• 文献检索
  • 文档翻译
  • 深度研究
  • 学术资讯
  • Suppr Zotero 插件Zotero 插件
  • 邀请有礼
  • 套餐&价格
  • 历史记录
应用&插件
Suppr Zotero 插件Zotero 插件浏览器插件Mac 客户端Windows 客户端微信小程序
定价
高级版会员购买积分包购买API积分包
服务
文献检索文档翻译深度研究API 文档MCP 服务
关于我们
关于 Suppr公司介绍联系我们用户协议隐私条款
关注我们

Suppr 超能文献

核心技术专利:CN118964589B侵权必究
粤ICP备2023148730 号-1Suppr @ 2026

文献检索

告别复杂PubMed语法,用中文像聊天一样搜索,搜遍4000万医学文献。AI智能推荐,让科研检索更轻松。

立即免费搜索

文件翻译

保留排版,准确专业,支持PDF/Word/PPT等文件格式,支持 12+语言互译。

免费翻译文档

深度研究

AI帮你快速写综述,25分钟生成高质量综述,智能提取关键信息,辅助科研写作。

立即免费体验

使用基于DNA的新方法鉴定摩洛哥坚果(Argan)油:检测橄榄油和大豆油作为潜在掺假物

Authentication of Argan ( L.) Oil Using Novel DNA-Based Approaches: Detection of Olive and Soybean Oils as Potential Adulterants.

作者信息

Amaral Joana S, Raja Fatima Z, Costa Joana, Grazina Liliana, Villa Caterina, Charrouf Zoubida, Mafra Isabel

机构信息

REQUIMTE-LAQV, Faculdade de Farmácia, Universidade do Porto, Rua de Jorge Viterbo Ferreira, 228, 4050-313 Porto, Portugal.

Centro de Investigação de Montanha (CIMO), Instituto Politécnico de Bragança, Campus de Santa Apolónia, 5300-253 Bragança, Portugal.

出版信息

Foods. 2022 Aug 18;11(16):2498. doi: 10.3390/foods11162498.

DOI:10.3390/foods11162498
PMID:36010499
原文链接:https://pmc.ncbi.nlm.nih.gov/articles/PMC9407626/
Abstract

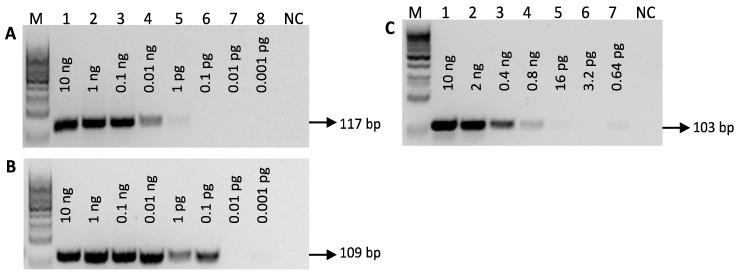
Argan oil is a traditional product obtained from the fruits of the argan tree ( L.), which is endemic only to Morocco. It is commercialized worldwide as cosmetic and food-grade argan oil, attaining very high prices in the international market. Therefore, argan oil is very prone to adulteration with cheaper vegetable oils. The present work aims at developing novel real-time PCR approaches to detect olive and soybean oils as potential adulterants, as well as ascertain the presence of argan oil. The ITS region, and genes were the targeted markers, allowing to detect argan, olive and soybean DNA down to 0.01 pg, 0.1 pg and 3.2 pg, respectively, with real-time PCR. Moreover, to propose practical quantitative methods, two calibrant models were developed using the normalized ΔCq method to estimate potential adulterations of argan oil with olive or soybean oils. The results allowed for the detection and quantification of olive and soybean oils within 50-1% and 25-1%, respectively, both in argan oil. Both approaches provided acceptable performance parameters and accurate determinations, as proven by their applicability to blind mixtures. Herein, new qualitative and quantitative PCR assays are proposed for the first time as reliable and high-throughput tools to authenticate and valorize argan oil.

