• 文献检索
  • 文档翻译
  • 深度研究
  • 学术资讯
  • Suppr Zotero 插件Zotero 插件
  • 邀请有礼
  • 套餐&价格
  • 历史记录
应用&插件
Suppr Zotero 插件Zotero 插件浏览器插件Mac 客户端Windows 客户端微信小程序
定价
高级版会员购买积分包购买API积分包
服务
文献检索文档翻译深度研究API 文档MCP 服务
关于我们
关于 Suppr公司介绍联系我们用户协议隐私条款
关注我们

Suppr 超能文献

核心技术专利:CN118964589B侵权必究
粤ICP备2023148730 号-1Suppr @ 2026

文献检索

告别复杂PubMed语法,用中文像聊天一样搜索,搜遍4000万医学文献。AI智能推荐,让科研检索更轻松。

立即免费搜索

文件翻译

保留排版,准确专业,支持PDF/Word/PPT等文件格式,支持 12+语言互译。

免费翻译文档

深度研究

AI帮你快速写综述,25分钟生成高质量综述,智能提取关键信息,辅助科研写作。

立即免费体验

一名前纵隔肿块患者心包穿刺术后心脏压塞加重:病例报告

Worsening cardiac tamponade after pericardiocentesis in a patient with anterior mediastinum mass: a case report.

作者信息

Adi Osman, Fong Chan Pei, Ahmad Azma Haryaty, Panebianco Nova

机构信息

Department, Hospital Raja Permaisuri Bainun, Ipoh, PRK, Malaysia.

Department of Emergency Medicine, Hospital of the University of Pennsylvania, Philadelphia, PA, USA.

出版信息

Eur Heart J Case Rep. 2022 Aug 5;6(8):ytac329. doi: 10.1093/ehjcr/ytac329. eCollection 2022 Aug.

DOI:10.1093/ehjcr/ytac329
PMID:36004046
原文链接:https://pmc.ncbi.nlm.nih.gov/articles/PMC9395134/
Abstract

BACKGROUND

Mediastinal mass is an entity with variable pathology and clinical spectrum. Anterior mediastinal mass can result in severe symptoms due to involvement of surrounding vital structures such as the great vessels, trachea-bronchial tree, and heart. We highlight a case of cardiac tamponade in a patient with an anterior mediastinal mass that was paradoxically worsened after decompressive pericardiocentesis.

CASE SUMMARY

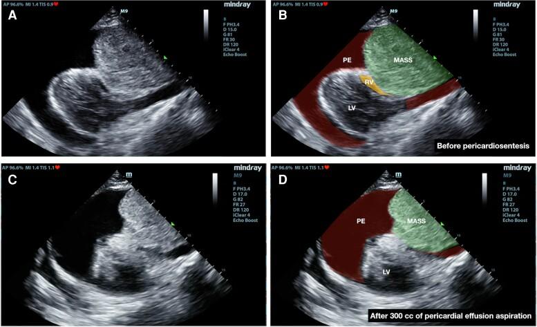
A 21-year-old male presented to the emergency department (ED) with breathlessness and hypotension. Bedside focused cardiac ultrasound revealed cardiac tamponade which was made worse with an anterior mediastinal mass compressing the right heart chambers. The patient was intubated for respiratory failure, following which an ultrasound-guided pericardiocentesis was performed. Unexpectedly, his hemodynamic status worsened after aspiration of 1000 mL of pericardial fluid. A repeat focused cardiac ultrasound showed reduced pericardial effusion, but worsening of right heart chambers compression by the mediastinal mass. Re-expansion of the pericardium space with 600 mL of normal saline improved the patient's vital signs, and reduced the right heart compression. Computed tomography was deferred due to the patient's hemodynamic instability. Despite resuscitation with fluids and initiation of vasopressor, the patient's condition deteriorated. He succumbed to his illness due to obstructive shock causing multi-organ failure. The autopsy showed a large anterior mediastinal mass, and histopathological examination confirmed the diagnosis of lymphoma.

DISCUSSION

This case demonstrated the therapeutic challenges of managing a shock patient with anterior mediastinal mass, and massive pericardial effusion causing cardiac tamponade.

