• 文献检索
  • 文档翻译
  • 深度研究
  • 学术资讯
  • Suppr Zotero 插件Zotero 插件
  • 邀请有礼
  • 套餐&价格
  • 历史记录
应用&插件
Suppr Zotero 插件Zotero 插件浏览器插件Mac 客户端Windows 客户端微信小程序
定价
高级版会员购买积分包购买API积分包
服务
文献检索文档翻译深度研究API 文档MCP 服务
关于我们
关于 Suppr公司介绍联系我们用户协议隐私条款
关注我们

Suppr 超能文献

核心技术专利:CN118964589B侵权必究
粤ICP备2023148730 号-1Suppr @ 2026

文献检索

告别复杂PubMed语法,用中文像聊天一样搜索,搜遍4000万医学文献。AI智能推荐,让科研检索更轻松。

立即免费搜索

文件翻译

保留排版,准确专业,支持PDF/Word/PPT等文件格式,支持 12+语言互译。

免费翻译文档

深度研究

AI帮你快速写综述,25分钟生成高质量综述,智能提取关键信息,辅助科研写作。

立即免费体验

肺结节病经支气管活检后并发脓性心包炎和胸膜炎

Concomitant Purulent Pericarditis and Pleuritis Due to Following Endobronchial Biopsy for Pulmonary Sarcoidosis.

作者信息

Joury Abdulaziz, West William, Abelhad Nadia, Teruel Jeremy, Englert Joseph A R

机构信息

Department of Cardiology, Ochsner Medical Center, New Orleans, Louisiana, USA.

King Salman Heart Center, King Fahd Medical City, Riyadh, Saudi Arabia.

出版信息

JACC Case Rep. 2022 Aug 17;4(16):1026-1031. doi: 10.1016/j.jaccas.2022.06.007.

DOI:10.1016/j.jaccas.2022.06.007
PMID:36062050
原文链接:https://pmc.ncbi.nlm.nih.gov/articles/PMC9434643/
Abstract

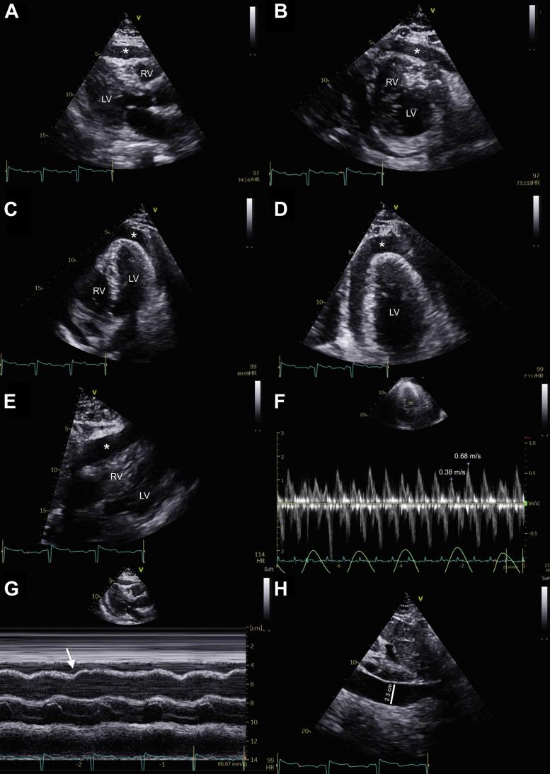
The authors present a very rare case of bacterial purulent pericarditis due to 2 weeks following an endobronchial ultrasound bronchoscopy. On his presentation, he was in cardiac tamponade, for which he underwent an emergent pericardiocentesis with purulent drainage. Similar organisms grew in his left pleural effusion. ().

摘要

作者报告了一例非常罕见的细菌性化脓性心包炎病例,该病例发生在支气管内超声支气管镜检查后2周。患者就诊时处于心脏压塞状态,为此接受了紧急心包穿刺引流脓性液体。其左侧胸腔积液中培养出了类似的微生物。()

https://cdn.ncbi.nlm.nih.gov/pmc/blobs/1290/9434643/e380f4b4abcc/gr3.jpg
https://cdn.ncbi.nlm.nih.gov/pmc/blobs/1290/9434643/ee513a3778d1/fx1.jpg
https://cdn.ncbi.nlm.nih.gov/pmc/blobs/1290/9434643/f8937f893398/gr1.jpg
https://cdn.ncbi.nlm.nih.gov/pmc/blobs/1290/9434643/2aa5ab0f7be3/gr2.jpg
https://cdn.ncbi.nlm.nih.gov/pmc/blobs/1290/9434643/e380f4b4abcc/gr3.jpg
https://cdn.ncbi.nlm.nih.gov/pmc/blobs/1290/9434643/ee513a3778d1/fx1.jpg
https://cdn.ncbi.nlm.nih.gov/pmc/blobs/1290/9434643/f8937f893398/gr1.jpg
https://cdn.ncbi.nlm.nih.gov/pmc/blobs/1290/9434643/2aa5ab0f7be3/gr2.jpg
https://cdn.ncbi.nlm.nih.gov/pmc/blobs/1290/9434643/e380f4b4abcc/gr3.jpg

