Suppr超能文献

结节病患者并发诺卡菌引起胸壁脓肿1例罕见病例

A Rare Case of Chest Wall Abscess by Nocardia in a Patient With Sarcoidosis.

作者信息

Sana Mahreen, Mahmood Butt Faheem, Hasan Muhammad Imran Ul, Amir Adnan

机构信息

Pulmonology, Shaukat Khanum Memorial Cancer Hospital and Research Centre, Lahore, PAK.

出版信息

Cureus. 2022 Jul 12;14(7):e26769. doi: 10.7759/cureus.26769. eCollection 2022 Jul.

Abstract

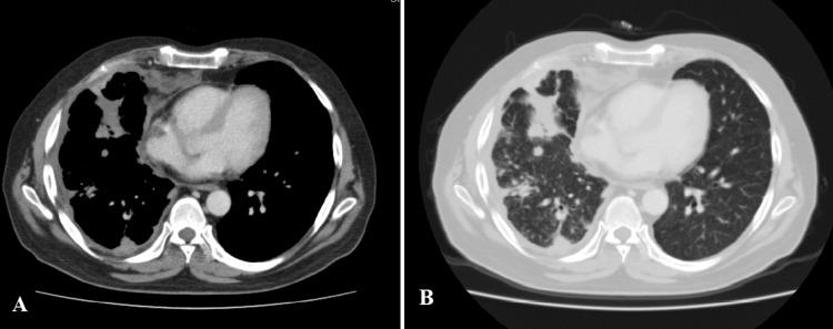
Nocardia is a rare gram-positive pathogen reported to cause infections in immunocompromised individuals. It usually involves the lungs but may also lead to abscess formation; cases of disseminated nocardiosis have also been reported. We are presenting a case of an Asian male who had sarcoidosis with pulmonary and skin involvement. The patient was on long-term immunosuppressive therapy with corticosteroids with good control of the disease. He developed a fever, weight loss, and right-sided chest pain. CT of the chest showed new nodular infiltrates. Worsening of sarcoidosis was suspected; the corticosteroid dose was increased and methotrexate was started. There was no favorable response to the increase in immunosuppressive therapy. Weight loss was followed by worsening shortness of breath and fluctuant swelling in the right lateral half of the chest. Bronchoalveolar lavage was done to rule out tuberculosis but it did not show any organism's growth. Ultrasound-guided needle aspiration from the abscess was done that showed growth of Nocardia species. Therapeutic dose co-trimoxazole (trimethoprim-sulphamethoxazole) was started as first-line therapy after confirming the organism's drug susceptibility pattern along with needle aspiration of the collection on the chest wall. Immunosuppressive agents were stopped. There was a good response to treatment with resolution of symptoms within two months. However, complete radiological recovery took 10 months. Co-trimoxazole (trimethoprim-sulphamethoxazole) therapy continued for two months after radiological recovery. Physicians, therefore, should keep Nocardia as an important differential diagnosis while treating the immunosuppressed population.

摘要

诺卡菌是一种罕见的革兰氏阳性病原体,据报道可在免疫功能低下的个体中引起感染。它通常累及肺部,但也可能导致脓肿形成;也有播散性诺卡菌病的病例报道。我们报告一例患有结节病且累及肺部和皮肤的亚洲男性病例。该患者长期接受糖皮质激素免疫抑制治疗,疾病控制良好。他出现发热、体重减轻和右侧胸痛。胸部CT显示有新的结节状浸润影。怀疑结节病病情恶化;增加了糖皮质激素剂量并开始使用甲氨蝶呤。免疫抑制治疗增加后未见好转。体重减轻后,呼吸急促加重,右侧胸部外侧出现波动性肿胀。进行支气管肺泡灌洗以排除结核病,但未发现任何微生物生长。对脓肿进行超声引导下针吸活检,结果显示诺卡菌生长。在确定微生物的药敏模式后,开始使用治疗剂量的复方新诺明(甲氧苄啶-磺胺甲恶唑)作为一线治疗,并对胸壁的积液进行针吸。停用免疫抑制剂。治疗反应良好,症状在两个月内缓解。然而,影像学完全恢复需要10个月。影像学恢复后,复方新诺明(甲氧苄啶-磺胺甲恶唑)治疗持续了两个月。因此,医生在治疗免疫抑制人群时应将诺卡菌作为重要的鉴别诊断。

https://cdn.ncbi.nlm.nih.gov/pmc/blobs/f440/9366025/8c70d879a467/cureus-0014-00000026769-i01.jpg

文献检索

告别复杂PubMed语法,用中文像聊天一样搜索,搜遍4000万医学文献。AI智能推荐,让科研检索更轻松。

立即免费搜索

文件翻译

保留排版,准确专业,支持PDF/Word/PPT等文件格式,支持 12+语言互译。

免费翻译文档

深度研究

AI帮你快速写综述,25分钟生成高质量综述,智能提取关键信息,辅助科研写作。

立即免费体验