摘要

背景

纵隔肿物是一种病理和临床谱各异的疾病。前纵隔肿物可因累及周围重要结构,如大血管、气管支气管树和心脏,而导致严重症状。我们着重介绍一例前纵隔肿物患者发生心脏压塞的病例,该患者在进行减压心包穿刺术后病情反而恶化。

病例摘要

一名21岁男性因呼吸困难和低血压被送往急诊科。床旁心脏超声检查显示存在心脏压塞,且前纵隔肿物压迫右心腔使病情加重。患者因呼吸衰竭行气管插管,随后进行了超声引导下的心包穿刺术。出乎意料的是,抽出1000毫升心包积液后,他的血流动力学状态恶化。再次进行的床旁心脏超声检查显示心包积液减少,但纵隔肿物对右心腔的压迫加重。注入600毫升生理盐水使心包腔重新扩张,改善了患者的生命体征,并减轻了对右心的压迫。由于患者血流动力学不稳定,计算机断层扫描检查被推迟。尽管进行了液体复苏并开始使用血管升压药,但患者的病情仍恶化。他因梗阻性休克导致多器官衰竭而死亡。尸检发现一个巨大的前纵隔肿物,组织病理学检查确诊为淋巴瘤。

讨论

本病例展示了治疗伴有前纵隔肿物和大量心包积液导致心脏压塞的休克患者所面临的挑战。

https://cdn.ncbi.nlm.nih.gov/pmc/blobs/b276/9395134/360472175ec0/ytac329f2.jpg
https://cdn.ncbi.nlm.nih.gov/pmc/blobs/b276/9395134/e2a84bcffff8/ytac329f3.jpg
https://cdn.ncbi.nlm.nih.gov/pmc/blobs/b276/9395134/d8c0cb4fe138/ytac329f1.jpg
https://cdn.ncbi.nlm.nih.gov/pmc/blobs/b276/9395134/360472175ec0/ytac329f2.jpg
https://cdn.ncbi.nlm.nih.gov/pmc/blobs/b276/9395134/e2a84bcffff8/ytac329f3.jpg
https://cdn.ncbi.nlm.nih.gov/pmc/blobs/b276/9395134/d8c0cb4fe138/ytac329f1.jpg
https://cdn.ncbi.nlm.nih.gov/pmc/blobs/b276/9395134/360472175ec0/ytac329f2.jpg

相似文献

1
Worsening cardiac tamponade after pericardiocentesis in a patient with anterior mediastinum mass: a case report.一名前纵隔肿块患者心包穿刺术后心脏压塞加重:病例报告
Eur Heart J Case Rep. 2022 Aug 5;6(8):ytac329. doi: 10.1093/ehjcr/ytac329. eCollection 2022 Aug.
2
Mediastinal effusion due to pericardiocentesis with cardiac tamponade: a case report.心包穿刺导致的心包积液压迫:病例报告。
BMC Anesthesiol. 2021 Jun 16;21(1):172. doi: 10.1186/s12871-021-01385-8.
3
A case report on ultrasound-guided pericardiocentesis with a right parasternal approach: a novel in-plane lateral-to-medial technique.一例经右胸骨旁入路超声引导心包穿刺术的病例报告:一种新型的平面内从外侧到内侧的技术。
Int J Emerg Med. 2024 Feb 1;17(1):15. doi: 10.1186/s12245-024-00592-7.
4
A case of cardiac tamponade with a "small" pericardial effusion and superior vena cava syndrome.一例伴有“少量”心包积液和上腔静脉综合征的心包填塞病例。
J Pediatr Intensive Care. 2013 Jun;2(2):71-75. doi: 10.3233/PIC-13052.
5
Cardiac Tamponade in Down's Syndrome Associated With Hypothyroidism: An Uncommon Presentation.唐氏综合征合并甲状腺功能减退症患者的心脏压塞:一种罕见的表现。
Cureus. 2024 Apr 25;16(4):e59023. doi: 10.7759/cureus.59023. eCollection 2024 Apr.
6
A novel in-plane technique ultrasound-guided pericardiocentesis via subcostal approach.一种新型的平面内技术——经肋下途径超声引导心包穿刺术。
Ultrasound J. 2022 May 21;14(1):20. doi: 10.1186/s13089-022-00271-9.
7
Pericardial tamponade: A comprehensive emergency medicine and echocardiography review.心包填塞:综合急救医学与超声心动图复习
Am J Emerg Med. 2022 Aug;58:159-174. doi: 10.1016/j.ajem.2022.05.001. Epub 2022 May 6.
8
Massive pericardial effusion causing cardiac tamponade accompanied by elevated CA-125 and thoracic lymphadenopathy in sarcoidosis: a case report.结节病中大量心包积液导致心脏压塞并伴有CA-125升高及纵隔淋巴结肿大:一例报告
Int J Surg Case Rep. 2020;72:355-360. doi: 10.1016/j.ijscr.2020.06.037. Epub 2020 Jun 13.
9
Pericardial thrombus and cardiac tamponade after pericardiocentesis with intact heart walls.心包穿刺术后心包血栓形成及心脏压塞,心脏壁完整
Echocardiography. 2019 Apr;36(4):803-805. doi: 10.1111/echo.14276. Epub 2019 Feb 6.
10
A Rare Occurrence of Chylopericardium in a Case of Anterior Mediastinal Mass.前纵隔肿物病例中罕见的乳糜性心包积液
Cureus. 2024 Jun 12;16(6):e62214. doi: 10.7759/cureus.62214. eCollection 2024 Jun.

