Suppr超能文献

慢性肾脏病对认知功能及海马体中α-klotho表达的影响。

Effects of chronic kidney disease on cognitive function and α-klotho expression in hippocampus.

作者信息

Huang Menglan, Li Guangzhi, Tan Junhua, Huang Meiying, Huang Feifan, Ma Ruiying, Xiao Yu, Wang Jie

机构信息

Department of Nephrology, The People's Hospital of Baise, Baise, China.

Department of General Medicine, Affiliated Hospital of Youjiang Medical University for Nationalities, Baise, China.

出版信息

Transl Androl Urol. 2022 Aug;11(8):1157-1168. doi: 10.21037/tau-22-465.

Abstract

BACKGROUND

Alpha-klotho (α-KL) is not only related to the regulation of calcium-phosphorus metabolism, and fibrosis in chronic kidney disease (CKD), it is also involved in the regulation of many cognitive disorders. We conducted this study to investigate the effects of CKD on cognitive dysfunction and α-KL.

METHODS

Doxorubicin was used to induce a CKD model, which was validated by weight, 24-hour urine protein quantification, serum creatinine (Cr), blood urea nitrogen (BUN), and kidney hematoxylin-eosin (HE) staining. The Morris water maze (MWM) paradigm was used to assess the effects of CKD on cognitive behavior. The expression of α-KL in the hippocampus was detected using real-time quantitative polymerase chain reaction, Western blot, and immunohistochemistry (IHC).

RESULTS

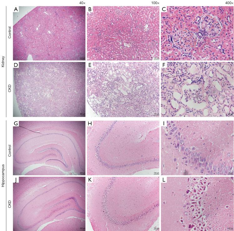
(I) In the CKD group, the weight of the rats increased slowly (P<0.001), 24-hour urine protein increased (P<0.05), and Cr (P=0.026) and BUN levels (P=0.003) increased; (II) HE staining showed that in the CKD group there were changes in the structure, fibrosis, and inflammatory infiltration of the renal tissues, and changes in the structure, cell necrosis, and neuronal degeneration of the hippocampus; (III) in the MWM experiment, the escape latency of the CKD group was prolonged compared to that of the control group (P=0.043, 0.023), and the number of crossing the platform was reduced (P=0.003); (IV) in the CKD group, the expressions of α-KL messenger ribonucleic acid (P=0.0005) and α-KL protein (P=0.0005) in the hippocampus were downregulated. The IHC results showed that the expression of α-KL protein in the hippocampal region III cornus ammonis (CA3) of the CKD group region was also downregulated, and the α-KL-positive cells (P=0.019) and mean optical density (P=0.015) were decreased.

CONCLUSIONS

The expression of α-KL appears to effect the cognitive function of CKD rats; thus, it may be a valuable target in the treatment of CKD with cognitive impairment.

摘要

背景

α-klotho(α-KL)不仅与慢性肾脏病(CKD)中钙磷代谢及纤维化的调节有关,还参与多种认知障碍的调节。我们开展本研究以探究CKD对认知功能障碍及α-KL的影响。

方法

使用阿霉素诱导CKD模型,通过体重、24小时尿蛋白定量、血清肌酐(Cr)、血尿素氮(BUN)及肾脏苏木精-伊红(HE)染色进行验证。采用莫里斯水迷宫(MWM)范式评估CKD对认知行为的影响。使用实时定量聚合酶链反应、蛋白质免疫印迹法及免疫组织化学(IHC)检测海马中α-KL的表达。

结果

(I)CKD组大鼠体重增长缓慢(P<0.001),24小时尿蛋白增加(P<0.05),Cr(P=0.026)及BUN水平(P=0.003)升高;(II)HE染色显示,CKD组肾组织结构、纤维化及炎性浸润有变化,海马结构、细胞坏死及神经元变性也有变化;(III)在MWM实验中,CKD组的逃避潜伏期较对照组延长(P=0.043,0.023),穿越平台次数减少(P=0.003);(IV)CKD组海马中α-KL信使核糖核酸(P=0.0005)及α-KL蛋白(P=0.0005)表达下调。IHC结果显示,CKD组海马区域III海马角(CA3)中α-KL蛋白表达也下调,α-KL阳性细胞(P=0.019)及平均光密度(P=0.015)降低。

结论

α-KL的表达似乎影响CKD大鼠的认知功能;因此,它可能是治疗伴有认知障碍的CKD的一个有价值的靶点。

https://cdn.ncbi.nlm.nih.gov/pmc/blobs/41e5/9459542/99faea0117ce/tau-11-08-1157-f1.jpg

文献AI研究员

20分钟写一篇综述,助力文献阅读效率提升50倍。

立即体验

用中文搜PubMed

大模型驱动的PubMed中文搜索引擎

马上搜索

文档翻译

学术文献翻译模型,支持多种主流文档格式。

立即体验