• 文献检索
  • 文档翻译
  • 深度研究
  • 学术资讯
  • Suppr Zotero 插件Zotero 插件
  • 邀请有礼
  • 套餐&价格
  • 历史记录
应用&插件
Suppr Zotero 插件Zotero 插件浏览器插件Mac 客户端Windows 客户端微信小程序
定价
高级版会员购买积分包购买API积分包
服务
文献检索文档翻译深度研究API 文档MCP 服务
关于我们
关于 Suppr公司介绍联系我们用户协议隐私条款
关注我们

Suppr 超能文献

核心技术专利:CN118964589B侵权必究
粤ICP备2023148730 号-1Suppr @ 2026

文献检索

告别复杂PubMed语法,用中文像聊天一样搜索,搜遍4000万医学文献。AI智能推荐,让科研检索更轻松。

立即免费搜索

文件翻译

保留排版,准确专业,支持PDF/Word/PPT等文件格式,支持 12+语言互译。

免费翻译文档

深度研究

AI帮你快速写综述,25分钟生成高质量综述,智能提取关键信息,辅助科研写作。

立即免费体验

戒烟后仍从单系统形式进展为多系统形式的肺朗格汉斯细胞组织细胞增生症。

Pulmonary Langerhans Cell Histiocytosis That Progressed from a Single-system to a Multisystem Form despite Smoking Cessation.

机构信息

Department of Respiratory Medicine, Nagasaki University Graduate School of Biomedical Sciences, Japan.

Department of Pathology, Nagasaki University Graduate School of Biomedical Sciences, Japan.

出版信息

Intern Med. 2023 Mar 15;62(6):877-880. doi: 10.2169/internalmedicine.0139-22. Epub 2022 Aug 10.

DOI:10.2169/internalmedicine.0139-22
PMID:35945010
原文链接:https://pmc.ncbi.nlm.nih.gov/articles/PMC10076126/
Abstract

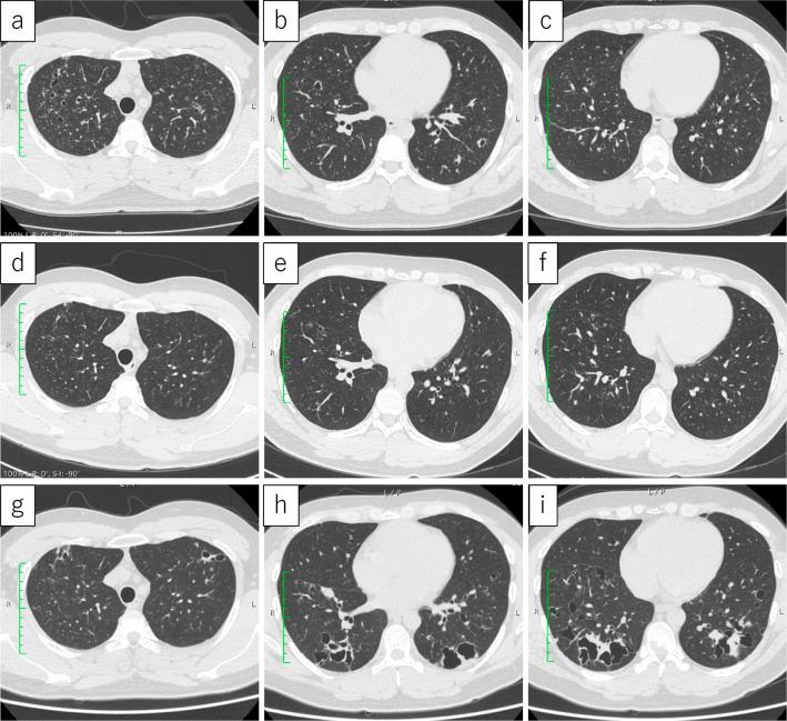
A 36-year-old Japanese man presented with cavities and nodular shadows in the lower lobes of his lungs and osteolytic lesions in the thoracic spine. He was diagnosed with multisystem Langerhans cell histiocytosis (LCH). Three years earlier, he had been noted to have small cavities and granular lesions noted in the upper lobes of his lungs, which later improved with smoking cessation. It was likely that his single-system pulmonary LCH (PLCH) progressed to multisystem LCH despite smoking cessation. Relapse or progression may occur in cases where PLCH lesions improve after smoking cessation. Thus, close follow-up is vital.

