Suppr超能文献

一种新型肝癌预后预测因子PDSS1通过STAT3信号通路影响肝癌细胞周期。

A novel HCC prognosis predictor PDSS1 affects the cell cycle through the STAT3 signaling pathway in HCC.

作者信息

Rao Zuqin, Li Heng, Yao Wenchao, Wang Qiang, Ma Biao, Xue Dongbo, Meng Xianzhi

机构信息

Department of General Surgery, The First Affiliated Hospital of Harbin Medical University, Harbin, China.

Key Laboratory of Hepatosplenic Surgery, Ministry of Education, The First Affiliated Hospital of Harbin Medical University, Harbin, China.

出版信息

Front Oncol. 2022 Jul 28;12:927468. doi: 10.3389/fonc.2022.927468. eCollection 2022.

Abstract

UNLABELLED

Decaprenyl diphosphate synthase subunit 1 (PDSS1) is closely related to a variety of human diseases, but its expression pattern and biological function in HCC have not been studied to date.

METHODS

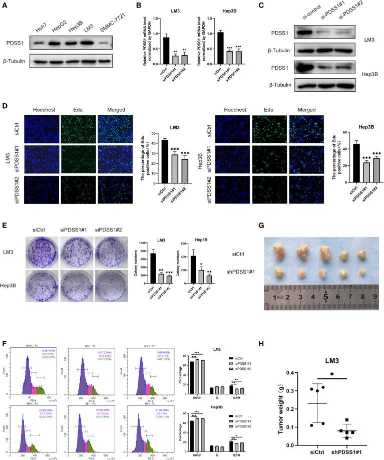
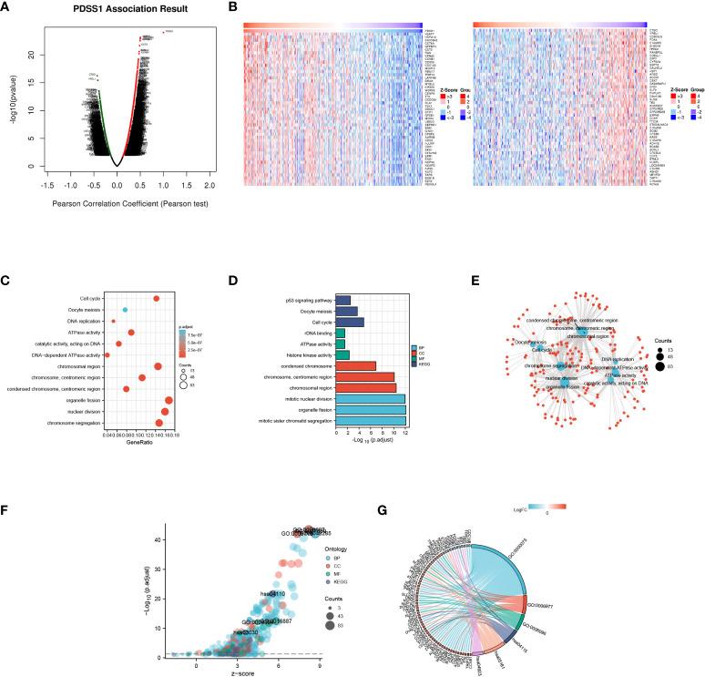
The expression level of PDSS1 was analyzed using the TCGA and GEO databases. The relationships between PDSS1 and patient clinicopathological characteristics were verified based on TCGA clinical data. Additionally, the co-expressed genes of PDSS1were investigated and Gene Set Enrichment Analysis (GSEA) was conducted using LinkedOmics. Next, the association between PDSS1 and immune infiltration was determined using version 1.34.0 of the GSVA package. EdU assay, colony-formation assay, transwell assay, wound-healing assay, and flow cytometry analysis were used to assess the effect of PDSS1 on the cell phenotype.

RESULTS

PDSS1 was upregulated in HCC compared with adjacent tissues. High PDSS1 in HCC was associated with poor overall survival, disease-specific survival, and progress-free interval. Results suggested that PDSS1 may activate multiple oncogenic pathways in HCC, especially those involved in the cell cycle. The expression of PDSS1 was significantly related to Th2 cells, TFH, T helper cells, NK CD56bright cells, cytotoxic cells, DC, CD8 T cells, and neutrophils. PDSS1 knockdown inhibited cell proliferation, cell cycle, migration and invasion. Furthermore, PDSS1 acted as an oncogene through the STAT3 signaling pathway.

CONCLUSION

Our study reveals that a high level of PDSS1 is significantly correlated with poor patient prognosis and immune cell infiltration in HCC. PDSS1 may be a novel biomarker and potential therapeutic target for HCC.

摘要

未标记

癸二烯基二磷酸合酶亚基1(PDSS1)与多种人类疾病密切相关,但迄今为止其在肝癌中的表达模式和生物学功能尚未得到研究。

方法

使用TCGA和GEO数据库分析PDSS1的表达水平。基于TCGA临床数据验证PDSS1与患者临床病理特征之间的关系。此外,研究了PDSS1的共表达基因,并使用LinkedOmics进行基因集富集分析(GSEA)。接下来,使用GSVA软件包1.34.0版本确定PDSS1与免疫浸润之间的关联。采用EdU检测、集落形成检测、Transwell检测、伤口愈合检测和流式细胞术分析来评估PDSS1对细胞表型的影响。

结果

与癌旁组织相比,肝癌中PDSS1表达上调。肝癌中高表达的PDSS1与总体生存率、疾病特异性生存率和无进展生存期差有关。结果表明,PDSS1可能激活肝癌中的多种致癌途径,尤其是那些参与细胞周期的途径。PDSS1的表达与Th2细胞、TFH、辅助性T细胞、NK CD56bright细胞、细胞毒性细胞、树突状细胞、CD8 T细胞和中性粒细胞显著相关。敲低PDSS1可抑制细胞增殖、细胞周期、迁移和侵袭。此外,PDSS1通过STAT3信号通路发挥癌基因作用。

结论

我们的研究表明,高水平的PDSS1与肝癌患者预后不良和免疫细胞浸润显著相关。PDSS1可能是肝癌的一种新型生物标志物和潜在治疗靶点。

https://cdn.ncbi.nlm.nih.gov/pmc/blobs/89eb/9368321/9df8380667d4/fonc-12-927468-g001.jpg

文献AI研究员

20分钟写一篇综述,助力文献阅读效率提升50倍。

立即体验

用中文搜PubMed

大模型驱动的PubMed中文搜索引擎

马上搜索

文档翻译

学术文献翻译模型,支持多种主流文档格式。

立即体验