Suppr超能文献

感染性心内膜炎伴继发性头痛:一例报告

Infective Endocarditis With Secondary Headache: A Case Report.

作者信息

Takizawa Keita, Ozasa Kana, Matsumoto Kunihito, Nakata Jumi, Noma Noboru

机构信息

Department of Oral Medicine, Nihon University School of Dentistry, Tokyo, JPN.

Division of Internal Medicine, Towa Hospital, Tokyo, JPN.

出版信息

Cureus. 2022 Jul 12;14(7):e26791. doi: 10.7759/cureus.26791. eCollection 2022 Jul.

Abstract

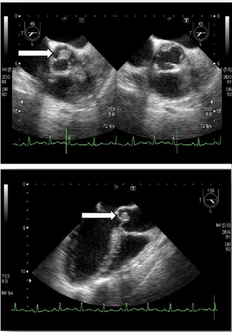
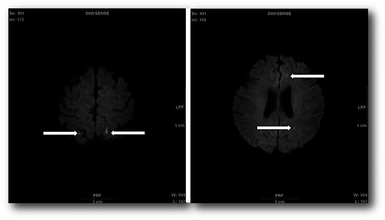
Secondary headache is a symptom of an underlying disease. Infective endocarditis (IE) is a serious infection of the heart tissue. Herein, we present a rare case of IE, with a secondary headache. The patient presented with persistent headache, fever of 39°C, myalgia, and painful erythema of the plantar surface of the foot. The headache progressively worsened over a few weeks. She was diagnosed with secondary headache, and sepsis was suspected. Blood culture revealed the presence of leading to a diagnosis of IE. Postoperatively, the patient recuperated without any complications. Headaches can be secondary to other conditions. Therefore, comprehensive assessment and accurate diagnosis are essential. Dentists must be aware that headache is a concomitant symptom of IE.

摘要

继发性头痛是潜在疾病的一种症状。感染性心内膜炎(IE)是心脏组织的一种严重感染。在此,我们报告一例罕见的伴有继发性头痛的感染性心内膜炎病例。患者表现为持续性头痛、39°C发热、肌痛以及足底疼痛性红斑。头痛在数周内逐渐加重。她被诊断为继发性头痛,并怀疑有败血症。血培养显示存在[此处原文缺失相关内容],从而确诊为感染性心内膜炎。术后,患者康复且无任何并发症。头痛可能继发于其他病症。因此,全面评估和准确诊断至关重要。牙医必须意识到头痛是感染性心内膜炎的伴随症状。

https://cdn.ncbi.nlm.nih.gov/pmc/blobs/9fd4/9366033/0794a445b9d8/cureus-0014-00000026791-i01.jpg

相似文献

1
Infective Endocarditis With Secondary Headache: A Case Report.
Cureus. 2022 Jul 12;14(7):e26791. doi: 10.7759/cureus.26791. eCollection 2022 Jul.
2
Group A streptococcus endocarditis in children: 2 cases and a review of the literature.
BMC Infect Dis. 2019 Jan 31;19(1):102. doi: 10.1186/s12879-019-3736-6.
3
Infective Endocarditis Presenting as Subarachnoid Hemorrhage: An Appeal for Caution.
Cureus. 2017 Apr 19;9(4):e1176. doi: 10.7759/cureus.1176.
4
Abiotrophia defectiva: A Rare but Critical Cause of Infective Endocarditis.
Cureus. 2019 Dec 28;11(12):e6492. doi: 10.7759/cureus.6492.
5
A Challenge of COVID-19: Associated Infective Endocarditis with in a Young Immunocompetent Patient.
Medicina (Kaunas). 2021 Nov 26;57(12):1298. doi: 10.3390/medicina57121298.
7
Rare case report of infective endocarditis due to in a patient with ventricular septal defect.
Access Microbiol. 2019 Nov 1;2(1):acmi000076. doi: 10.1099/acmi.0.000076. eCollection 2020.
8
Intravenous Thrombolysis in Acute Ischemic Stroke Patients with Unsuspected Infective Endocarditis.
J Stroke Cerebrovasc Dis. 2021 Mar;30(3):105502. doi: 10.1016/j.jstrokecerebrovasdis.2020.105502. Epub 2020 Dec 23.
10
Assessment of periodontitis and its role in viridans streptococcal bacteremia and infective endocarditis.
Indian Heart J. 2018 Mar-Apr;70(2):225-232. doi: 10.1016/j.ihj.2017.06.019. Epub 2017 Jul 1.

本文引用的文献

1
Peripherally Inserted Central Catheter Line Misuse Among People Who Inject Drugs While on Therapy for Infective Endocarditis.
Am J Med. 2022 Sep;135(9):e324-e336. doi: 10.1016/j.amjmed.2022.02.021. Epub 2022 Mar 16.
2
Diagnostic value of the modified Duke criteria in suspected infective endocarditis -The PRO-ENDOCARDITIS study.
Int J Infect Dis. 2021 Mar;104:556-561. doi: 10.1016/j.ijid.2021.01.046. Epub 2021 Jan 27.
3
JCS 2017 Guideline on Prevention and Treatment of Infective Endocarditis.
Circ J. 2019 Jul 25;83(8):1767-1809. doi: 10.1253/circj.CJ-19-0549. Epub 2019 Jul 5.
4
Safety of tooth extraction in patients receiving direct oral anticoagulant treatment versus warfarin: a prospective observation study.
Int J Oral Maxillofac Surg. 2019 Aug;48(8):1102-1108. doi: 10.1016/j.ijom.2019.01.013. Epub 2019 Feb 8.
5
Red and orange flags for secondary headaches in clinical practice: SNNOOP10 list.
Neurology. 2019 Jan 15;92(3):134-144. doi: 10.1212/WNL.0000000000006697. Epub 2018 Dec 26.
6
Current status of infectious endocarditis: New populations at risk, new diagnostic and therapeutic challenges.
Enferm Infecc Microbiol Clin (Engl Ed). 2018 Feb;36(2):69-71. doi: 10.1016/j.eimc.2017.11.020. Epub 2018 Jan 8.
7
The International Classification of Headache Disorders, 3rd edition (beta version).
Cephalalgia. 2013 Jul;33(9):629-808. doi: 10.1177/0333102413485658.
8
Infective endocarditis: the impact of the NICE guidelines for antibiotic prophylaxis.
Dent Update. 2012 Jan-Feb;39(1):6-10, 12. doi: 10.12968/denu.2012.39.1.6.
9
Giant cell arteritis: epidemiology, diagnosis, and management.
Curr Rheumatol Rep. 2010 Dec;12(6):436-42. doi: 10.1007/s11926-010-0135-9.

文献AI研究员

20分钟写一篇综述,助力文献阅读效率提升50倍。

立即体验

用中文搜PubMed

大模型驱动的PubMed中文搜索引擎

马上搜索

文档翻译

学术文献翻译模型,支持多种主流文档格式。

立即体验