摘要

一位 36 岁的日本男性因肺部下叶的空洞和结节状阴影以及胸腰椎的溶骨性病变就诊。他被诊断为多系统朗格汉斯细胞组织细胞增生症(LCH)。三年前,他曾被发现肺部上叶有小空洞和颗粒状病变,后来戒烟后有所改善。尽管他已经戒烟,但他的单系统肺朗格汉斯细胞组织细胞增生症(PLCH)仍有可能进展为多系统 LCH。在戒烟后 PLCH 病变改善的情况下,可能会出现复发或进展。因此,密切随访至关重要。

https://cdn.ncbi.nlm.nih.gov/pmc/blobs/32fc/10076126/43428acbe1cf/1349-7235-62-0877-g003.jpg
https://cdn.ncbi.nlm.nih.gov/pmc/blobs/32fc/10076126/4f00604a34e3/1349-7235-62-0877-g001.jpg
https://cdn.ncbi.nlm.nih.gov/pmc/blobs/32fc/10076126/d755c7810f1d/1349-7235-62-0877-g002.jpg
https://cdn.ncbi.nlm.nih.gov/pmc/blobs/32fc/10076126/43428acbe1cf/1349-7235-62-0877-g003.jpg
https://cdn.ncbi.nlm.nih.gov/pmc/blobs/32fc/10076126/4f00604a34e3/1349-7235-62-0877-g001.jpg
https://cdn.ncbi.nlm.nih.gov/pmc/blobs/32fc/10076126/d755c7810f1d/1349-7235-62-0877-g002.jpg
https://cdn.ncbi.nlm.nih.gov/pmc/blobs/32fc/10076126/43428acbe1cf/1349-7235-62-0877-g003.jpg

相似文献

1
Pulmonary Langerhans Cell Histiocytosis That Progressed from a Single-system to a Multisystem Form despite Smoking Cessation.戒烟后仍从单系统形式进展为多系统形式的肺朗格汉斯细胞组织细胞增生症。
Intern Med. 2023 Mar 15;62(6):877-880. doi: 10.2169/internalmedicine.0139-22. Epub 2022 Aug 10.
2
[A case of multisystem Langerhans' cell histiocytosis with lung deterioration over 15 years].[一例多系统朗格汉斯细胞组织细胞增多症伴15年肺功能恶化病例]
Nihon Kokyuki Gakkai Zasshi. 2006 Jun;44(6):442-6.
3
Clinical analysis for 15 patients with pulmonary Langerhans cell histiocytosis and literature review.15 例肺朗格汉斯细胞组织细胞增生症临床分析并文献复习
Zhong Nan Da Xue Xue Bao Yi Xue Ban. 2022 Mar 28;47(3):334-343. doi: 10.11817/j.issn.1672-7347.2022.210581.
4
From the archives of the AFIP: pulmonary Langerhans cell histiocytosis.源自武装部队病理研究所档案:肺朗格汉斯细胞组织细胞增多症。
Radiographics. 2004 May-Jun;24(3):821-41. doi: 10.1148/rg.243045005.
5
Pulmonary Langerhans' cell histiocytosis: radiologic resolution following smoking cessation.
Chest. 1999 May;115(5):1452-5. doi: 10.1378/chest.115.5.1452.
6
Pulmonary Langerhans cell histiocytosis: radiologic resolution following cessation of second hand smoking.
Clin Respir J. 2017 Nov;11(6):1063-1067. doi: 10.1111/crj.12445. Epub 2016 Feb 5.
7
The natural history of adult pulmonary Langerhans cell histiocytosis: a prospective multicentre study.成人肺朗格汉斯细胞组织细胞增多症的自然病史:一项前瞻性多中心研究。
Orphanet J Rare Dis. 2015 Mar 14;10:30. doi: 10.1186/s13023-015-0249-2.
8
Pulmonary Langerhans cell histiocytosis.肺朗格汉斯细胞组织细胞增多症。
Ir Med J. 2014 Apr;107(4):116-7.
9
Primary pulmonary Langerhans cell histiocytosis associated with smoking in an adolescent boy.一名青少年男性原发性肺朗格汉斯细胞组织细胞增多症与吸烟相关
Turk J Pediatr. 2017;59(5):586-589. doi: 10.24953/turkjped.2017.05.013.
10
[A case of pulmonary langerhans cell histiocytosis presenting disappearance of coalescing air wall cysts after smoking cessation].[1例肺朗格汉斯细胞组织细胞增多症患者戒烟后融合性气壁囊肿消失]
Nihon Kokyuki Gakkai Zasshi. 2005 Jul;43(7):432-6.

