Suppr超能文献

13年随访后的肝上皮样血管内皮瘤:1例报告并文献复习

Hepatic epithelioid hemangioendothelioma after thirteen years' follow-up: A case report and review of literature.

作者信息

Mo Wei-Fang, Tong Yu-Ling

机构信息

Department of General Practice, The 2 Affiliated Hospital of Zhejiang University, School of Medicine, Hangzhou 310009, Zhejiang Province, China.

出版信息

World J Clin Cases. 2022 Jun 26;10(18):6119-6127. doi: 10.12998/wjcc.v10.i18.6119.

Abstract

BACKGROUND

Hepatic epithelioid hemangioendothelioma (EHE) is a rare vascular endothelial cell tumor of the liver, consisting of epithelioid and histiocyte-like vascular endothelial cells in mucus or a fibrotic matrix. Immunohistochemistry is usually positive for vascular markers, such as factor VIII-related antigen, CD31, and CD34. Hepatic EHE can have a varied clinical course; treatment includes liver transplantation, liver resection, chemotherapy, and radiation therapy.

CASE SUMMARY

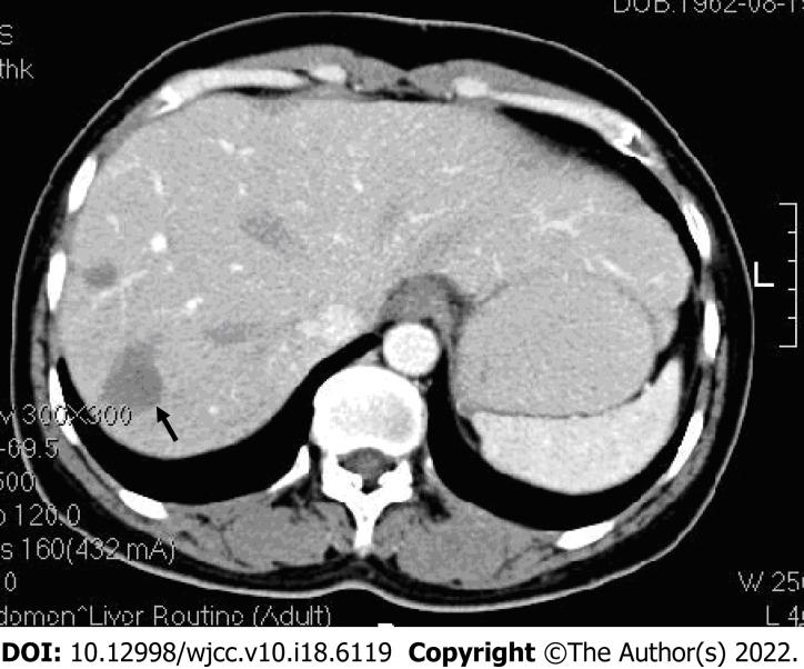
A 46-year-old woman with abdominal discomfort and elevated serum carcinoembryonic antigen was found to have multiple low-density lesions in the liver and lung on computed tomography (CT) evaluation. An ultrasound-guided fine needle aspiration biopsy revealed a fibrous stroma with dendritic cells, containing intracellular vacuoles. Immunohistochemical staining found that the tumor cells were positive for CD34, CD31, and factor VIII-related antigen. The patient received four courses of combined chemotherapy and was followed-up for 13 years, at which time the patient was in stable condition without disease progression and a confined neoplasm, as evidenced by CT scans.

CONCLUSION

The histology and immunohistochemical characteristics of hepatic EHE are well described. Chemotherapy may be effective in patients with extrahepatic lesions.

摘要

背景

肝上皮样血管内皮瘤(EHE)是一种罕见的肝脏血管内皮细胞瘤,由黏液或纤维化基质中的上皮样和组织细胞样血管内皮细胞组成。免疫组织化学通常对血管标志物呈阳性,如因子 VIII 相关抗原、CD31 和 CD34。肝 EHE 的临床病程可能多种多样;治疗方法包括肝移植、肝切除、化疗和放疗。

病例摘要

一名 46 岁女性,有腹部不适且血清癌胚抗原升高,计算机断层扫描(CT)评估发现肝脏和肺部有多个低密度病变。超声引导下细针穿刺活检显示有含树突状细胞的纤维性基质,细胞内有液泡。免疫组织化学染色发现肿瘤细胞对 CD34、CD31 和因子 VIII 相关抗原呈阳性。该患者接受了四个疗程的联合化疗,并随访 13 年,此时患者病情稳定,无疾病进展且肿瘤局限,CT 扫描证实了这一点。

结论

肝 EHE 的组织学和免疫组织化学特征已得到充分描述。化疗对有肝外病变的患者可能有效。

https://cdn.ncbi.nlm.nih.gov/pmc/blobs/0ff5/9254202/68a16d8c4133/WJCC-10-6119-g001.jpg

文献AI研究员

20分钟写一篇综述,助力文献阅读效率提升50倍。

立即体验

用中文搜PubMed

大模型驱动的PubMed中文搜索引擎

马上搜索

文档翻译

学术文献翻译模型,支持多种主流文档格式。

立即体验