Suppr超能文献

虹膜痣(科根-里斯)综合征在白内障摘除术中出现晶状体悬韧带断裂。

Iris Nevus (Cogan-Reese) Syndrome Presenting with Zonular Dehiscence during Cataract Extraction.

作者信息

Chhadva Priyanka, Del Valle Estopinal Maria, Farid Marjan

机构信息

Department of Ophthalmology, Gavin Herbert Eye Institute, University of California, Irvine, California, USA.

Deparment of Pathology, University of California, Irvine, California, USA.

出版信息

Case Rep Ophthalmol. 2022 Jun 9;13(2):435-440. doi: 10.1159/000524823. eCollection 2022 May-Aug.

Abstract

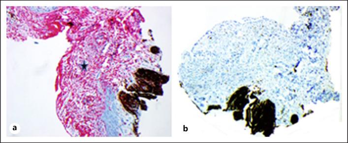
The aim of this study was to report a novel presentation of Cogan-Reese syndrome presenting with zonular dehiscence during cataract extraction with intraocular lens placement. A 49-year-old woman presented with worsening vision over 2 years. The examination was significant for bilateral pupil miosis, visually significant cataracts, and unilateral glaucoma. No iris nodules or corneal endothelial disease was observed through slit-lamp examination and specular microscopy bilaterally. Cataract extraction on the left eye was complicated by significant zonular dehiscence. An iris sample taken during the procedure demonstrated histopathologic findings consistent with an iris nodule composed of melanocytic nevoid cells. Cogan-Reese, or iris nevus syndrome, is a subset of iridocorneal endothelial syndrome that usually presents with iridic stromal matting and stromal loss, nodule formation, and secondary unilateral angle-closure glaucoma. Here, we describe a presentation of Cogan-Reese syndrome that presented with pupillary miosis and glaucoma preoperatively, and zonular dehiscence during cataract extraction with no underlying corneal pathology.

摘要

本研究的目的是报告一例科根-里斯综合征(Cogan-Reese syndrome)的新表现,该患者在白内障摘除联合人工晶状体植入术中出现晶状体悬韧带断裂。一名49岁女性,视力在2年中逐渐下降。检查发现双侧瞳孔缩小、有明显影响视力的白内障以及单侧青光眼。通过裂隙灯检查和双侧角膜内皮显微镜检查未观察到虹膜结节或角膜内皮疾病。左眼白内障摘除术因严重的晶状体悬韧带断裂而复杂化。术中采集的虹膜样本显示组织病理学结果与由黑素细胞痣样细胞组成的虹膜结节一致。科根-里斯综合征,即虹膜痣综合征,是虹膜角膜内皮综合征的一个亚型,通常表现为虹膜基质模糊、基质缺失、结节形成以及继发性单侧闭角型青光眼。在此,我们描述了一例科根-里斯综合征的表现,该患者术前出现瞳孔缩小和青光眼,白内障摘除术中出现晶状体悬韧带断裂,且无潜在的角膜病变。

https://cdn.ncbi.nlm.nih.gov/pmc/blobs/eb52/9247537/7045edff42f0/cop-0013-0435-g01.jpg

文献AI研究员

20分钟写一篇综述,助力文献阅读效率提升50倍。

立即体验

用中文搜PubMed

大模型驱动的PubMed中文搜索引擎

马上搜索

文档翻译

学术文献翻译模型,支持多种主流文档格式。

立即体验