Suppr超能文献

DOG1 作为涎腺腺泡细胞癌的免疫组织化学标志物:系统评价和荟萃分析。

DOG1 as an Immunohistochemical Marker of Acinic Cell Carcinoma: A Systematic Review and Meta-Analysis.

机构信息

Division of Anatomic Pathology and Histology, Fondazione Policlinico Universitario A. Gemelli-IRCCS, Largo Agostino Gemelli, 00168 Rome, Italy.

Division of Anatomic Pathology and Histology, Università degli Studi di Messina-Piazza Pugliatti, 98122 Messina, Italy.

出版信息

Int J Mol Sci. 2022 Aug 26;23(17):9711. doi: 10.3390/ijms23179711.

Abstract

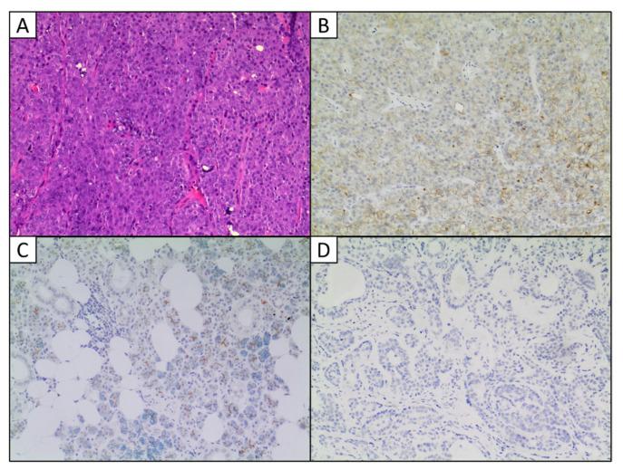
DOG1 is a transmembrane protein originally discovered on gastrointestinal stromal tumors and works as a calcium-activated chloride channel protein. There are a limited number of articles on the potential utility of this antibody in the diagnosis of salivary gland tumors in routine practice. In this study, we aimed to investigate the role of DOG1 as an immunohistochemical marker in patients with salivary acinic cell carcinoma (ACC) through meta-analysis. A literature search was performed of the PubMed, Scopus, and Web of Science databases for English-language studies published from January 2010 to September 2021. The literature search revealed 148 articles, of which 20 were included in the study. The overall rate of DOG1 expression in salivary acinic cell carcinoma was 55% (95% CI = 0.43-0.58). Although ACC is a challenging diagnosis, paying careful attention to the cytomorphological features in conjunction with DOG1 immunostaining can help to reach an accurate diagnosis.

摘要

DOG1 是一种跨膜蛋白,最初在胃肠道基质肿瘤中发现,作为钙激活氯离子通道蛋白起作用。在常规实践中,关于这种抗体在唾液腺肿瘤诊断中潜在应用的文章数量有限。在这项研究中,我们通过荟萃分析旨在研究 DOG1 作为免疫组化标志物在唾液腺腺样囊性癌(ACC)患者中的作用。对 2010 年 1 月至 2021 年 9 月发表的英文研究进行了 PubMed、Scopus 和 Web of Science 数据库的文献检索。文献检索共发现 148 篇文章,其中 20 篇被纳入研究。唾液腺腺样囊性癌中 DOG1 表达的总体率为 55%(95%CI=0.43-0.58)。虽然 ACC 是一种具有挑战性的诊断,但仔细注意细胞形态学特征并结合 DOG1 免疫染色有助于做出准确的诊断。

https://cdn.ncbi.nlm.nih.gov/pmc/blobs/441f/9456024/e3e496db8e9a/ijms-23-09711-g001.jpg

文献检索

告别复杂PubMed语法,用中文像聊天一样搜索,搜遍4000万医学文献。AI智能推荐,让科研检索更轻松。

立即免费搜索

文件翻译

保留排版,准确专业,支持PDF/Word/PPT等文件格式,支持 12+语言互译。

免费翻译文档

深度研究

AI帮你快速写综述,25分钟生成高质量综述,智能提取关键信息,辅助科研写作。

立即免费体验