Suppr超能文献

ORP5 和 ORP8 协调内质网-线粒体接触位点处的脂滴生物发生和维持。

ORP5 and ORP8 orchestrate lipid droplet biogenesis and maintenance at ER-mitochondria contact sites.

机构信息

Institute for Integrative Biology of the Cell (I2BC), CEA, CNRS, Université Paris-Saclay, Gif-sur-Yvette, France.

Inserm U1280, Gif-sur-Yvette, France.

出版信息

J Cell Biol. 2022 Sep 5;221(9). doi: 10.1083/jcb.202112107. Epub 2022 Aug 12.

Abstract

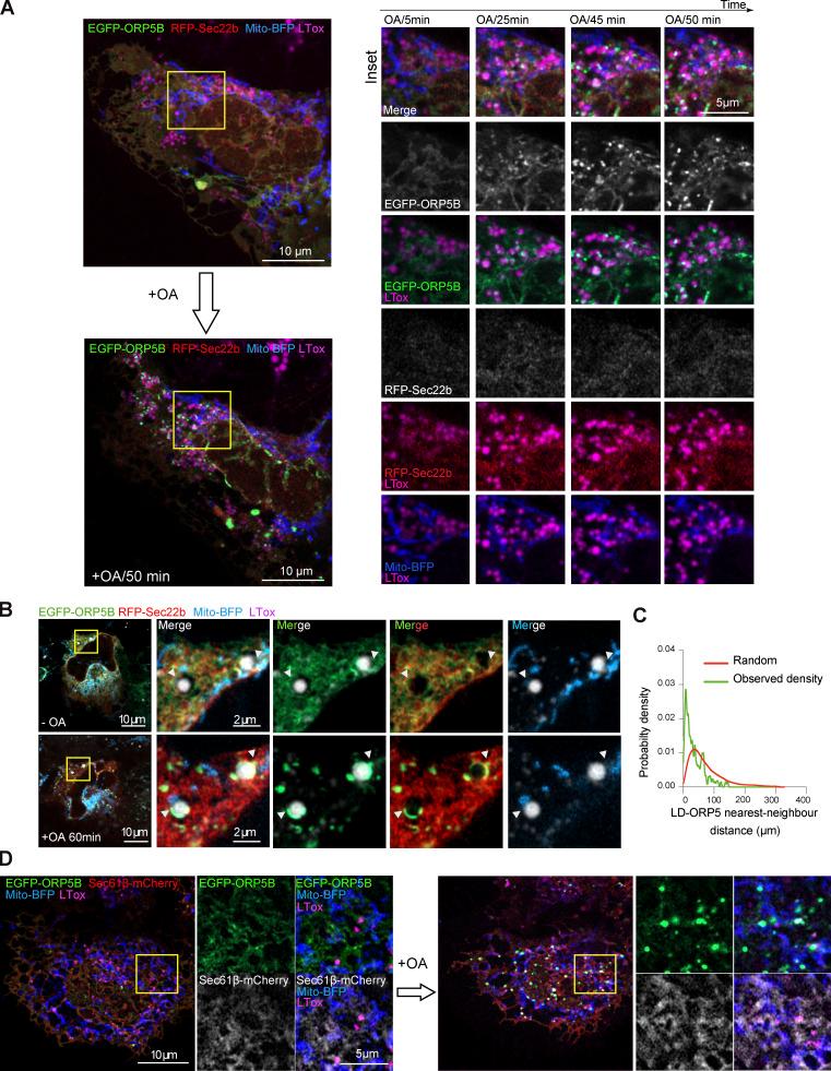
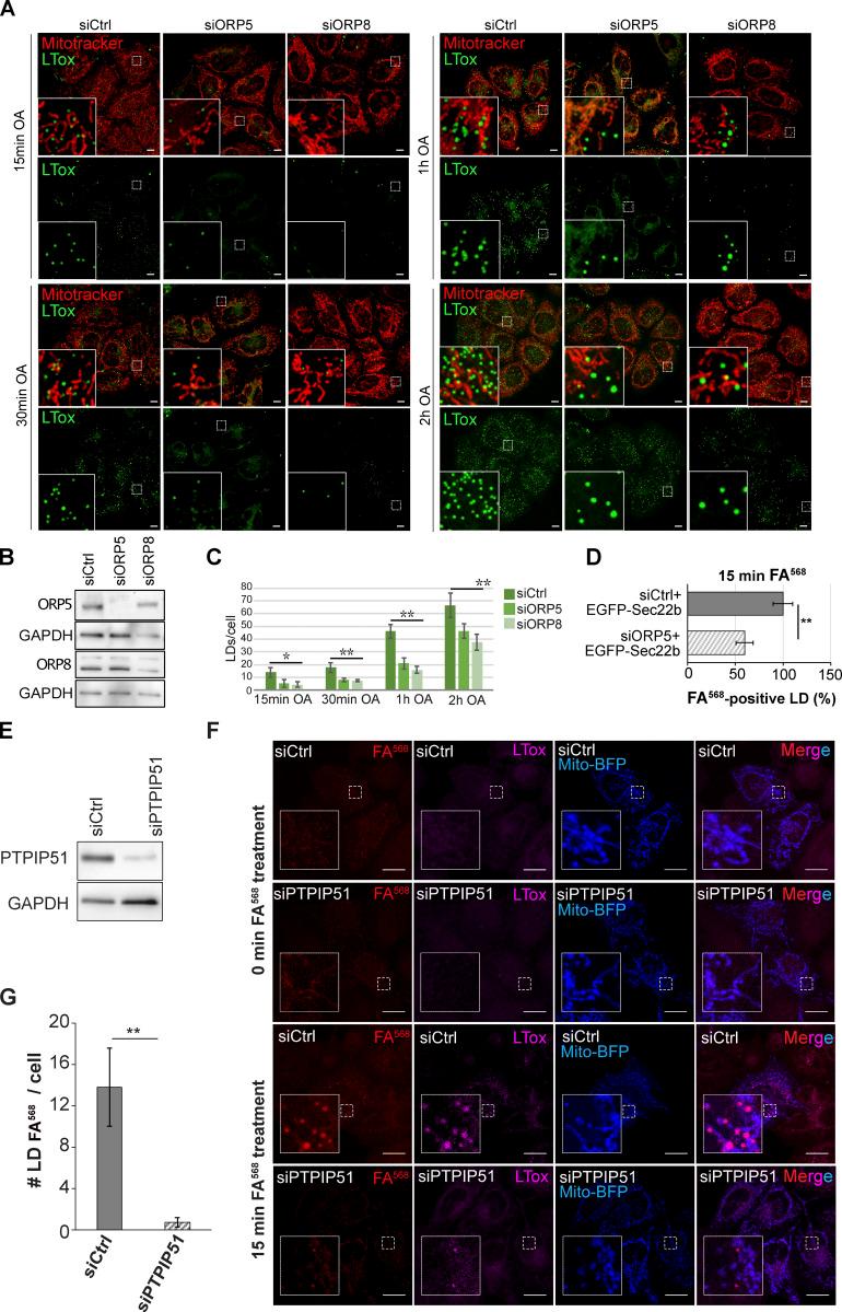
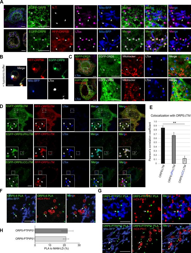
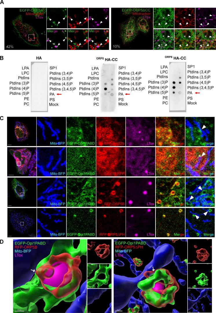
Lipid droplets (LDs) are the primary organelles of lipid storage, buffering energy fluctuations of the cell. They store neutral lipids in their core that is surrounded by a protein-decorated phospholipid monolayer. LDs arise from the endoplasmic reticulum (ER). The ER protein seipin, localizing at ER-LD junctions, controls LD nucleation and growth. However, how LD biogenesis is spatially and temporally coordinated remains elusive. Here, we show that the lipid transfer proteins ORP5 and ORP8 control LD biogenesis at mitochondria-associated ER membrane (MAM) subdomains, enriched in phosphatidic acid. We found that ORP5/8 regulates seipin recruitment to these MAM-LD contacts, and their loss impairs LD biogenesis. Importantly, the integrity of ER-mitochondria contact sites is crucial for ORP5/8 function in regulating seipin-mediated LD biogenesis. Our study uncovers an unprecedented ORP5/8 role in orchestrating LD biogenesis and maturation at MAMs and brings novel insights into the metabolic crosstalk between mitochondria, ER, and LDs at the membrane contact sites.

