• 文献检索
  • 文档翻译
  • 深度研究
  • 学术资讯
  • Suppr Zotero 插件Zotero 插件
  • 邀请有礼
  • 套餐&价格
  • 历史记录
应用&插件
Suppr Zotero 插件Zotero 插件浏览器插件Mac 客户端Windows 客户端微信小程序
定价
高级版会员购买积分包购买API积分包
服务
文献检索文档翻译深度研究API 文档MCP 服务
关于我们
关于 Suppr公司介绍联系我们用户协议隐私条款
关注我们

Suppr 超能文献

核心技术专利:CN118964589B侵权必究
粤ICP备2023148730 号-1Suppr @ 2026

文献检索

告别复杂PubMed语法,用中文像聊天一样搜索,搜遍4000万医学文献。AI智能推荐,让科研检索更轻松。

立即免费搜索

文件翻译

保留排版,准确专业,支持PDF/Word/PPT等文件格式,支持 12+语言互译。

免费翻译文档

深度研究

AI帮你快速写综述,25分钟生成高质量综述,智能提取关键信息,辅助科研写作。

立即免费体验

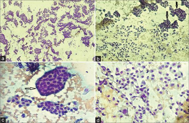
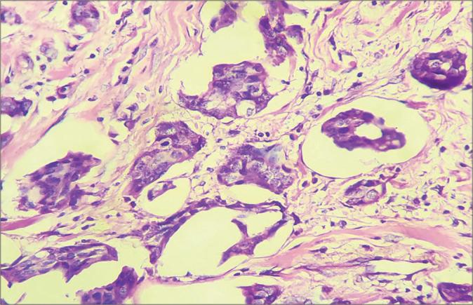
A diagnostic challenge in a rare variant of invasive breast carcinoma - How far one can go.

作者信息

Gaikwad Amrapali, Datar Sonali, Walke Vaishali, Kove Balawant

机构信息

Department of Pathology, Indira Gandhi Government Medical College, Nagpur, Maharashtra.

Department of Pathology and Lab Medicine, All India Institute of Medical Sciences, Bhopal, Madhya Pradesh, India.

出版信息

Cytojournal. 2022 Jun 7;19:35. doi: 10.25259/Cytojournal_26_2021. eCollection 2022.

DOI:10.25259/Cytojournal_26_2021
PMID:35928536
原文链接:https://pmc.ncbi.nlm.nih.gov/articles/PMC9345134/
Abstract
摘要
https://cdn.ncbi.nlm.nih.gov/pmc/blobs/4476/9345134/546220e302ed/Cytojournal-19-35-g003.jpg
https://cdn.ncbi.nlm.nih.gov/pmc/blobs/4476/9345134/d20c4af549d4/Cytojournal-19-35-g001.jpg
https://cdn.ncbi.nlm.nih.gov/pmc/blobs/4476/9345134/3052de4fefa9/Cytojournal-19-35-g002.jpg
https://cdn.ncbi.nlm.nih.gov/pmc/blobs/4476/9345134/546220e302ed/Cytojournal-19-35-g003.jpg
https://cdn.ncbi.nlm.nih.gov/pmc/blobs/4476/9345134/d20c4af549d4/Cytojournal-19-35-g001.jpg
https://cdn.ncbi.nlm.nih.gov/pmc/blobs/4476/9345134/3052de4fefa9/Cytojournal-19-35-g002.jpg
https://cdn.ncbi.nlm.nih.gov/pmc/blobs/4476/9345134/546220e302ed/Cytojournal-19-35-g003.jpg

