Suppr超能文献

磁共振胰胆管造影显示的新型冠状病毒肺炎相关继发性硬化性胆管炎的影像学特征:一项回顾性分析

Imaging features of COVID-19-associated secondary sclerosing cholangitis on magnetic resonance cholangiopancreatography: a retrospective analysis.

作者信息

Ghafoor Soleen, Germann Manon, Jüngst Christoph, Müllhaupt Beat, Reiner Cäcilia S, Stocker Daniel

机构信息

Institute of Diagnostic and Interventional Radiology, University Hospital Zurich, Rämistrasse 100, 8091, Zurich, Switzerland.

University of Zurich, Zurich, Switzerland.

出版信息

Insights Imaging. 2022 Aug 8;13(1):128. doi: 10.1186/s13244-022-01266-9.

Abstract

BACKGROUND

Despite emerging reports of secondary sclerosing cholangitis (SSC) in critically ill COVID-19 patients little is known about its imaging findings. It presents as delayed progressive cholestatic liver injury with risk of progression to cirrhosis. Diagnosis cannot be made based on clinical presentation and laboratory markers alone. Magnetic resonance imaging (MRI) and magnetic resonance cholangiopancreatography (MRCP) can aid in the diagnosis. The aim of this study was to describe MRI/MRCP imaging features of COVID-19-associated SSC.

RESULTS

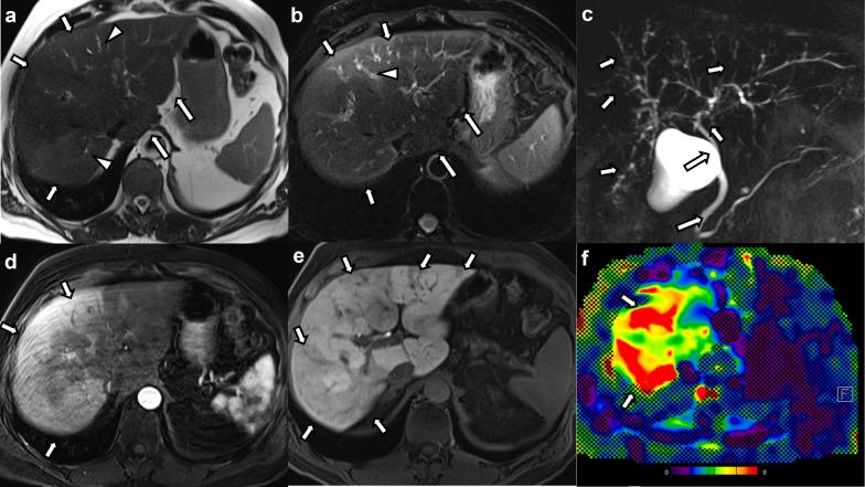
Seventeen patients (mean age 60.5 years, 15 male) who underwent MRI/MRCP were included. All had been admitted to intensive care unit (ICU) (median duration of ICU stay 10 weeks, range, 2-28 weeks) and developed acute respiratory distress syndrome requiring mechanical ventilation. On imaging, all patients had intrahepatic bile duct strictures and 10 (58.8%) had associated upstream dilatation. Intrahepatic bile duct beading was seen in 14 cases (82.3%). Only one patient (5.9%) had extrahepatic bile duct stricturing. Patchy arterial phase hyperenhancement and high signal on T2- and diffusion-weighted images were seen in 7 cases (53.8%) and 9 cases (52.9%), respectively. Biliary casts were seen in 2 cases (11.8%). Periportal lymphadenopathy and vascular complications were not seen.

CONCLUSION

On MRI/MRCP, COVID-19-associated SSC presents with multiple intrahepatic bile duct strictures with or without upstream dilatation and intrahepatic bile duct beading. Surrounding hepatic parenchymal changes including alterations in enhancement and T2 signal are common. The extrahepatic biliary tree was typically spared and periportal lymphadenopathy was missing in all patients.

摘要

背景

尽管有关于危重症 COVID-19 患者出现继发性硬化性胆管炎(SSC)的报道不断涌现,但对其影像学表现却知之甚少。SSC 表现为延迟性进行性胆汁淤积性肝损伤,有进展为肝硬化的风险。仅根据临床表现和实验室指标无法做出诊断。磁共振成像(MRI)和磁共振胰胆管造影(MRCP)有助于诊断。本研究的目的是描述 COVID-19 相关 SSC 的 MRI/MRCP 影像学特征。

结果

纳入了 17 例接受 MRI/MRCP 检查的患者(平均年龄 60.5 岁,15 例男性)。所有患者均入住重症监护病房(ICU)(ICU 住院时间中位数为 10 周,范围为 2 - 28 周),并发生了需要机械通气的急性呼吸窘迫综合征。影像学检查显示,所有患者均有肝内胆管狭窄,10 例(58.8%)伴有上游胆管扩张。14 例(82.3%)可见肝内胆管串珠样改变。仅 1 例患者(5.9%)有肝外胆管狭窄。7 例(53.8%)和 9 例(52.9%)分别在动脉期可见斑片状强化及 T2 加权像和扩散加权像上的高信号。2 例(11.8%)可见胆管铸型。未见肝门周围淋巴结肿大及血管并发症。

结论

在 MRI/MRCP 上,COVID-19 相关 SSC 表现为多发肝内胆管狭窄,伴或不伴有上游胆管扩张及肝内胆管串珠样改变。常见周围肝实质改变,包括强化及 T2 信号改变。所有患者的肝外胆管树通常未受累,且未见肝门周围淋巴结肿大。

https://cdn.ncbi.nlm.nih.gov/pmc/blobs/c253/9360394/b912ba7bcd00/13244_2022_1266_Fig1_HTML.jpg

文献AI研究员

20分钟写一篇综述,助力文献阅读效率提升50倍。

立即体验

用中文搜PubMed

大模型驱动的PubMed中文搜索引擎

马上搜索

文档翻译

学术文献翻译模型,支持多种主流文档格式。

立即体验