11(1):167. doi: 10.1038/s41598-020-80714-2.
10
Nonenteric Lesions of Necrotic Enteritis in Commercial Chickens in California: 25 Cases (2009-2018).加利福尼亚商业肉鸡坏死性肠炎的非肠道病变:25 例病例报告(2009-2018 年)
Avian Dis. 2020 Sep 1;64(3):356-364. doi: 10.1637/aviandiseases-D-19-00129.