相似文献

1
A diagnostic challenge in a rare variant of invasive breast carcinoma - How far one can go.浸润性乳腺癌罕见变体中的诊断挑战——前路几何
Cytojournal. 2022 Jun 7;19:35. doi: 10.25259/Cytojournal_26_2021. eCollection 2022.
2
Histiocytoid variant of invasive lobular breast carcinoma. A case report and literature review.浸润性小叶癌的组织细胞样变异型。病例报告及文献复习。
Ann Med Surg (Lond). 2021 Nov 18;72:103091. doi: 10.1016/j.amsu.2021.103091. eCollection 2021 Dec.
3
Invasive Cystic Hypersecretory Carcinoma of Breast: A Rare and Under Diagnosed Variant of Ductal Carcinoma.乳腺浸润性囊性高分泌性癌:一种罕见且诊断不足的导管癌变异型
J Clin Diagn Res. 2017 Jun;11(6):ED16-ED17. doi: 10.7860/JCDR/2017/27937.10098. Epub 2017 Jun 1.
4
An elderly woman with multilobulated breast mass presenting as a diagnostic dilemma: A rare case report.一名患有多叶状乳腺肿块的老年女性,诊断陷入困境:一例罕见病例报告。
J Family Med Prim Care. 2021 Oct;10(10):3916-3918. doi: 10.4103/jfmpc.jfmpc_176_21. Epub 2021 Nov 5.
5
Invasive lobular carcinoma of the breast with extracellular mucin- a new rare variant.伴有细胞外黏液的乳腺浸润性小叶癌——一种新的罕见变体。
J Clin Diagn Res. 2015 Apr;9(4):ED05-6. doi: 10.7860/JCDR/2015/13220.5765. Epub 2015 Apr 1.
6
Fluid-filled breast: A unique clinical presentation of invasive micropapillary carcinoma.充满液体的乳腺:浸润性微乳头状癌的一种独特临床表现。
Radiol Case Rep. 2021 Jul 18;16(9):2731-2735. doi: 10.1016/j.radcr.2021.06.034. eCollection 2021 Sep.
7
Changing the term "breast tumor resembling the tall cell variant of papillary thyroid carcinoma" to "tall cell variant of papillary breast carcinoma".将术语“乳腺肿瘤类似于甲状腺乳头状癌的高细胞型”改为“乳腺高细胞型乳头状癌”。
Adv Anat Pathol. 2012 Mar;19(2):108-10. doi: 10.1097/PAP.0b013e318249d090.
8
Papillary carcinoma of the breast: diagnostic agreement and management implications.乳腺乳头状癌:诊断一致性及管理意义
Histopathology. 2016 Nov;69(5):862-870. doi: 10.1111/his.13009. Epub 2016 Aug 1.
9
lnvasive cystic hypersecretory carcinoma of the breast associated with papillary pattern: a rare and poorly recognised variant of ductal carcinoma of the breast.伴有乳头样结构的乳腺浸润性囊性高分泌性癌:一种罕见且认识不足的乳腺导管癌变体。
Ecancermedicalscience. 2014 Nov 4;8:477. doi: 10.3332/ecancer.2014.477. eCollection 2014.
10
Histiocytoid breast carcinoma: solid variant of invasive lobular carcinoma with decreased expression of both E-cadherin and CD44 epithelial variant.组织细胞样乳腺癌:浸润性小叶癌的实体变体,E-钙黏蛋白和CD44上皮变体的表达均降低。
Pathol Int. 2005 Jun;55(6):353-9. doi: 10.1111/j.1440-1827.2005.01836.x.

本文引用的文献

1
Comparison of invasive micropapillary and invasive ductal carcinoma of the breast: a matched cohort study.乳腺浸润性微乳头状癌与浸润性导管癌的比较:一项配对队列研究。
Acta Radiol. 2019 Nov;60(11):1405-1413. doi: 10.1177/0284185119834689. Epub 2019 Mar 21.
2
The prognosis of invasive micropapillary carcinoma compared with invasive ductal carcinoma in the breast: a meta-analysis.乳腺浸润性微乳头状癌与浸润性导管癌的预后比较:一项荟萃分析。
BMC Cancer. 2017 Dec 11;17(1):839. doi: 10.1186/s12885-017-3855-7.
3
Invasive micropapillary mucinous carcinoma of the breast is associated with poor prognosis.
乳腺浸润性微乳头黏液癌与预后不良相关。
Breast Cancer Res Treat. 2015 Jun;151(2):443-51. doi: 10.1007/s10549-015-3413-4. Epub 2015 May 8.
4
Cytological features of pure micropapillary carcinoma of various organs: A report of eight cases.各器官纯微乳头癌的细胞学特征:8例报告
Oncol Lett. 2014 Aug;8(2):705-710. doi: 10.3892/ol.2014.2198. Epub 2014 May 29.
5
Invasive micropapillary carcinoma of breast: an under-recognized entity. a series of eight cases.乳腺浸润性微乳头状癌:一种认识不足的实体。8 例系列报道。
Breast J. 2012 May-Jun;18(3):267-71. doi: 10.1111/j.1524-4741.2012.01232.x.
6
Imaging findings of invasive micropapillary carcinoma of the breast.乳腺浸润性微乳头状癌的影像学表现。
J Breast Cancer. 2012 Mar;15(1):57-64. doi: 10.4048/jbc.2012.15.1.57. Epub 2012 Mar 28.
7
Diagnostic dilemma in cytologic features of micropapillary carcinoma of the breast: a report of 2 cases.乳腺微乳头癌细胞学特征的诊断困境:2例报告
Acta Cytol. 2009 Jul-Aug;53(4):463-6. doi: 10.1159/000325355.
8
Fine needle aspiration cytology of papillary lesions of the breast: how accurate is the diagnosis?乳腺乳头状病变的细针穿刺细胞学检查:诊断准确性如何?
J Clin Pathol. 2008 Aug;61(8):945-9. doi: 10.1136/jcp.2008.057489. Epub 2008 Jun 13.
9
Cytohistologic features of invasive micropapillary carcinoma in a young female.
Diagn Cytopathol. 2000 Sep;23(3):196-8. doi: 10.1002/1097-0339(200009)23:3<196::aid-dc11>3.0.co;2-g.