• 文献检索
  • 文档翻译
  • 深度研究
  • 学术资讯
  • Suppr Zotero 插件Zotero 插件
  • 邀请有礼
  • 套餐&价格
  • 历史记录
应用&插件
Suppr Zotero 插件Zotero 插件浏览器插件Mac 客户端Windows 客户端微信小程序
定价
高级版会员购买积分包购买API积分包
服务
文献检索文档翻译深度研究API 文档MCP 服务
关于我们
关于 Suppr公司介绍联系我们用户协议隐私条款
关注我们

Suppr 超能文献

核心技术专利:CN118964589B侵权必究
粤ICP备2023148730 号-1Suppr @ 2026

文献检索

告别复杂PubMed语法,用中文像聊天一样搜索,搜遍4000万医学文献。AI智能推荐,让科研检索更轻松。

立即免费搜索

文件翻译

保留排版,准确专业,支持PDF/Word/PPT等文件格式,支持 12+语言互译。

免费翻译文档

深度研究

AI帮你快速写综述,25分钟生成高质量综述,智能提取关键信息,辅助科研写作。

立即免费体验

50 岁以下患者使用 Harris-Galante 假体进行全髋关节置换术的平均 22 年结果。

Average 22-Year Results of Total Hip Arthroplasty Using Harris-Galante Prosthesis in Patients under 50 Years.

机构信息

Department of Orthopedic Surgery, Kyungpook National University Chilgok Hospital, Daegu, Korea.

Department of Orthopedic Surgery, Kyungpook National University Hospital, Daegu, Korea.

出版信息

Clin Orthop Surg. 2022 Sep;14(3):335-343. doi: 10.4055/cios21176. Epub 2022 Mar 3.

DOI:10.4055/cios21176
PMID:36061837
原文链接:https://pmc.ncbi.nlm.nih.gov/articles/PMC9393279/
Abstract

BACKGROUND

The Harris-Galante (HG) prosthesis is a first-generation, cementless total hip arthroplasty (THA) prosthesis. Considering the recent increase in the demand for THA in young patients and their life expectancy, a study with a follow-up duration of longer than 20 years in a young population is needed. Therefore, we evaluated the long-term clinical and radiographic results after cementless THA using the HG prosthesis in patients younger than 50 years.

METHODS

A total of 61 THAs performed using the HG with a minimum follow-up of 10 years were included. There were 38 men and 11 women with an average age of 46 years and the mean follow-up duration was 22 years. Clinical evaluation included modified Harris Hip Score (HHS) and radiographic analysis consisted of cup inclination, anteversion angle, component stability, osteolysis, liner wear rate, wear-through, liner dissociation, and heterotopic ossification. Complications included recurrent dislocation, periprosthetic femoral fracture, and periprosthetic joint infection. Survivorship analysis included cup and stem revision for aseptic loosening, as well as any revision.

RESULTS

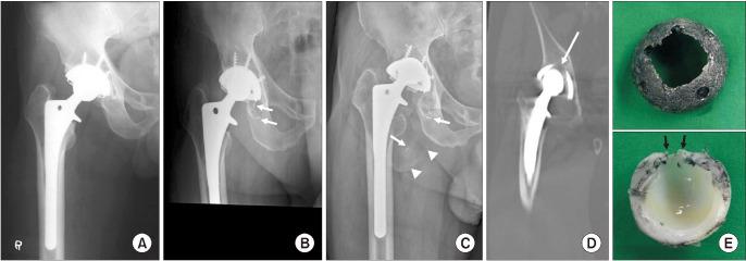
The HHS improved from 46.5 preoperatively to 81.8 postoperatively ( < 0.001). The average linear wear rate was 0.36 mm/yr. A total of 34 hips (56%) were revised: stem revision in 10 (16.4%), cup revision in 9 (14.8%), exchange limited to bearing surface in 8 (13.1%), and revision of all components in 7 (11.5%). Estimated survivorship at 34 years postoperatively was 90.9% for cup revision for aseptic loosening, 80.5% for stem revision for aseptic loosening, and 22.1% for any revision.

CONCLUSIONS

THA using the HG prosthesis showed satisfactory estimated survivorship of the acetabular and femoral components at 34 years postoperatively with good clinical outcomes. Bearing-related problems, such as osteolysis and liner dissociation, accounted for 56% of revision operations and were concerns in patients younger than 50 years.