本文引用的文献

1
International expert consensus recommendations for the diagnosis and treatment of Langerhans cell histiocytosis in adults.国际专家共识建议:成人朗格汉斯细胞组织细胞增生症的诊断与治疗。
Blood. 2022 Apr 28;139(17):2601-2621. doi: 10.1182/blood.2021014343.
2
Langerhans cell histiocytosis with lung involvement in isolation and multisystem disease: Staging, natural history, and comparative survival.孤立性肺受累与多系统疾病的朗格汉斯细胞组织细胞增生症:分期、自然病程和比较生存。
Am J Hematol. 2021 Dec 1;96(12):1604-1610. doi: 10.1002/ajh.26355. Epub 2021 Oct 8.
3
Langerhans cell histiocytosis.
朗格汉斯细胞组织细胞增生症。
Blood. 2020 Apr 16;135(16):1319-1331. doi: 10.1182/blood.2019000934.
4
Genetic landscape of adult Langerhans cell histiocytosis with lung involvement.伴有肺部受累的成人朗格汉斯细胞组织细胞增多症的基因图谱。
Eur Respir J. 2020 Feb 27;55(2). doi: 10.1183/13993003.01190-2019. Print 2020 Feb.
5
How I manage pulmonary Langerhans cell histiocytosis.我如何治疗肺朗格汉斯细胞组织细胞增多症。
Eur Respir Rev. 2017 Sep 6;26(145). doi: 10.1183/16000617.0070-2017. Print 2017 Sep 30.
6
Extrathoracic investigation in adult patients with isolated pulmonary langerhans cell histiocytosis.成年孤立性肺朗格汉斯细胞组织细胞增多症患者的胸外检查
Orphanet J Rare Dis. 2016 Feb 2;11:11. doi: 10.1186/s13023-016-0387-1.
7
The natural history of adult pulmonary Langerhans cell histiocytosis: a prospective multicentre study.成人肺朗格汉斯细胞组织细胞增多症的自然病史:一项前瞻性多中心研究。
Orphanet J Rare Dis. 2015 Mar 14;10:30. doi: 10.1186/s13023-015-0249-2.
8
A prospective clinical multicentre study on adult pulmonary Langerhans' cell histiocytosis.一项关于成人肺部朗格汉斯细胞组织细胞增多症的前瞻性临床多中心研究。
Sarcoidosis Vasc Diffuse Lung Dis. 2012 Oct;29(2):132-8.
9
Adult Langerhans cell histiocytosis with independently relapsing lung and liver lesions that was successfully treated with etoposide.成人朗格汉斯细胞组织细胞增多症伴独立复发的肺部和肝脏病变,经依托泊苷成功治疗。
Intern Med. 2007;46(15):1231-5. doi: 10.2169/internalmedicine.46.6433. Epub 2007 Aug 2.
10
Clinico-epidemiological features of pulmonary histiocytosis X.肺组织细胞增多症X的临床流行病学特征。
Intern Med. 2001 Oct;40(10):998-1003. doi: 10.2169/internalmedicine.40.998.