摘要

阿甘油是一种从摩洛哥特有的阿甘树(Argania spinosa (L.) Skeels)果实中提取的传统产品。它作为化妆品级和食品级阿甘油在全球范围内商业化销售,在国际市场上价格很高。因此,阿甘油极易被较便宜的植物油掺假。本研究旨在开发新的实时PCR方法,以检测作为潜在掺假物的橄榄油和大豆油,并确定阿甘油的存在。ITS区域以及叶绿体trnL-F和rbcL基因是目标标记,通过实时PCR分别能够检测低至0.01 pg、0.1 pg和3.2 pg的阿甘油、橄榄油和大豆油DNA。此外,为了提出实用的定量方法,使用标准化ΔCq方法开发了两种校准模型,以估计阿甘油与橄榄油或大豆油的潜在掺假情况。结果能够分别检测出阿甘油中50 - 1%和25 - 1%的橄榄油和大豆油,并进行定量。两种方法都提供了可接受的性能参数和准确的测定结果,对盲样混合物的适用性证明了这一点。在此,首次提出新的定性和定量PCR检测方法,作为可靠且高通量的工具来鉴定和评估阿甘油的价值。

https://cdn.ncbi.nlm.nih.gov/pmc/blobs/c1c9/9407626/4b1396c2b0a0/foods-11-02498-g003.jpg
https://cdn.ncbi.nlm.nih.gov/pmc/blobs/c1c9/9407626/159330a957b0/foods-11-02498-g001.jpg
https://cdn.ncbi.nlm.nih.gov/pmc/blobs/c1c9/9407626/bdd81ab07289/foods-11-02498-g002.jpg
https://cdn.ncbi.nlm.nih.gov/pmc/blobs/c1c9/9407626/4b1396c2b0a0/foods-11-02498-g003.jpg
https://cdn.ncbi.nlm.nih.gov/pmc/blobs/c1c9/9407626/159330a957b0/foods-11-02498-g001.jpg
https://cdn.ncbi.nlm.nih.gov/pmc/blobs/c1c9/9407626/bdd81ab07289/foods-11-02498-g002.jpg
https://cdn.ncbi.nlm.nih.gov/pmc/blobs/c1c9/9407626/4b1396c2b0a0/foods-11-02498-g003.jpg

相似文献

1
Authentication of Argan ( L.) Oil Using Novel DNA-Based Approaches: Detection of Olive and Soybean Oils as Potential Adulterants.使用基于DNA的新方法鉴定摩洛哥坚果(Argan)油:检测橄榄油和大豆油作为潜在掺假物
Foods. 2022 Aug 18;11(16):2498. doi: 10.3390/foods11162498.
2
Screening Method for Argan Oil Adulteration with Vegetable Oils: An Online HPLC Assay with Postcolumn Detection Utilizing Chemometric Multidata Analysis.在线 HPLC 后柱检测与化学计量多数据分析联用筛选掺伪油的方法:阿甘油与植物油的掺伪。
J Agric Food Chem. 2019 Jul 24;67(29):8279-8289. doi: 10.1021/acs.jafc.9b03001. Epub 2019 Jul 15.
3
Detection of argan oil adulteration with vegetable oils by high-performance liquid chromatography-evaporative light scattering detection.高效液相色谱-蒸发光散射检测法检测植物油掺伪阿甘油。
Food Chem. 2014 Jun 15;153:387-92. doi: 10.1016/j.foodchem.2013.12.084. Epub 2014 Jan 2.
4
Ethnobotany, phytochemistry and biological properties of Argan tree (Argania spinosa (L.) Skeels) (Sapotaceae) - A review.阿甘树(阿甘树)的民族植物学、植物化学和生物学特性(Argania spinosa (L.) Skeels)(金虎尾科)- 综述。
J Ethnopharmacol. 2021 Dec 5;281:114528. doi: 10.1016/j.jep.2021.114528. Epub 2021 Aug 18.
5
Argan Oil: Chemical Composition, Extraction Process, and Quality Control.阿甘油:化学成分、提取工艺及质量控制。
Front Nutr. 2022 Feb 3;8:804587. doi: 10.3389/fnut.2021.804587. eCollection 2021.
6
Nutraceutical potentialities of Tunisian Argan oil based on its physicochemical properties and fatty acid content as assessed through Bayesian network analyses.基于贝叶斯网络分析评估的突尼斯阿甘油的物理化学性质和脂肪酸含量的营养潜力。
Lipids Health Dis. 2018 Jun 15;17(1):138. doi: 10.1186/s12944-018-0782-9.
7
Ethnopharmacological Knowledge and Antioxidant Propensities of L. from Morocco.摩洛哥拉腊什的民族药理学知识与抗氧化倾向
Adv Pharmacol Pharm Sci. 2024 Jul 29;2024:6795451. doi: 10.1155/2024/6795451. eCollection 2024.
8
Quality Control and Authentication of Argan Oils: Application of Advanced Analytical Techniques.阿甘油的质量控制与鉴定:先进分析技术的应用。
Molecules. 2023 Feb 15;28(4):1818. doi: 10.3390/molecules28041818.
9
Novel qPCR systems for olive (Olea europaea L.) authentication in oils and food.用于橄榄油和食品中橄榄(油橄榄)鉴别的新型定量聚合酶链反应系统。
Food Chem. 2016 Mar 1;194:447-54. doi: 10.1016/j.foodchem.2015.08.036. Epub 2015 Aug 12.
10
Ethnobotany, traditional knowledge, and nutritional value of Argan (Argania spinosa (L.) Skeels) in Western Anti-Atlas of Morocco.摩洛哥阿特拉斯西部地区的阿甘油(阿甘树)的民族植物学、传统知识和营养价值。
Braz J Biol. 2022 May 9;84:e260477. doi: 10.1590/1519-6984.260477. eCollection 2022.