摘要

背景

Harris-Galante(HG)假体是第一代非骨水泥全髋关节置换术(THA)假体。考虑到年轻患者对 THA 的需求以及他们的预期寿命最近有所增加,需要在年轻人群中进行随访时间超过 20 年的研究。因此,我们评估了在 50 岁以下患者中使用 HG 假体进行非骨水泥 THA 的长期临床和影像学结果。

方法

共纳入 61 例采用 HG 假体进行的 THA,随访时间至少 10 年。其中男 38 例,女 11 例,平均年龄 46 岁,平均随访时间 22 年。临床评估包括改良 Harris 髋关节评分(HHS),影像学分析包括髋臼杯倾斜度、前倾角、假体稳定性、骨溶解、衬垫磨损率、衬垫穿透、衬垫分离和异位骨化。并发症包括复发性脱位、股骨假体周围骨折和假体周围关节感染。生存分析包括髋臼杯和股骨假体因无菌性松动而进行的翻修,以及任何其他翻修。

结果

HHS 从术前的 46.5 分提高到术后的 81.8 分(<0.001)。平均线性磨损率为 0.36mm/年。共有 34 髋(56%)进行了翻修:10 髋(16.4%)进行了股骨假体翻修,9 髋(14.8%)进行了髋臼杯翻修,8 髋(13.1%)仅更换了关节面,7 髋(11.5%)进行了所有组件的翻修。术后 34 年,髋臼杯因无菌性松动而进行翻修的估计生存率为 90.9%,股骨假体因无菌性松动而进行翻修的估计生存率为 80.5%,任何原因进行翻修的估计生存率为 22.1%。

结论

HG 假体 THA 在术后 34 年时,髋臼和股骨假体的估计生存率较高,临床结果良好。与轴承相关的问题,如骨溶解和衬垫分离,占翻修手术的 56%,是 50 岁以下患者的关注点。

https://cdn.ncbi.nlm.nih.gov/pmc/blobs/34c3/9393279/b786a4cbcdbb/cios-14-335-g003.jpg
https://cdn.ncbi.nlm.nih.gov/pmc/blobs/34c3/9393279/9e3bee6dca7f/cios-14-335-g001.jpg
https://cdn.ncbi.nlm.nih.gov/pmc/blobs/34c3/9393279/d1d51461ce3d/cios-14-335-g002.jpg
https://cdn.ncbi.nlm.nih.gov/pmc/blobs/34c3/9393279/b786a4cbcdbb/cios-14-335-g003.jpg
https://cdn.ncbi.nlm.nih.gov/pmc/blobs/34c3/9393279/9e3bee6dca7f/cios-14-335-g001.jpg
https://cdn.ncbi.nlm.nih.gov/pmc/blobs/34c3/9393279/d1d51461ce3d/cios-14-335-g002.jpg
https://cdn.ncbi.nlm.nih.gov/pmc/blobs/34c3/9393279/b786a4cbcdbb/cios-14-335-g003.jpg

相似文献

1
Average 22-Year Results of Total Hip Arthroplasty Using Harris-Galante Prosthesis in Patients under 50 Years.50 岁以下患者使用 Harris-Galante 假体进行全髋关节置换术的平均 22 年结果。
Clin Orthop Surg. 2022 Sep;14(3):335-343. doi: 10.4055/cios21176. Epub 2022 Mar 3.
2
High Risk of Neck-liner Impingement and Notching Observed with Thick Femoral Neck Implants in Ceramic-on-ceramic THA.在陶瓷对陶瓷全髋关节置换术中,使用厚股骨颈植入物时观察到较高的颈部内衬撞击和开槽风险。
Clin Orthop Relat Res. 2022 Apr 1;480(4):690-699. doi: 10.1097/CORR.0000000000002022.
3
The 21- to 27-year results of the Harris-Galante cementless total hip arthroplasty.哈里斯-加兰特非骨水泥型全髋关节置换术21至27年的随访结果。
J Orthop Sci. 2016 May;21(3):342-7. doi: 10.1016/j.jos.2016.02.004. Epub 2016 Mar 9.
4
Polyethylene Liner and Femoral Head Exchange in Total Hip Arthroplasty: Factors Associated with Long-Term Success and Failure.全髋关节置换术中聚乙烯衬垫和股骨头的翻修:与长期成功和失败相关的因素。
J Bone Joint Surg Am. 2019 Mar 6;101(5):421-428. doi: 10.2106/JBJS.18.00522.
5
Do alumina matrix composite bearings decrease hip noises and bearing fractures at a minimum of 5 years after THA?氧化铝基复合材料轴承能否在全髋关节置换术后至少5年内减少髋关节异响和轴承断裂的发生?
Clin Orthop Relat Res. 2015 Dec;473(12):3796-802. doi: 10.1007/s11999-015-4428-1.
6
Long-Term Outcomes After Metal-on-Metal Total Hip Arthroplasty With a 28-mm Head: A 17- to 23-Year Follow-Up Study of a Previous Report.金属对金属全髋关节置换术后 28mm 头假体的长期疗效:一项先前报告的 17 至 23 年随访研究。
J Arthroplasty. 2018 Jul;33(7):2165-2172. doi: 10.1016/j.arth.2018.02.089. Epub 2018 Mar 12.
7
Mid-term Results of Revision Total Hip Arthroplasty Using Delta Ceramic-on-Ceramic Bearing.Delta 陶瓷-陶瓷关节假体翻修全髋关节置换术的中期结果。
Clin Orthop Surg. 2023 Feb;15(1):20-26. doi: 10.4055/cios21192. Epub 2022 Jul 21.
8
Revision Total Hip Arthroplasty with Retained Acetabular Component.保留髋臼部件的全髋关节翻修术。
J Bone Joint Surg Am. 2014 Jun 18;96(12):1015-1020. doi: 10.2106/JBJS.L.01177.
9
Second-generation cementless total hip arthroplasty. Eight to eleven-year results.第二代非骨水泥型全髋关节置换术。8至11年的随访结果。
J Bone Joint Surg Am. 2001 Nov;83(11):1666-73. doi: 10.2106/00004623-200111000-00008.
10
Cementless hydroxyapatite-coated stem with dual mobility and posterior approach in over-80 year-old patients with osteoarthritis: Rates of dislocation and periprosthetic fracture at a mean 8 years' follow-up.80 岁以上骨关节炎患者使用双动和后路的非骨水泥羟基磷灰石涂层柄:平均 8 年随访时的脱位和假体周围骨折发生率。
Orthop Traumatol Surg Res. 2022 Apr;108(2):103196. doi: 10.1016/j.otsr.2021.103196. Epub 2021 Dec 24.