相似文献

1
Concomitant Purulent Pericarditis and Pleuritis Due to Following Endobronchial Biopsy for Pulmonary Sarcoidosis.肺结节病经支气管活检后并发脓性心包炎和胸膜炎
JACC Case Rep. 2022 Aug 17;4(16):1026-1031. doi: 10.1016/j.jaccas.2022.06.007.
2
Actinomyces odontolyticus: Rare Etiology for Purulent Pericarditis.溶牙放线菌:脓性心包炎的罕见病因
Case Rep Med. 2014;2014:734925. doi: 10.1155/2014/734925. Epub 2014 Dec 15.
3
Primary purulent bacterial pericarditis due to Streptococcus intermedius in an immunocompetent adult: a case report.免疫功能正常的成年人中由中间型链球菌引起的原发性化脓性细菌性心包炎:一例报告
J Med Case Rep. 2018 Feb 5;12(1):27. doi: 10.1186/s13256-018-1570-x.
4
A case of purulent pneumococcal pericarditis.一例化脓性肺炎球菌性心包炎。
Am J Emerg Med. 2019 May;37(5):1006.e5-1006.e7. doi: 10.1016/j.ajem.2019.02.013. Epub 2019 Feb 11.
5
Cardiac tamponade secondary to purulent pericarditis diagnosed with the aid of emergency department ultrasound.借助急诊科超声诊断的化脓性心包炎继发心脏压塞
Am J Emerg Med. 2017 Aug;35(8):1212.e1-1212.e3. doi: 10.1016/j.ajem.2017.04.068. Epub 2017 Apr 27.
6
A successfully treated case of primary purulent pericarditis complicated by cardiac tamponade and pneumopericardium.一例成功治疗的原发性脓性心包炎合并心脏压塞和气胸病例。
Acute Crit Care. 2021 Feb;36(1):70-74. doi: 10.4266/acc.2020.00234. Epub 2020 Oct 12.
7
Idiopathic Purulent Pericarditis Caused by Methicillin-Sensitive Staphylococcus Aureus in an Immunocompetent Adult.免疫功能正常的成年人中由甲氧西林敏感金黄色葡萄球菌引起的特发性化脓性心包炎
Cureus. 2021 Mar 29;13(3):e14173. doi: 10.7759/cureus.14173.
8
Primary hepatic actinomycosis presenting as purulent pericarditis with cardiac tamponade.原发性肝放线菌病表现为化脓性心包炎伴心脏压塞。
Infection. 2012 Jun;40(3):339-41. doi: 10.1007/s15010-011-0200-y. Epub 2011 Oct 15.
9
Pulmonary actinomycosis followed by pericarditis and intractable pleuritis.肺放线菌病继发心包炎和顽固性胸膜炎。
Intern Med. 2002 Apr;41(4):319-22. doi: 10.2169/internalmedicine.41.319.
10
A Rare Case of Rush Progression of Purulent Pericarditis by Escherichia coli in a Patient with Malignant Lymphoma.恶性淋巴瘤患者中由大肠杆菌引起的化脓性心包炎迅速进展的罕见病例。
Int Heart J. 2018 May 30;59(3):655-659. doi: 10.1536/ihj.17-238. Epub 2018 May 6.

引用本文的文献

1
Complications of linear endobronchial ultrasound guided biopsies: narrative review.线性支气管内超声引导下活检的并发症:叙述性综述
Mediastinum. 2025 May 21;9:12. doi: 10.21037/med-24-33. eCollection 2025.
2
Review of Complications of Endobronchial Ultrasound-Fine Needle Aspiration: A Case of Purulent Pericarditis.经支气管超声引导下细针穿刺并发症的回顾:一例脓性心包炎病例
Open Respir Arch. 2024 Sep 17;6(4):100365. doi: 10.1016/j.opresp.2024.100365. eCollection 2024 Oct-Dec.

本文引用的文献

1
Management of Acute and Recurrent Pericarditis: JACC State-of-the-Art Review.急性和复发性心包炎的管理:美国心脏病学会杂志最新技术综述
J Am Coll Cardiol. 2020 Jan 7;75(1):76-92. doi: 10.1016/j.jacc.2019.11.021.
2
Actinomyces odontolyticus: Rare Etiology for Purulent Pericarditis.溶牙放线菌:脓性心包炎的罕见病因
Case Rep Med. 2014;2014:734925. doi: 10.1155/2014/734925. Epub 2014 Dec 15.
3
Purulent pericarditis: report of 2 cases and review of the literature.脓性心包炎:2例报告并文献复习
Medicine (Baltimore). 2009 Jan;88(1):52-65. doi: 10.1097/MD.0b013e318194432b.
4
Actinomyces odontolyticus, a new species of actinomycete regularly isolated from deep carious dentine.溶牙放线菌,一种经常从深龋牙本质中分离出来的新型放线菌。
J Pathol Bacteriol. 1958 Apr;75(2):455-9. doi: 10.1002/path.1700750225.
5
Case of pleuropericardial disease caused by Actinomyces odontolyticus that resulted in cardiac tamponade.由溶牙放线菌引起的胸膜心包疾病导致心脏压塞的病例。
Clin Infect Dis. 1999 Jul;29(1):219-20. doi: 10.1086/520169.
6
Microbial complexes in subgingival plaque.龈下菌斑中的微生物复合体
J Clin Periodontol. 1998 Feb;25(2):134-44. doi: 10.1111/j.1600-051x.1998.tb02419.x.
7
Microbiology of acute purulent pericarditis. A 12-year experience in a military hospital.急性化脓性心包炎的微生物学。一家军队医院的12年经验。
Arch Intern Med. 1996 Sep 9;156(16):1857-60.
8
Purulent pericarditis: review of a 20-year experience in a general hospital.脓性心包炎:一家综合医院20年经验回顾
J Am Coll Cardiol. 1993 Nov 15;22(6):1661-5. doi: 10.1016/0735-1097(93)90592-o.