Suppr超能文献

强迫症患者中,额叶-纹状体网络内的功能连接可区分检查者和洗涤者。

Functional Connectivity within the Frontal-Striatal Network Differentiates Checkers from Washers of Obsessive-Compulsive Disorder.

作者信息

Yu Jianping, Xie Minyao, Song Shasha, Zhou Ping, Yuan Fangzheng, Ouyang Mengyuan, Wang Chun, Liu Na, Zhang Ning

机构信息

The Affiliated Brain Hospital of Nanjing Medical University, 264 Guangzhou Road, Nanjing 210029, China.

Department of Medical Psychology, The Affiliated Brain Hospital of Nanjing Medical University, 264 Guangzhou Road, Nanjing 210029, China.

出版信息

Brain Sci. 2022 Jul 28;12(8):998. doi: 10.3390/brainsci12080998.

Abstract

BACKGROUND

Obsessive-compulsive disorder (OCD) is a psychiatric disorder with high clinical heterogeneity manifested by the presence of obsessions and/or compulsions. The classification of the symptom dimensional subtypes is helpful for further exploration of the pathophysiological mechanisms underlying the clinical heterogeneity of OCD. Washing and checking symptoms are the two major symptom subtypes in OCD, but the neural mechanisms of the different types of symptoms are not yet clearly understood. The purpose of this study was to compare regional and network functional alterations between washing and checking OCD based on resting-state functional magnetic resonance imaging (rs-fMRI).

METHODS

In total, 90 subjects were included, including 15 patients in the washing group, 30 patients in the checking group, and 45 healthy controls (HCs). Regional homogeneity (ReHo) was used to compare the differences in regional spontaneous neural activity among the three groups, and local indicators were analyzed by receiver operating characteristic (ROC) curves as imaging markers for the prediction of the clinical subtypes of OCD. Furthermore, differently activated local brain areas, as regions of interest (ROIs), were used to explore differences in altered brain functioning between washing and checking OCD symptoms based on a functional connectivity (FC) analysis.

RESULTS

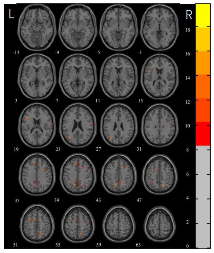
Extensive abnormalities in spontaneous brain activity involving frontal, temporal, and occipital regions were observed in the patients compared to the HCs. The differences in local brain functioning between checking and washing OCD were mainly concentrated in the bilateral middle frontal gyrus, right supramarginal gyrus, right angular gyrus, and right inferior occipital gyrus. The ROC curve analysis revealed that the hyperactivation right middle frontal gyrus had a better discriminatory value for checking and washing OCD. Furthermore, the seed-based FC analysis revealed higher FC between the left medial superior frontal gyrus and right caudate nucleus compared to that in the healthy controls.

CONCLUSIONS

These findings suggest that extensive local differences exist in intrinsic spontaneous activity among the checking group, washing group, and HCs. The neural basis of checking OCD may be related to dysfunction in the frontal-striatal network, which distinguishes OCD from washing OCD.

摘要

背景

强迫症(OCD)是一种临床异质性较高的精神疾病,表现为存在强迫观念和/或强迫行为。症状维度亚型的分类有助于进一步探索强迫症临床异质性背后的病理生理机制。洗涤和检查症状是强迫症的两种主要症状亚型,但不同类型症状的神经机制尚不清楚。本研究的目的是基于静息态功能磁共振成像(rs-fMRI)比较洗涤型和检查型强迫症之间的区域和网络功能改变。

方法

共纳入90名受试者,包括洗涤组15例患者、检查组30例患者和45名健康对照(HCs)。采用局部一致性(ReHo)比较三组之间区域自发神经活动的差异,并通过受试者工作特征(ROC)曲线分析局部指标,作为预测强迫症临床亚型的影像学标志物。此外,基于功能连接(FC)分析,将不同激活的局部脑区作为感兴趣区(ROIs),以探索洗涤型和检查型强迫症症状之间脑功能改变的差异。

结果

与HCs相比,患者在额叶、颞叶和枕叶区域的自发脑活动存在广泛异常。检查型和洗涤型强迫症之间局部脑功能的差异主要集中在双侧额中回、右侧缘上回、右侧角回和右侧枕下回。ROC曲线分析显示,右侧额中回的过度激活对检查型和洗涤型强迫症具有更好的鉴别价值。此外,基于种子点的FC分析显示,与健康对照相比,左侧额上内侧回与右侧尾状核之间的FC更高。

结论

这些发现表明,检查组、洗涤组和HCs之间在内在自发活动方面存在广泛的局部差异。检查型强迫症的神经基础可能与额叶-纹状体网络功能障碍有关,这将其与洗涤型强迫症区分开来。

https://cdn.ncbi.nlm.nih.gov/pmc/blobs/536f/9406102/5a35bde8997b/brainsci-12-00998-g001.jpg

文献检索

告别复杂PubMed语法,用中文像聊天一样搜索,搜遍4000万医学文献。AI智能推荐,让科研检索更轻松。

立即免费搜索

文件翻译

保留排版,准确专业,支持PDF/Word/PPT等文件格式,支持 12+语言互译。

免费翻译文档

深度研究

AI帮你快速写综述,25分钟生成高质量综述,智能提取关键信息,辅助科研写作。

立即免费体验