• 文献检索
  • 文档翻译
  • 深度研究
  • 学术资讯
  • Suppr Zotero 插件Zotero 插件
  • 邀请有礼
  • 套餐&价格
  • 历史记录
应用&插件
Suppr Zotero 插件Zotero 插件浏览器插件Mac 客户端Windows 客户端微信小程序
定价
高级版会员购买积分包购买API积分包
服务
文献检索文档翻译深度研究API 文档MCP 服务
关于我们
关于 Suppr公司介绍联系我们用户协议隐私条款
关注我们

Suppr 超能文献

核心技术专利:CN118964589B侵权必究
粤ICP备2023148730 号-1Suppr @ 2026

文献检索

告别复杂PubMed语法,用中文像聊天一样搜索,搜遍4000万医学文献。AI智能推荐,让科研检索更轻松。

立即免费搜索

文件翻译

保留排版,准确专业,支持PDF/Word/PPT等文件格式,支持 12+语言互译。

免费翻译文档

深度研究

AI帮你快速写综述,25分钟生成高质量综述,智能提取关键信息,辅助科研写作。

立即免费体验

乳突性垂体神经内分泌肿瘤/腺瘤与克罗恩病患者的肉芽肿性垂体炎相关:病例报告。

Lactotroph PitNET/adenoma associated to granulomatous hypophysitis in a patient with Crohn's disease: A case report.

机构信息

Pathology Unit, Department of Molecular and Translational Medicine, University of Brescia and Pathology Service Spedali Civili of Brescia, Brescia, Italy.

Neurosurgery, Department of Surgical Specialties, Radiological Sciences and Public Health, University of Brescia, Brescia, Italy.

出版信息

Neuropathology. 2023 Feb;43(1):104-109. doi: 10.1111/neup.12857. Epub 2022 Aug 10.

DOI:10.1111/neup.12857
PMID:35949102
原文链接:https://pmc.ncbi.nlm.nih.gov/articles/PMC10087785/
Abstract

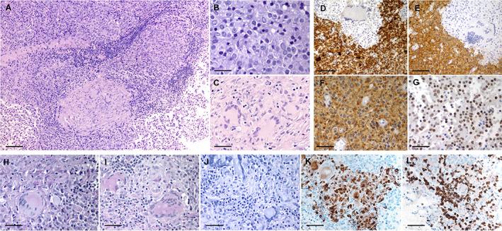
Granulomatous hypophysitis is a rare and poorly understood condition. Although certain cases are treated as primary pituitary autoimmune disorders, rare cases may be associated with pituitary neuroendocrine tumours (PitNETs) and systemic inflammatory diseases. Here, we report a case of a 47-year-old man that underwent endoscopic trans-sphenoidal excision of a pituitary mass diagnosed as PitNET. On histologic evaluation, the neoplasm showed an admixture of granulomas with extensive inflammatory infiltrate and lactotroph PitNET/adenoma. Careful anamnestic examination revealed a diagnosis of Crohn's disease 20 years prior. Although rarely done, both PitNET and Crohn's disease may be associated with granulomatous hypophysitis, and our patient had both conditions. During the 6-year follow-up, PitNETs and hypophysitis did not recur, while Crohn's disease was only partially controlled by medical therapy. To our knowledge, this is the first description of association of granulomatous hypophysitis, PitNET and Crohn's disease.

摘要

肉芽肿性垂体炎是一种罕见且尚未被充分认识的疾病。尽管某些病例被视为原发性垂体自身免疫性疾病,但罕见病例可能与垂体神经内分泌肿瘤(PitNET)和系统性炎症性疾病相关。在此,我们报告一例 47 岁男性患者,其接受了内镜经蝶窦切除垂体肿块的手术,该肿块被诊断为 PitNET。在组织学评估中,该肿瘤显示出混杂的肉芽肿,伴有广泛的炎症浸润和泌乳细胞型 PitNET/腺瘤。仔细的病史询问发现 20 年前患有克罗恩病的诊断。尽管很少见,但 PitNET 和克罗恩病都可能与肉芽肿性垂体炎相关,而我们的患者同时患有这两种疾病。在 6 年的随访中,PitNET 和垂体炎未再复发,而克罗恩病仅通过药物治疗部分得到控制。据我们所知,这是首例描述肉芽肿性垂体炎、PitNET 和克罗恩病之间关联的病例。