摘要

脂滴 (LDs) 是脂质储存的主要细胞器,缓冲细胞的能量波动。它们将中性脂质储存在由蛋白装饰的磷脂单层所包围的核心中。LDs 起源于内质网 (ER)。ER 蛋白 seipin 定位于 ER-LD 连接处,控制 LD 的成核和生长。然而,LD 生物发生如何在空间和时间上协调仍然难以捉摸。在这里,我们表明脂质转移蛋白 ORP5 和 ORP8 在富含磷酸脂酸的线粒体相关内质网膜 (MAM) 亚域控制 LD 的生物发生。我们发现 ORP5/8 调节 seipin 向这些 MAM-LD 接触的募集,并且它们的缺失会损害 LD 的生物发生。重要的是,ER-线粒体接触位点的完整性对于 ORP5/8 在调节 seipin 介导的 LD 生物发生中的功能至关重要。我们的研究揭示了 ORP5/8 在协调 MAMs 中 LD 生物发生和成熟方面的前所未有的作用,并为膜接触位点处线粒体、ER 和 LDs 之间的代谢串扰提供了新的见解。

https://cdn.ncbi.nlm.nih.gov/pmc/blobs/052e/9375143/ed8bb7fa6a2e/JCB_202112107_Fig1.jpg

文献检索

告别复杂PubMed语法,用中文像聊天一样搜索,搜遍4000万医学文献。AI智能推荐,让科研检索更轻松。

立即免费搜索

文件翻译

保留排版,准确专业,支持PDF/Word/PPT等文件格式,支持 12+语言互译。

免费翻译文档

深度研究

AI帮你快速写综述,25分钟生成高质量综述,智能提取关键信息,辅助科研写作。

立即免费体验