Suppr超能文献

病例报告:一名高危神经母细胞瘤患者因隧道式中心静脉导管晚期移位继发双侧胸腔积液。

Case report: Bilateral pleural effusion secondary to late migration of a tunneled central venous catheter in a patient affected by high risk neuroblastoma.

作者信息

D'Angelo Tommaso Domenico, Persano Giorgio, Crocoli Alessandro, Martucci Cristina, Parapatt George Koshy, Natali Gian Luigi, Inserra Alessandro

机构信息

Surgical Oncology - General and Thoracic Surgery Unit, Department of Surgery, Bambino Gesù Children's Hospital Istituto di Ricerca e Cura a Carattere Scientifico (IRCCS), Rome, Italy.

Radiology Unit, Department of Diagnostic Imaging, Bambino Gesù Children's Hospital Istituto di Ricerca e Cura a Carattere Scientifico (IRCCS), Rome, Italy.

出版信息

Front Pediatr. 2022 Aug 4;10:947351. doi: 10.3389/fped.2022.947351. eCollection 2022.

Abstract

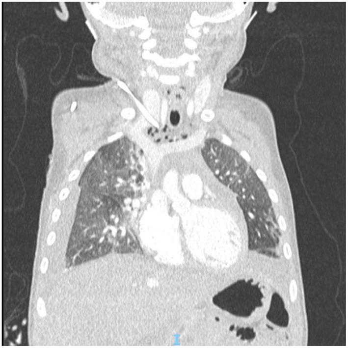
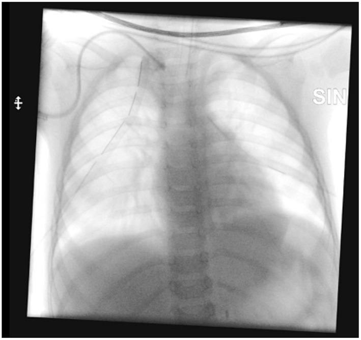
The insertion of long-term central venous catheters is a standard of care for children affected by malignancies, although it can be associated with life-threatening complications. The present paper reports an unusual mechanical complication related to the use of a long term tunneled central venous catheter in a pediatric oncologic patient. An 18 months old child, diagnosed with stage M high-risk retroperitoneal neuroblastoma, underwent ultrasound-guided placement of a 6 Fr bilumen long-term tunneled central venous catheter in the right internal jugular vein prior to the beginning of induction chemotherapy. The correct position of the distal tip of the catheter was confirmed by fluoroscopy. After 4 months of regular use of the device, the patient experienced neck swelling during high-dose chemotherapy infusion. A chest x-ray showed a dislocated catheter and bilateral pleural effusion. CT scan demonstrated the tip of the catheter rupturing the medial wall of the right jugular vein and entering the mediastinum; furthermore, pneumomediastinum, subcutaneous neck emphysema and bilateral pleural effusion were noticed and a thrombus was evident in the right jugular vein at the insertion in the brachiocephalic vein. The patient was then transferred to the Intensive Care Unit and bilateral thoracostomy tubes were placed urgently (500 mL of clear fluid were evacuated from pleural spaces). The dislocated catheter was removed electively on the following day under fluoroscopy. Despite ultrasound-guided placement and long-term uneventful use of the catheter, life-threatening central venous catheter-related mechanical complications can occur; the current case report emphasizes the importance of careful monitoring of patients with central venous catheters in order to quickly diagnose and treat potentially lethal complications.

摘要

长期中心静脉导管的插入是治疗恶性肿瘤患儿的一项标准护理措施,尽管它可能会伴有危及生命的并发症。本文报告了一例与儿科肿瘤患者使用长期隧道式中心静脉导管相关的罕见机械并发症。一名18个月大的儿童,被诊断为M期高危腹膜后神经母细胞瘤,在诱导化疗开始前,于右侧颈内静脉接受了超声引导下的6F双腔长期隧道式中心静脉导管置入。通过荧光透视确认了导管远端的正确位置。在该装置正常使用4个月后,患者在高剂量化疗输液期间出现颈部肿胀。胸部X光显示导管移位及双侧胸腔积液。CT扫描显示导管尖端穿破右侧颈静脉内侧壁并进入纵隔;此外,还发现了纵隔气肿、颈部皮下气肿和双侧胸腔积液,且在头臂静脉插入处的右侧颈静脉中有明显血栓。随后患者被转入重症监护病房,并紧急放置了双侧胸腔闭式引流管(从胸腔抽出500毫升清亮液体)。次日在荧光透视下选择性地取出了移位的导管。尽管导管是在超声引导下置入且长期使用无异常情况,但仍可能发生危及生命的与中心静脉导管相关的机械并发症;本病例报告强调了对中心静脉导管患者进行仔细监测以快速诊断和治疗潜在致命并发症的重要性。

https://cdn.ncbi.nlm.nih.gov/pmc/blobs/4ced/9386129/e78b444e66c4/fped-10-947351-g0001.jpg

文献检索

告别复杂PubMed语法,用中文像聊天一样搜索,搜遍4000万医学文献。AI智能推荐,让科研检索更轻松。

立即免费搜索

文件翻译

保留排版,准确专业,支持PDF/Word/PPT等文件格式,支持 12+语言互译。

免费翻译文档

深度研究

AI帮你快速写综述,25分钟生成高质量综述,智能提取关键信息,辅助科研写作。

立即免费体验