本文引用的文献

1
Finite Element Analysis of Stress Distribution in Flat and Elevated-Rim Polyethylene Acetabular Liners.平面和高边聚乙烯髋臼衬垫的应力分布有限元分析。
Clin Orthop Surg. 2020 Sep;12(3):291-297. doi: 10.4055/cios19145. Epub 2020 Jun 29.
2
What Is the Long-term (27- to 32-year) Survivorship of an Uncemented Tapered Titanium Femoral Component and Survival in Patients Younger Than 50 Years?非骨水泥锥形钛合金股骨部件的 27-32 年长期生存率是多少?50 岁以下患者的生存率如何?
Clin Orthop Relat Res. 2020 Jun;478(6):1283-1291. doi: 10.1097/CORR.0000000000001203.
3
Obesity Is Independently Associated With Early Aseptic Loosening in Primary Total Hip Arthroplasty.
肥胖与初次全髋关节置换术后早期无菌性松动独立相关。
J Arthroplasty. 2018 Mar;33(3):882-886. doi: 10.1016/j.arth.2017.09.069. Epub 2017 Oct 10.
4
Fifteen-Year Comparison of Wear and Osteolysis Analysis for Cross-Linked or Conventional Polyethylene in Cementless Total Hip Arthroplasty for Hip Dysplasia-A Retrospective Cohort Study.髋关节发育不良的非骨水泥型全髋关节置换术中交联聚乙烯或传统聚乙烯磨损与骨溶解分析的15年比较——一项回顾性队列研究
J Arthroplasty. 2017 Jan;32(1):161-165.e1. doi: 10.1016/j.arth.2016.06.008. Epub 2016 Jun 23.
5
The 21- to 27-year results of the Harris-Galante cementless total hip arthroplasty.哈里斯-加兰特非骨水泥型全髋关节置换术21至27年的随访结果。
J Orthop Sci. 2016 May;21(3):342-7. doi: 10.1016/j.jos.2016.02.004. Epub 2016 Mar 9.
6
CORR Insights(®): Wear and Osteolysis of Highly Crosslinked Polyethylene at 10 to 14 Years: The Effect of Femoral Head Size.CORR 见解(®):10至14年时高度交联聚乙烯的磨损与骨溶解:股骨头大小的影响
Clin Orthop Relat Res. 2016 Feb;474(2):372-3. doi: 10.1007/s11999-015-4365-z. Epub 2015 May 30.
7
Retrieval analysis of Harris-Galante I and II acetabular liners in situ for more than 10 years.Harris-Galante I 和 II 髋臼衬里在位超过 10 年的检索分析。
Acta Orthop. 2012 Aug;83(4):366-73. doi: 10.3109/17453674.2012.717843. Epub 2012 Aug 10.
8
The Harris-Galante cementless THA: a 19- to 25-year follow-up study.哈里斯-加兰特非骨水泥全髋关节置换术:一项长达19至25年的随访研究。
Orthopedics. 2011 Jan 3;34(1):12. doi: 10.3928/01477447-20101123-08.
9
Fifteen-year to twenty-year results of cementless Harris-Galante porous femoral and Harris-Galante porous I and II acetabular components.骨水泥型 Harris-Galante 多孔股骨和 Harris-Galante 多孔 I 和 II 髋臼部件的 15 年至 20 年随访结果。
J Arthroplasty. 2010 Aug;25(5):687-91. doi: 10.1016/j.arth.2009.05.033. Epub 2009 Jul 29.
10
The Harris-Galante porous-coated, hemispherical, polyethylene-lined acetabular component in patients under 50 years of age: a 12- to 16-year review.50岁以下患者使用的哈里斯-加兰特多孔涂层、半球形、聚乙烯内衬髋臼组件:12至16年的回顾
J Bone Joint Surg Br. 2008 Nov;90(11):1422-7. doi: 10.1302/0301-620X.90B11.20892.