https://cdn.ncbi.nlm.nih.gov/pmc/blobs/b5a1/10087785/598476785412/NEUP-43-104-g002.jpg
https://cdn.ncbi.nlm.nih.gov/pmc/blobs/b5a1/10087785/4c1ef7f9d46e/NEUP-43-104-g003.jpg
https://cdn.ncbi.nlm.nih.gov/pmc/blobs/b5a1/10087785/a77033c78b3f/NEUP-43-104-g001.jpg
https://cdn.ncbi.nlm.nih.gov/pmc/blobs/b5a1/10087785/598476785412/NEUP-43-104-g002.jpg
https://cdn.ncbi.nlm.nih.gov/pmc/blobs/b5a1/10087785/4c1ef7f9d46e/NEUP-43-104-g003.jpg
https://cdn.ncbi.nlm.nih.gov/pmc/blobs/b5a1/10087785/a77033c78b3f/NEUP-43-104-g001.jpg
https://cdn.ncbi.nlm.nih.gov/pmc/blobs/b5a1/10087785/598476785412/NEUP-43-104-g002.jpg

相似文献

1
Lactotroph PitNET/adenoma associated to granulomatous hypophysitis in a patient with Crohn's disease: A case report.乳突性垂体神经内分泌肿瘤/腺瘤与克罗恩病患者的肉芽肿性垂体炎相关:病例报告。
Neuropathology. 2023 Feb;43(1):104-109. doi: 10.1111/neup.12857. Epub 2022 Aug 10.
2
A Remarkable Response of Granulomatous Hypophysitis to Infliximab in a Patient With a Background of Crohn's Disease-A Case Report.英夫利昔单抗治疗克罗恩病背景下的肉芽肿性垂体炎患者的显著疗效:病例报告。
Front Endocrinol (Lausanne). 2020 May 29;11:350. doi: 10.3389/fendo.2020.00350. eCollection 2020.
3
A unique coexistence of a plurihormonal pituitary adenoma with granulomatous hypophysitis.一种多激素垂体腺瘤与肉芽肿性垂体炎的独特共存情况。
Indian J Pathol Microbiol. 2023 Jul-Sep;66(3):618-620. doi: 10.4103/ijpm.ijpm_439_21.
4
Concurrent IgG4-related hypophysitis and clinically nonfunctioning gonadotroph pituitary neuroendocrine tumor.同时性 IgG4 相关垂体炎和临床无功能促性腺激素垂体神经内分泌肿瘤。
BMC Endocr Disord. 2023 May 4;23(1):96. doi: 10.1186/s12902-023-01353-y.
5
Intratumoral granulomatous reaction in recurrent pituitary adenoma: A unique presentation.复发性垂体腺瘤中的瘤内肉芽肿反应:一种独特的表现。
J Cancer Res Ther. 2017 Jul-Sep;13(3):580-582. doi: 10.4103/jcrt.JCRT_677_16.
6
Clinical Interrogation for Unveiling an Isolated Hypophysitis Mimicking Pituitary Adenoma.用于揭示疑似垂体腺瘤的孤立性垂体炎的临床问诊
World Neurosurg. 2017 Mar;99:735-744. doi: 10.1016/j.wneu.2016.07.071. Epub 2016 Jul 28.
7
Idiopathic granulomatous hypophysitis mimicking adenoma.特发性肉芽肿性垂体炎,类似于垂体腺瘤。
Rev Esp Patol. 2022 Jul-Sep;55(3):203-206. doi: 10.1016/j.patol.2019.11.005. Epub 2020 Jun 10.
8
A case of pituitary gland abscess associated with granulomatous hypophysitis.垂体脓肿合并肉芽肿性垂体炎 1 例报告。
BMC Neurol. 2023 Jan 12;23(1):11. doi: 10.1186/s12883-023-03060-6.
9
[Pituitary cryptococcoma: a strange case of secondary granulomatous hypophysitis].[垂体隐球菌瘤:一例继发性肉芽肿性垂体炎的罕见病例]
Medicina (B Aires). 2023;83(6):1007-1012.
10
Pituitary tumours: inflammatory and granulomatous expansive lesions of the pituitary.垂体肿瘤:垂体的炎症和肉芽肿性扩张性病变。
Best Pract Res Clin Endocrinol Metab. 2009 Oct;23(5):639-50. doi: 10.1016/j.beem.2009.05.009.

