Suppr超能文献

30 秒坐立起身力量与 COVID-19 幸存者的胸肌厚度呈正相关。

30 s sit-to-stand power is positively associated with chest muscle thickness in COVID-19 survivors.

机构信息

Department of Physiotherapy, Physiotherapy in Motion Multispeciality Research Group (PTinMOTION), 16781University of Valencia, Valencia, Spain.

Department of Physical Therapy, Faculty of Medicine, 14655University of Chile, Santiago, Chile.

出版信息

Chron Respir Dis. 2022 Jan-Dec;19:14799731221114263. doi: 10.1177/14799731221114263.

Abstract

INTRODUCTION

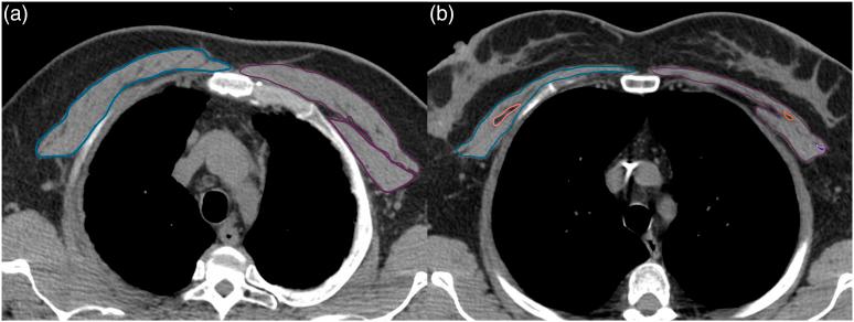
After hospitalization, early detection of musculoskeletal sequelae might help healthcare professionals to improve and individualize treatment, accelerating recovery after COVID-19. The objective was to determine the association between the 30s sit-to-stand muscle power (30s-STS) and cross-sectional area of the chest muscles (pectoralis) in COVID-19 survivors.

METHOD

This cross-sectional study collected routine data from COVID-19 survivors one month after hospitalization: 1) a chest computed tomography (CT) scan and 2) a functional capacity test (30s-STS). The pectoralis muscle area (PMA) was measured from axial CT images. For each gender, patients were categorized into tertiles based on PMA. The 30s-STS was performed to determine the leg extension power. The allometric and relative STS power were calculated as absolute 30s-STS power normalized to height squared and body mass. The two-way ANOVA was used to compare the gender-stratified tertiles of 30s-STS power variants.

RESULTS

Fifty-eight COVID-19 survivors were included (mean age 61.2 ± 12.9 years, 30/28 (51.7%/48.3%) men/women). The two-way ANOVA showed significant differences between the PMA tertiles in absolute STS power ( = .002) and allometric STS power ( = .001). There were no significant gender x PMA tertile interactions (all variables > .05). The high tertile of PMA showed a higher allometric STS power compared to the low and middle tertile, = .002 and = .004, respectively. Absolute STS power and allometric STS power had a moderate correlation with the PMA, r = 0.519 ( < .001) and r = 0.458 ( < .001) respectively.

CONCLUSION

The 30s-STS power is associated with pectoralis muscle thickness in both male and female COVID-19 survivors. Thus, this test may indicate global muscle-wasting and may be used as a screening tool for lower extremity functional capacity in the early stages of rehabilitation planning in COVID-19 survivors.

摘要

简介

住院后,早期发现肌肉骨骼后遗症可能有助于医疗保健专业人员改善和个体化治疗,从而加速 COVID-19 后的康复。目的是确定 COVID-19 幸存者的 30 秒坐立起身肌肉力量(30s-STS)与胸部肌肉(胸肌)横截面积之间的关系。

方法

本横断面研究收集了 COVID-19 幸存者住院后一个月的常规数据:1)胸部计算机断层扫描(CT)扫描和 2)功能能力测试(30s-STS)。从轴向 CT 图像测量胸肌面积(PMA)。对于每个性别,根据 PMA 将患者分为三分位。30s-STS 用于确定腿部伸展力量。将绝对 30s-STS 功率归一化为身高平方和体重,计算出等比和相对 STS 功率。使用双因素方差分析比较 30s-STS 功率变量的性别分层三分位。

结果

共纳入 58 名 COVID-19 幸存者(平均年龄 61.2 ± 12.9 岁,30/28(51.7%/48.3%)男性/女性)。双因素方差分析显示,在绝对 STS 功率( =.002)和等比 STS 功率( =.001)方面,PMA 三分位之间存在显著差异。性别 x PMA 三分位组间无显著交互作用(所有变量 >.05)。高 PMA 三分位的等比 STS 功率高于低和中 PMA 三分位,分别为 =.002 和 =.004。绝对 STS 功率和等比 STS 功率与 PMA 呈中度相关,r = 0.519( <.001)和 r = 0.458( <.001)。

结论

30s-STS 功率与男性和女性 COVID-19 幸存者的胸肌厚度相关。因此,该测试可能表明存在全身肌肉消耗,并可作为 COVID-19 幸存者康复计划早期下肢功能能力的筛查工具。

https://cdn.ncbi.nlm.nih.gov/pmc/blobs/35f7/9379968/4f46b9b53184/10.1177_14799731221114263-fig1.jpg

文献检索

告别复杂PubMed语法,用中文像聊天一样搜索,搜遍4000万医学文献。AI智能推荐,让科研检索更轻松。

立即免费搜索

文件翻译

保留排版,准确专业,支持PDF/Word/PPT等文件格式,支持 12+语言互译。

免费翻译文档

深度研究

AI帮你快速写综述,25分钟生成高质量综述,智能提取关键信息,辅助科研写作。

立即免费体验