引用本文的文献

1
The Application of H Nuclear Magnetic Resonance (NMR), Gas Chromatography (GC) and Ultraviolet-Visible (UV-Vis) Spectroscopy Techniques to the Analysis of the Fatty Acid Profile as Quality of Argan Oil.氢核磁共振(NMR)、气相色谱(GC)和紫外可见(UV-Vis)光谱技术在分析阿甘油脂肪酸谱作为其质量指标方面的应用
Int J Mol Sci. 2025 Jun 1;26(11):5322. doi: 10.3390/ijms26115322.
2
Techniques for Food Authentication: Trends and Emerging Approaches.食品认证技术:趋势与新兴方法。
Foods. 2023 Mar 8;12(6):1134. doi: 10.3390/foods12061134.

本文引用的文献

1
Authentication of extra virgin Argan oil by selected-ion flow-tube mass-spectrometry fingerprinting and chemometrics.采用选定离子流管质谱指纹图谱分析和化学计量学方法对特级初榨阿甘油进行鉴定。
Food Chem. 2022 Jul 30;383:132565. doi: 10.1016/j.foodchem.2022.132565. Epub 2022 Feb 25.
2
Argan Oil: Chemical Composition, Extraction Process, and Quality Control.阿甘油:化学成分、提取工艺及质量控制。
Front Nutr. 2022 Feb 3;8:804587. doi: 10.3389/fnut.2021.804587. eCollection 2021.
3
Botanical authentication of globe artichoke-containing foods: Differentiation of Cynara scolymus by a novel HRM approach.
含朝鲜蓟食品的植物学鉴定:通过一种新的 HRM 方法对朝鲜蓟进行区分。
Food Chem. 2022 Jan 1;366:130621. doi: 10.1016/j.foodchem.2021.130621. Epub 2021 Jul 19.
4
Comparative study of three fingerprint analytical approaches based on spectroscopic sensors and chemometrics for the detection and quantification of argan oil adulteration.基于光谱传感器和化学计量学的三种指纹分析方法在检测和定量阿甘油掺假中的比较研究。
J Sci Food Agric. 2022 Jan 15;102(1):95-104. doi: 10.1002/jsfa.11335. Epub 2021 Jun 3.
5
An optimized procedure for detection of genetically modified DNA in refined vegetable oils.一种用于检测精炼植物油中转基因DNA的优化方法。
Food Sci Biotechnol. 2021 Jan 15;30(1):129-135. doi: 10.1007/s10068-020-00852-1. eCollection 2021 Jan.
6
Botanical origin authentication of dietary supplements by DNA-based approaches.基于 DNA 方法的膳食补充剂的植物来源鉴定。
Compr Rev Food Sci Food Saf. 2020 May;19(3):1080-1109. doi: 10.1111/1541-4337.12551. Epub 2020 Mar 6.
7
Authentication of Herbal Products by a Novel Quantitative Real-Time PCR Approach.一种新型定量实时聚合酶链反应方法用于草药产品的鉴定
Foods. 2020 Sep 4;9(9):1233. doi: 10.3390/foods9091233.
8
High-throughput screening of argan oil composition and authenticity using benchtop H NMR.利用台式 1H NMR 对阿甘油成分和真实性进行高通量筛选。
Magn Reson Chem. 2020 Dec;58(12):1177-1186. doi: 10.1002/mrc.5023. Epub 2020 Apr 6.
9
Detection and Quantification of Milk Ingredients as Hidden Allergens in Meat Products by a Novel Specific Real-Time PCR Method.新型特异性实时 PCR 方法检测和定量肉产品中的牛奶成分作为隐藏过敏原。
Biomolecules. 2019 Nov 29;9(12):804. doi: 10.3390/biom9120804.
10
Development of nucleic acid isolation by non-silica-based nanoparticles and real-time PCR kit for edible vegetable oil traceability.基于非硅纳米颗粒的核酸分离方法的开发及实时 PCR 试剂盒在食用油溯源中的应用。
Food Chem. 2019 Dec 1;300:125205. doi: 10.1016/j.foodchem.2019.125205. Epub 2019 Jul 18.