• 文献检索
  • 文档翻译
  • 深度研究
  • 学术资讯
  • Suppr Zotero 插件Zotero 插件
  • 邀请有礼
  • 套餐&价格
  • 历史记录
应用&插件
Suppr Zotero 插件Zotero 插件浏览器插件Mac 客户端Windows 客户端微信小程序
定价
高级版会员购买积分包购买API积分包
服务
文献检索文档翻译深度研究API 文档MCP 服务
关于我们
关于 Suppr公司介绍联系我们用户协议隐私条款
关注我们

Suppr 超能文献

核心技术专利:CN118964589B侵权必究
粤ICP备2023148730 号-1Suppr @ 2026

文献检索

告别复杂PubMed语法,用中文像聊天一样搜索,搜遍4000万医学文献。AI智能推荐,让科研检索更轻松。

立即免费搜索

文件翻译

保留排版,准确专业,支持PDF/Word/PPT等文件格式,支持 12+语言互译。

免费翻译文档

深度研究

AI帮你快速写综述,25分钟生成高质量综述,智能提取关键信息,辅助科研写作。

立即免费体验

胡桃夹综合征导致静脉淤血引起的脊髓硬膜外血肿

Spinal Epidural Hematoma Due to Venous Congestion Caused by Nutcracker Syndrome.

作者信息

Mishima Hiroyuki, Ayabe Junichi, Takadera Mutsumi, Tsuchiya Yusuke, Kawasaki Taisuke, Okano Masayuki, Isoda Masanori, Tanaka Yoshihide

机构信息

Department of Neurosurgery, Yokosukakyosai Hospital, Yokosuka, Kanagawa, Japan.

出版信息

NMC Case Rep J. 2022 Jul 8;9:209-212. doi: 10.2176/jns-nmc.2022-0066. eCollection 2022.

DOI:10.2176/jns-nmc.2022-0066
PMID:35974955
原文链接:https://pmc.ncbi.nlm.nih.gov/articles/PMC9339261/
Abstract

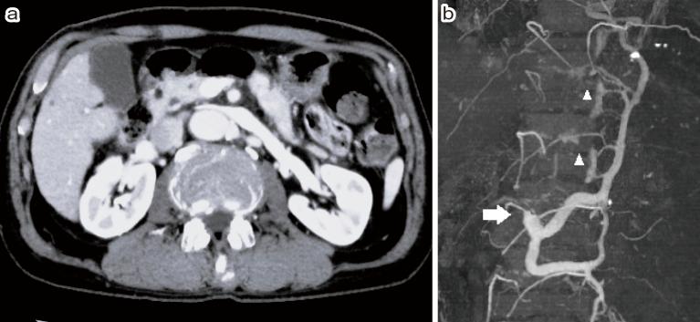
The causes of spinal epidural hematoma (SEH) have been attributed to coagulopathy, trauma, vascular anomalies, and so forth. The incidence of vascular anomalies shown by digital subtraction angiography has been reported to be 15%, and most cases have been reported to be spinal epidural arteriovenous fistulae. SEH has rarely been caused by venous congestion. We report a case of SEH in a 78-year-old male who presented to our emergency department with sudden-onset back pain, followed by complete paraplegia with bladder and rectal disturbance. Magnetic resonance imaging revealed a dorsally placed extradural hematoma extending from T10 to L1. An urgent laminectomy from T11 to L2 was performed. Computed tomography angiography (CTA) performed 1 week after the operation showed compression of the left renal vein between the aorta and superior mesenteric artery with dilation of the surrounding veins, including the spinal epidural venous plexus, at the same level as the hematoma. This was diagnosed as Nutcracker syndrome (NCS), which was consistent as a cause of SEH. The patient's symptoms gradually improved, and after 6 months, he regained normal strength in his lower extremities, but bladder and rectal disturbance remained and required intermittent self-catheterization. We chose conservative treatment for NCS, and SEH did not recur until the patient died of a cause unrelated to SEH or NCS. SEH could occur secondary to venous congestion including NCS. We emphasize the importance of investigating venous return to evaluate the etiology of SEH, which can be clearly visualized using CTA.

