Suppr超能文献

异莲心碱通过NF-κB信号通路抑制破骨细胞形成并减轻去卵巢诱导的骨质流失。

Isoliensinine Suppresses Osteoclast Formation Through NF-κB Signaling Pathways and Relieves Ovariectomy-Induced Bone Loss.

作者信息

Liu Huijiang, Gu Ronghe, Huang Qian, Liu Yun, Liu Chong, Liao Shijie, Feng Wenyu, Xie Tianyu, Zhao Jinmin, Xu Jiake, Liu Qian, Zhan Xinli

机构信息

Department of Orthopedics, The First Affiliated Hospital of Guangxi Medical University, Nanning, China.

Department of Orthopedics, The First People's Hospital of Nanning, Nanning, China.

出版信息

Front Pharmacol. 2022 Jul 22;13:870553. doi: 10.3389/fphar.2022.870553. eCollection 2022.

Abstract

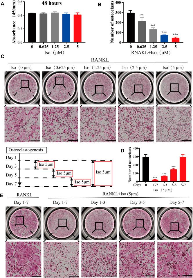
Osteoporosis is among the major contributors of pathologic fracture in postmenopausal women, which is caused by the bone metabolic disorder owing to the over-activation of osteoclasts. Inhibition of osteoclast differentiation and maturation has become a mainstream research interest in the prevention of osteoporosis. Isoliensinine (Iso) is a dibenzyl isoquinoline alkaloid with antioxidant, anti-inflammatory, and anti-cancer activities. However, whether it can be used as a potential treatment for osteoporosis remains undiscovered. Here, we investigated whether Iso might suppress the differentiation of osteoclasts and to play an anti-osteoporosis role. Our results showed that Iso inhibits the formation of mature multinuclear osteoclasts induced by RANKL, the bone resorption, and the osteoclast-specific genes expression by blocking the nuclear translocation of NF-κB p65, and the effect was in a dosage-dependent way. Furthermore, we investigated the therapeutic effect of Iso on osteoporosis in ovariectomized (OVX) mice. We found that Iso attenuated bone loss in the OVX mice and significantly promoted BS, Conn. DN, Tb.Th, TB.N, and BV/TV Index. All in all, Iso showed a prominent effect of osteoclast inhibition, with great promise for treating osteoporosis.

摘要

骨质疏松症是绝经后女性病理性骨折的主要原因之一,它是由破骨细胞过度活化导致的骨代谢紊乱引起的。抑制破骨细胞的分化和成熟已成为预防骨质疏松症的主流研究方向。异莲心碱(Iso)是一种具有抗氧化、抗炎和抗癌活性的二苄基异喹啉生物碱。然而,它是否可作为骨质疏松症的潜在治疗药物仍未可知。在此,我们研究了Iso是否可能抑制破骨细胞的分化并发挥抗骨质疏松作用。我们的结果表明,Iso通过阻断NF-κB p65的核转位来抑制RANKL诱导的成熟多核破骨细胞的形成、骨吸收以及破骨细胞特异性基因的表达,且该作用呈剂量依赖性。此外,我们研究了Iso对去卵巢(OVX)小鼠骨质疏松症的治疗效果。我们发现Iso减轻了OVX小鼠的骨质流失,并显著提高了骨表面积(BS)、骨小梁连接性(Conn.DN)、骨小梁厚度(Tb.Th)、骨小梁数量(TB.N)和骨体积分数(BV/TV)指数。总而言之,Iso显示出显著的破骨细胞抑制作用,在治疗骨质疏松症方面具有很大的潜力。

https://cdn.ncbi.nlm.nih.gov/pmc/blobs/3a62/9353689/eb15509ab95f/fphar-13-870553-g001.jpg

文献检索

告别复杂PubMed语法,用中文像聊天一样搜索,搜遍4000万医学文献。AI智能推荐,让科研检索更轻松。

立即免费搜索

文件翻译

保留排版,准确专业,支持PDF/Word/PPT等文件格式,支持 12+语言互译。

免费翻译文档

深度研究

AI帮你快速写综述,25分钟生成高质量综述,智能提取关键信息,辅助科研写作。

立即免费体验