Suppr超能文献

活的致病性和腐生性钩端螺旋体进入和退出人和小鼠巨噬细胞,没有细胞内复制。

Alive Pathogenic and Saprophytic Leptospires Enter and Exit Human and Mouse Macrophages With No Intracellular Replication.

机构信息

Institut Pasteur, Université Cité Paris, CNRS UMR6047, INSERM U1306, Unité de Biologie et Génétique de la Paroi Bactérienne, Paris, France.

Institut Pasteur, Université Cité Paris, CNRS UMR6047, Unité Biologie des Bactéries Intracellulaires, Paris, France.

出版信息

Front Cell Infect Microbiol. 2022 Jul 11;12:936931. doi: 10.3389/fcimb.2022.936931. eCollection 2022.

Abstract

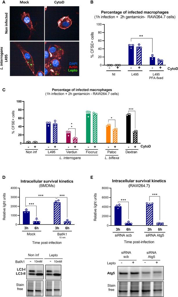
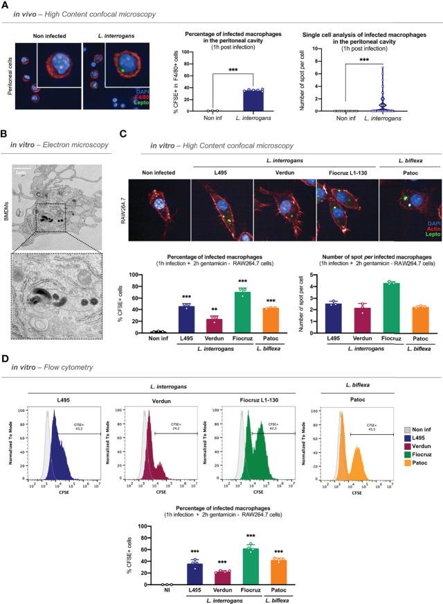
are pathogenic bacteria responsible for leptospirosis, a zoonosis impacting 1 million people year worldwide. Leptospires can infect all vertebrates, but not all hosts develop similar symptoms. Human and cattle may suffer from mild to acute illnesses and are therefore considered as sensitive to leptospirosis. In contrast, mice and rats remain asymptomatic upon infection, although they get chronically colonized in their kidneys. Upon infection, leptospires are stealth pathogens that partially escape the recognition by the host innate immune system. Although leptospires are mainly extracellular bacteria, it was suggested that they could also replicate within macrophages. However, contradictory data in the current literature led us to reevaluate these findings. Using a gentamicin-protection assay coupled to high-content (HC) microscopy, we observed that leptospires were internalized upon peritoneal infection of C57BL/6J mice. Additionally, three different serotypes of pathogenic and the saprophytic actively infected both human (PMA differentiated) THP1 and mouse RAW264.7 macrophage cell lines. Next, we assessed the intracellular fate of leptospires using bioluminescent strains, and we observed a drastic reduction in the leptospiral intracellular load between 3 h and 6 h post-infection, suggesting that leptospires do not replicate within these cells. Surprisingly, the classical macrophage microbicidal mechanisms (phagocytosis, autophagy, TLR-mediated ROS, and RNS production) were not responsible for the observed decrease. Finally, we demonstrated that the reduction in the intracellular load was associated with an increase of the bacteria in the supernatant, suggesting that leptospires exit both human and murine macrophages. Overall, our study reevaluated the intracellular fate of leptospires and favors an active entrance followed by a rapid exit, suggesting that leptospires do not have an intracellular lifestyle in macrophages.

摘要

导致钩端螺旋体病(一种影响全球 100 万人/年的人畜共患病)的病原菌是什么。钩端螺旋体可以感染所有脊椎动物,但并非所有宿主都会出现类似症状。人和牛可能患有轻度至急性疾病,因此被认为对钩端螺旋体病敏感。相比之下,感染后老鼠和大鼠无症状,但它们的肾脏会慢性定植。感染后,钩端螺旋体是部分逃避宿主固有免疫系统识别的隐匿性病原体。尽管钩端螺旋体主要是细胞外细菌,但有人提出它们也可以在巨噬细胞内复制。然而,当前文献中的矛盾数据促使我们重新评估这些发现。使用庆大霉素保护测定法结合高内涵(HC)显微镜,我们观察到钩端螺旋体在 C57BL/6J 小鼠腹膜感染时被内化。此外,三种不同的致病性血清型和腐生性血清型主动感染人(PMA 分化)THP1 和鼠 RAW264.7 巨噬细胞系。接下来,我们使用生物发光菌株评估了钩端螺旋体的细胞内命运,我们观察到感染后 3 小时至 6 小时,钩端螺旋体的细胞内负荷急剧减少,这表明钩端螺旋体不在这些细胞内复制。令人惊讶的是,经典的巨噬细胞杀菌机制(吞噬作用、自噬、TLR 介导的 ROS 和 RNS 产生)并不是导致观察到的减少的原因。最后,我们证明细胞内负荷的减少与细菌在培养上清液中的增加有关,这表明钩端螺旋体从人源和鼠源巨噬细胞中同时释放。总的来说,我们的研究重新评估了钩端螺旋体的细胞内命运,并倾向于积极进入后快速退出,这表明钩端螺旋体在巨噬细胞中没有细胞内生活方式。

https://cdn.ncbi.nlm.nih.gov/pmc/blobs/bf97/9310662/78890c2ef818/fcimb-12-936931-g001.jpg

文献检索

告别复杂PubMed语法,用中文像聊天一样搜索,搜遍4000万医学文献。AI智能推荐,让科研检索更轻松。

立即免费搜索

文件翻译

保留排版,准确专业,支持PDF/Word/PPT等文件格式,支持 12+语言互译。

免费翻译文档

深度研究

AI帮你快速写综述,25分钟生成高质量综述,智能提取关键信息,辅助科研写作。

立即免费体验