引用本文的文献

1
Central diabetes insipidus: a late sequela of BNT162b2 SARS-CoV-2 mRNA vaccine?中枢性尿崩症:BNT162b2 新冠病毒 mRNA 疫苗的迟发后遗症?
BMC Endocr Disord. 2023 Feb 22;23(1):47. doi: 10.1186/s12902-023-01296-4.

本文引用的文献

1
Granulomatous Sarcoidosis Mimics.肉芽肿性结节病的模仿者。
Front Med (Lausanne). 2021 Jul 8;8:680989. doi: 10.3389/fmed.2021.680989. eCollection 2021.
2
A Remarkable Response of Granulomatous Hypophysitis to Infliximab in a Patient With a Background of Crohn's Disease-A Case Report.英夫利昔单抗治疗克罗恩病背景下的肉芽肿性垂体炎患者的显著疗效:病例报告。
Front Endocrinol (Lausanne). 2020 May 29;11:350. doi: 10.3389/fendo.2020.00350. eCollection 2020.
3
Hypophysitis: An update on the novel forms, diagnosis and management of disorders of pituitary inflammation.
垂体炎:新型垂体炎症性疾病的形式、诊断和治疗方法的最新进展。
Best Pract Res Clin Endocrinol Metab. 2019 Dec;33(6):101371. doi: 10.1016/j.beem.2019.101371. Epub 2019 Dec 12.
4
Pituitary Adenoma with Granulomatous Hypophysitis: A Rare Coexistence.垂体腺瘤合并肉芽肿性垂体炎:一种罕见的共存情况。
Indian J Endocrinol Metab. 2019 Jul-Aug;23(4):498-500. doi: 10.4103/ijem.IJEM_259_19.
5
Intratumoral granulomatous reaction in recurrent pituitary adenoma: A unique presentation.复发性垂体腺瘤中的瘤内肉芽肿反应:一种独特的表现。
J Cancer Res Ther. 2017 Jul-Sep;13(3):580-582. doi: 10.4103/jcrt.JCRT_677_16.
6
Inflammatory Bowel Disease and the Risk of Autoimmune Diseases.炎症性肠病与自身免疫性疾病的风险
J Crohns Colitis. 2016 Feb;10(2):186-93. doi: 10.1093/ecco-jcc/jjv193. Epub 2015 Oct 27.
7
Sellar inflammatory mass with inflammatory bowel disease.伴有炎症性肠病的鞍区炎性肿块
Can J Gastroenterol. 2010 Jan;24(1):58-60. doi: 10.1155/2010/650692.
8
Autoimmune disease concomitance among inflammatory bowel disease patients in the United States, 2001-2002.2001 - 2002年美国炎症性肠病患者中的自身免疫性疾病共患情况
Inflamm Bowel Dis. 2008 Jun;14(6):738-43. doi: 10.1002/ibd.20406.
9
Silent ACTH cell adenoma in coincidence with granulomatous hypophysitis--a case report.伴肉芽肿性垂体炎的无功能促肾上腺皮质激素细胞腺瘤——病例报告
Pathol Res Pract. 2007;203(4):221-5. doi: 10.1016/j.prp.2006.12.011. Epub 2007 Mar 29.
10
The clustering of other chronic inflammatory diseases in inflammatory bowel disease: a population-based study.炎症性肠病中其他慢性炎症性疾病的聚集性:一项基于人群的研究。
Gastroenterology. 2005 Sep;129(3):827-36. doi: 10.1053/j.gastro.2005.06.021.