摘要

脊髓硬膜外血肿(SEH)的病因归因于凝血功能障碍、外伤、血管畸形等。数字减影血管造影显示的血管畸形发生率据报道为15%,且大多数病例据报道为脊髓硬膜外动静脉瘘。SEH很少由静脉淤血引起。我们报告一例78岁男性的SEH病例,该患者因突发背痛就诊于我院急诊科,随后出现完全性截瘫并伴有膀胱和直肠功能障碍。磁共振成像显示硬膜外血肿位于背部,从T10延伸至L1。紧急实施了T11至L2的椎板切除术。术后1周进行的计算机断层血管造影(CTA)显示,在与血肿同一水平,腹主动脉和肠系膜上动脉之间的左肾静脉受压,周围静脉包括脊髓硬膜外静脉丛扩张。这被诊断为胡桃夹综合征(NCS),与SEH的病因相符。患者症状逐渐改善,6个月后下肢恢复正常力量,但膀胱和直肠功能障碍仍然存在,需要间歇性自我导尿。我们对NCS选择了保守治疗,在患者死于与SEH或NCS无关的原因之前,SEH未复发。SEH可能继发于包括NCS在内的静脉淤血。我们强调调查静脉回流以评估SEH病因的重要性,使用CTA可以清晰地观察到静脉回流情况。

https://cdn.ncbi.nlm.nih.gov/pmc/blobs/a8d4/9339261/40605b5af19b/2188-4226-9-0209-g002.jpg
https://cdn.ncbi.nlm.nih.gov/pmc/blobs/a8d4/9339261/9ed3ff8ac9fa/2188-4226-9-0209-g001.jpg
https://cdn.ncbi.nlm.nih.gov/pmc/blobs/a8d4/9339261/40605b5af19b/2188-4226-9-0209-g002.jpg
https://cdn.ncbi.nlm.nih.gov/pmc/blobs/a8d4/9339261/9ed3ff8ac9fa/2188-4226-9-0209-g001.jpg
https://cdn.ncbi.nlm.nih.gov/pmc/blobs/a8d4/9339261/40605b5af19b/2188-4226-9-0209-g002.jpg

相似文献

1
Spinal Epidural Hematoma Due to Venous Congestion Caused by Nutcracker Syndrome.胡桃夹综合征导致静脉淤血引起的脊髓硬膜外血肿
NMC Case Rep J. 2022 Jul 8;9:209-212. doi: 10.2176/jns-nmc.2022-0066. eCollection 2022.
2
Nutcracker phenomenon with a daily persistent headache as the primary symptom: Case series and a proposed pathogenesis model based on a novel MRI technique to evaluate for spinal epidural venous congestion.以持续性每日头痛为主要症状的胡桃夹现象:病例系列及基于新型 MRI 技术评估脊髓硬膜外静脉充血的发病机制模型的提出。
J Neurol Sci. 2022 Mar 15;434:120170. doi: 10.1016/j.jns.2022.120170. Epub 2022 Jan 26.
3
A Possible Newly Defined and Treatable Secondary Cause of Early Morning Wake-Up Headaches in an Older Hypermobile Woman: Nutcracker Physiology with Spinal Epidural Venous Congestion.一位老年关节过度活动女性清晨醒来头痛可能新定义且可治疗的继发原因:伴有脊髓硬膜外静脉充血的胡桃夹生理现象
Case Rep Neurol. 2024 Feb 7;16(1):71-78. doi: 10.1159/000537705. eCollection 2024 Jan-Dec.
4
A case of nontraumatic spinal epidural hematoma caused by extradural varix: consideration of etiology.1例由硬膜外静脉曲张引起的非创伤性脊髓硬膜外血肿:病因探讨
Spine J. 2003 Nov-Dec;3(6):534-8. doi: 10.1016/s1529-9430(03)00153-0.
5
Spinal epidural hematoma after stretch exercise: a case report.伸展运动后发生的脊髓硬膜外血肿:一例报告
Am J Emerg Med. 2009 Sep;27(7):902.e1-2. doi: 10.1016/j.ajem.2008.11.011.
6
Spontaneous rupture of the ovarian vein in association with nutcracker syndrome: a case report.卵巢静脉自发性破裂并胡桃夹综合征:一例报告。
J Med Case Rep. 2021 Dec 18;15(1):602. doi: 10.1186/s13256-021-03192-8.
7
[A case of acute cervical spinal epidural hematoma caused by extradural arterio-venous malformation].[一例由硬膜外动静脉畸形引起的急性颈段脊髓硬膜外血肿]
No Shinkei Geka. 1994 Sep;22(9):845-9.
8
Spontaneous Spinal Epidural Hematoma After Normal Spontaneous Delivery with Epidural Analgesia: Case Report and Literature Review.椎管内硬膜外血肿自发性分娩后行硬膜外镇痛:病例报告及文献复习。
World Neurosurg. 2020 May;137:214-217. doi: 10.1016/j.wneu.2020.01.240. Epub 2020 Feb 10.
9
Spontaneous cervical epidural hematoma presenting as quadriparesis: A case report in compliance with the SCARE guidelines.表现为四肢瘫的自发性颈段硬膜外血肿:一份符合SCARE指南的病例报告
Ann Med Surg (Lond). 2022 Jul 14;80:104133. doi: 10.1016/j.amsu.2022.104133. eCollection 2022 Aug.
10
Spinal epidural hematoma after spinal manipulation therapy: Report of three cases and a literature review.脊柱推拿治疗后脊柱硬膜外血肿:三例报告及文献复习
World J Clin Cases. 2021 Aug 6;9(22):6501-6509. doi: 10.12998/wjcc.v9.i22.6501.

