Suppr超能文献

继发于原发性恶性肿瘤不明的柔脑膜转移的双侧声带麻痹:一例报告并文献复习

Bilateral Vocal Cord Paralysis Secondary to Leptomeningeal Metastases With Unknown Primary Malignancy: A Case Report and Review of the Literature.

作者信息

Chen Jennifer, Staibano Phillip, Zhou Kelvin, Gupta Michael

机构信息

Otolaryngology-Head and Neck Surgery, McMaster University, Hamilton, CAN.

出版信息

Cureus. 2022 Jul 28;14(7):e27425. doi: 10.7759/cureus.27425. eCollection 2022 Jul.

Abstract

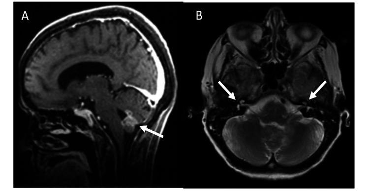
Bilateral vocal cord paralysis (BVCP) most commonly occurs secondary to iatrogenic injury and/or malignancy, but can also be a consequence of central nervous system (CNS) pathology. We report a case of BVCP secondary to leptomeningeal consequence in the context of unknown primary malignancy. The aim of this report is to promote awareness for BVCP caused by rare CNS pathology and highlight the importance of complete neoplastic and paraneoplastic workups in new-onset BVCP with unclear etiology. Here, we present a case report and review of the literature. A 68-year-old female presented with new-onset BVCP in the context of progressive dysphagia in addition to rectal and urinary incontinence. She underwent an awake tracheostomy. Her infectious and paraneoplastic workups did not identify a cause for her BVCP. Her brain MRI demonstrated enhancement of multiple cranial nerves, spine MRI demonstrated leptomeningeal enhancement, and cerebrospinal fluid (CSF) cytology was positive for metastatic adenocarcinoma. Her functional status was poor and she was deemed ineligible for chemotherapy and transitioned to palliative care. She died three months following her hospital admission. Leptomeningeal metastasis is a rare cause of new-onset BVCP. Airway management remains a critical component in BVCP. The sudden onset of BVCP in the context of generalized neurologic symptoms or cranial nerve deficits should prompt complete neoplastic and paraneoplastic investigation.

摘要

双侧声带麻痹(BVCP)最常见于医源性损伤和/或恶性肿瘤继发,但也可能是中枢神经系统(CNS)病变的结果。我们报告一例在原发性恶性肿瘤不明的情况下,继发于软脑膜病变的BVCP病例。本报告的目的是提高对罕见中枢神经系统病变所致BVCP的认识,并强调在病因不明的新发BVCP中进行全面肿瘤及副肿瘤检查的重要性。在此,我们呈现一例病例报告并对文献进行综述。一名68岁女性,除了直肠和尿失禁外,还因进行性吞咽困难出现新发BVCP。她接受了清醒气管切开术。她的感染性及副肿瘤检查未发现其BVCP的病因。她的脑部磁共振成像(MRI)显示多条颅神经强化,脊柱MRI显示软脑膜强化,脑脊液(CSF)细胞学检查转移性腺癌呈阳性。她的功能状态较差,被认为不适合化疗,转而接受姑息治疗。她入院三个月后死亡。软脑膜转移是新发BVCP的罕见病因。气道管理仍是BVCP的关键组成部分。在出现全身性神经症状或颅神经缺损的情况下,BVCP的突然发作应促使进行全面的肿瘤及副肿瘤检查。

https://cdn.ncbi.nlm.nih.gov/pmc/blobs/616a/9420173/641cf02db42b/cureus-0014-00000027425-i01.jpg

文献AI研究员

20分钟写一篇综述,助力文献阅读效率提升50倍。

立即体验

用中文搜PubMed

大模型驱动的PubMed中文搜索引擎

马上搜索

文档翻译

学术文献翻译模型,支持多种主流文档格式。

立即体验