Suppr超能文献

短期内具有非典型影像学表现及反复破裂的支气管源性囊肿:一例报告

Bronchogenic cyst with atypical imaging findings and repeated ruptures in a short period of time: A case report.

作者信息

Matsushita Mika, Honda Osamu, Kohzai Masasuke, Minami Kotaro, Yamamoto Shintaro, Ueda Kenichi, Hino Haruaki, Murakawa Tomohiro, Okabe Asako, Tanigawa Noboru

机构信息

Department of Radiology, Kansai Medical University, 2-5-1 Shin-machi, Hirakata, Osaka, 573-1010, Japan.

Department of Thoracic Surgery, Kansai Medical University, 2-5-1 Shin-machi, Hirakata, Osaka, 573-1010, Japan.

出版信息

Radiol Case Rep. 2022 Aug 13;17(10):3933-3937. doi: 10.1016/j.radcr.2022.07.103. eCollection 2022 Oct.

Abstract

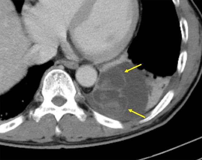
Bronchogenic cysts are the most common primary cysts of the mediastinum. Although most are asymptomatic, some bronchogenic cysts cause symptoms such as chest pain and dyspnea. Here, we report a case of bronchogenic cyst that ruptured twice in a short period of time in a patient who presented with sudden back pain. The lesion was apparent on computed tomography (CT) as a mass lesion with heterogeneous and high attenuation in the posterior mediastinal region. CT-guided puncture performed for diagnostic purposes revealed the contents as bloody fluid. The patient suffered chest pain approximately 3 months after the first presentation, and re-growth and re-rupture of the mass was suspected. The lesion was surgically resected and pathologically diagnosed as a bronchogenic cyst. Spontaneous rupture is a very rare complication of bronchogenic cyst, usually into the trachea, pleural cavity, or pericardial cavity. However, there are no reports of multiple ruptures. This case highlights the importance of recognizing the atypical imaging findings of bronchogenic cyst and the rare complication of rupture.

摘要

支气管源性囊肿是纵隔最常见的原发性囊肿。虽然大多数无症状,但一些支气管源性囊肿会引起胸痛和呼吸困难等症状。在此,我们报告一例支气管源性囊肿在一名突发背痛的患者中短期内破裂两次的病例。在计算机断层扫描(CT)上,病变表现为后纵隔区域的一个具有不均匀高衰减的肿块。为诊断目的进行的CT引导下穿刺显示内容物为血性液体。患者在首次就诊约3个月后出现胸痛,怀疑肿块再次生长并破裂。病变经手术切除,病理诊断为支气管源性囊肿。自发性破裂是支气管源性囊肿非常罕见的并发症,通常破裂入气管、胸腔或心包腔。然而,尚无多次破裂的报道。该病例凸显了认识支气管源性囊肿非典型影像学表现及罕见破裂并发症的重要性。

https://cdn.ncbi.nlm.nih.gov/pmc/blobs/963a/9399896/77dae201f95a/gr1.jpg

文献检索

告别复杂PubMed语法,用中文像聊天一样搜索,搜遍4000万医学文献。AI智能推荐,让科研检索更轻松。

立即免费搜索

文件翻译

保留排版,准确专业,支持PDF/Word/PPT等文件格式,支持 12+语言互译。

免费翻译文档

深度研究

AI帮你快速写综述,25分钟生成高质量综述,智能提取关键信息,辅助科研写作。

立即免费体验