引用本文的文献

1
Anterior Mediastinal Mass and Pericardial Effusion With Right Ventricular Outflow Tract Obstruction Secondary to Dual Compression.前纵隔肿块及心包积液伴右心室流出道梗阻继发于双重压迫。
JACC Case Rep. 2025 Aug 20;30(24):104405. doi: 10.1016/j.jaccas.2025.104405. Epub 2025 Jun 21.
2
Case Report: A crushing sensation-a rare case of mediastinal germ cell tumor causing cardiac tamponade.病例报告:一种压迫感——纵隔生殖细胞肿瘤导致心脏压塞的罕见病例。
Front Cardiovasc Med. 2025 Jan 20;11:1539900. doi: 10.3389/fcvm.2024.1539900. eCollection 2024.
3
Iatrogenic Causes of Cardiac Tamponade Resulting From Surgical Procedures: An Overview.

本文引用的文献

1
Pericardial tamponade: A comprehensive emergency medicine and echocardiography review.心包填塞:综合急救医学与超声心动图复习
Am J Emerg Med. 2022 Aug;58:159-174. doi: 10.1016/j.ajem.2022.05.001. Epub 2022 May 6.
2
Pericardial decompression syndrome: A complication of pericardiocentesis.心包减压综合征:心包穿刺术的一种并发症。
Am J Emerg Med. 2021 Jul;45:688.e3-688.e7. doi: 10.1016/j.ajem.2021.01.022. Epub 2021 Jan 16.
3
Mediastinal debulking for a T-cell leukaemia/lymphoma presenting with cardiac tamponade.
手术所致医源性心脏压塞的原因概述
Cureus. 2023 Jan 14;15(1):e33773. doi: 10.7759/cureus.33773. eCollection 2023 Jan.
Monaldi Arch Chest Dis. 2019 May 20;89(2). doi: 10.4081/monaldi.2019.1072.
4
Mediastinal lesions across the age spectrum: a clinicopathological comparison between pediatric and adult patients.全年龄段的纵隔病变:儿童与成人患者的临床病理比较
Oncotarget. 2017 Apr 18;8(35):59845-59853. doi: 10.18632/oncotarget.17201. eCollection 2017 Aug 29.
5
ITMIG Classification of Mediastinal Compartments and Multidisciplinary Approach to Mediastinal Masses.纵隔分区的国际胸腺恶性肿瘤兴趣小组(ITMIG)分类及纵隔肿物的多学科诊疗方法
Radiographics. 2017 Mar-Apr;37(2):413-436. doi: 10.1148/rg.2017160095. Epub 2017 Jan 27.
6
Management of large mediastinal masses: surgical and anesthesiological considerations.巨大纵隔肿物的管理:外科及麻醉学考量
J Thorac Dis. 2016 Mar;8(3):E175-84. doi: 10.21037/jtd.2016.02.55.
7
Complications of pericardiocentesis: A clinical synopsis.心包穿刺术的并发症:临床概述
Int J Crit Illn Inj Sci. 2015 Jul-Sep;5(3):206-12. doi: 10.4103/2229-5151.165007.
8
A Young Man with a Mediastinal Mass and Sudden Cardiac Arrest.一名患有纵隔肿物并突发心脏骤停的年轻男子。
Ann Am Thorac Soc. 2015 Aug;12(8):1235-9. doi: 10.1513/AnnalsATS.201504-212CC.
9
Accuracy of early rapid ultrasound in shock (RUSH) examination performed by emergency physician for diagnosis of shock etiology in critically ill patients.急诊医师进行的早期快速超声心动图(RUSH)检查在危重症患者休克病因诊断中的准确性。
J Emerg Trauma Shock. 2015 Jan-Mar;8(1):5-10. doi: 10.4103/0974-2700.145406.
10
The jugular venous pressure revisited.颈静脉压再探。
Cleve Clin J Med. 2013 Oct;80(10):638-44. doi: 10.3949/ccjm.80a.13039.