Suppr超能文献

脾性腺融合:两例具有挑战性诊断的病例系列

Splenogonadal fusion: A case series of two challenging diagnoses.

作者信息

Lazreg Khouloud Ben, Helal Imen, Khanchel Fatma, Daieb Aida, Tlili Sameh, El Fekih Sirine, Brahim Ehsen Ben, Hellal Youssef, Jouini Raja, Debbiche Achraf Chadli

机构信息

Habib Thameur Hospital Pathology department Tunis Tunisia.

Faculty of medicine of Tunis El Manar Tunis Tunisia.

出版信息

Clin Case Rep. 2022 Aug 24;10(8):e6250. doi: 10.1002/ccr3.6250. eCollection 2022 Aug.

Abstract

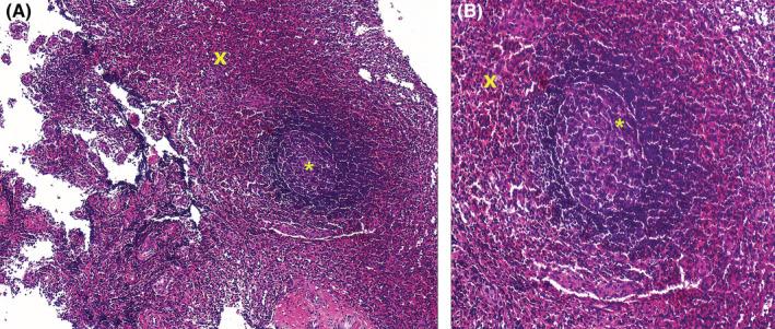
Splenogonadal fusion is an abnormal connection between the spleen and gonads. This rare entity can be easily confused with testicular tumors. It usually accompanies congenital malformations, such as cryptorchidism, making diagnosis more difficult. Surgeons must be aware of this entity to avoid unnecessary orchiectomy. In some cases, biopsy may help with diagnosis.

摘要

脾性腺融合是脾脏与性腺之间的异常连接。这种罕见的情况很容易与睾丸肿瘤混淆。它通常伴有先天性畸形,如隐睾症,这使得诊断更加困难。外科医生必须了解这种情况,以避免不必要的睾丸切除术。在某些情况下,活检可能有助于诊断。

https://cdn.ncbi.nlm.nih.gov/pmc/blobs/6b26/9400032/8b8098398e73/CCR3-10-e6250-g004.jpg

文献检索

告别复杂PubMed语法,用中文像聊天一样搜索,搜遍4000万医学文献。AI智能推荐,让科研检索更轻松。

立即免费搜索

文件翻译

保留排版,准确专业,支持PDF/Word/PPT等文件格式,支持 12+语言互译。

免费翻译文档

深度研究

AI帮你快速写综述,25分钟生成高质量综述,智能提取关键信息,辅助科研写作。

立即免费体验