引用本文的文献

1
The Incidence and Variants of the Reno-Hemiazygos Connection.肾半奇静脉连接的发生率及变异
Diagnostics (Basel). 2025 Feb 11;15(4):441. doi: 10.3390/diagnostics15040441.

本文引用的文献

1
Spontaneous Spinal Epidural Hematoma: A Study of 55 Cases Focused on the Etiology and Treatment Strategy.自发性脊髓硬膜外血肿:一项针对55例病例的病因及治疗策略研究
World Neurosurg. 2017 Feb;98:546-554. doi: 10.1016/j.wneu.2016.11.077. Epub 2016 Nov 25.
2
Body Mass Index: Obesity, BMI, and Health: A Critical Review.体重指数:肥胖、BMI与健康:一项批判性综述。
Nutr Today. 2015 May;50(3):117-128. doi: 10.1097/NT.0000000000000092. Epub 2015 Apr 7.
3
Venous compression syndromes: clinical features, imaging findings and management.静脉压迫综合征:临床特征、影像学表现及治疗。
Br J Radiol. 2013 Oct;86(1030):20130284. doi: 10.1259/bjr.20130284. Epub 2013 Aug 1.
4
Evaluation of left renal vein entrapment using multidetector computed tomography.使用多排螺旋计算机断层扫描评估左肾静脉受压情况。
Acta Radiol. 2013 Mar 1;54(2):144-8. doi: 10.1258/ar.2012.120355. Epub 2012 Nov 1.
5
Spinal epidural hematoma: not always an obvious diagnosis.脊髓硬膜外血肿:并非总是明显的诊断。
Eur J Emerg Med. 2012 Feb;19(1):2-8. doi: 10.1097/MEJ.0b013e328346bfae.
6
Cervical spontaneous spinal epidural hematoma with internal jugular vein thrombosis.颈椎自发性硬脊膜外血肿合并颈内静脉血栓形成。
J Neurosurg Spine. 2011 Aug;15(2):187-9. doi: 10.3171/2011.3.SPINE10673. Epub 2011 Apr 22.
7
Spontaneous cervical epidural hematoma. A consideration of etiology.自发性颈段硬膜外血肿。病因探讨。
J Neurosurg. 1984 Jul;61(1):143-8. doi: 10.3171/jns.1984.61.1.0143.
8
The spontaneous spinal epidural hematoma. A study of the etiology.自发性脊髓硬膜外血肿。病因学研究。
J Neurol Sci. 1990 Sep;98(2-3):121-38. doi: 10.1016/0022-510x(90)90253-j.