Suppr超能文献

新型冠状病毒肺炎感染后放线菌性肝脓肿病例报告

Case report of actinomycotic liver abscess following COVID-19 infection.

作者信息

Lévay Klára, Daradics Noémi, Horváth Tibor, Kovács Tibor, Fülöp András, Oláh Attila, Szijártó Attila

机构信息

Department of Surgery, Transplantation and Gastroenterology, Hepato-Pancreatico-Biliary (HPB) Surgical Research Center Hungary, Semmelweis University, Budapest, Hungary.

Department of Gastroenterology, Soproni Erzsébet Teaching Hospital and Rehabilitation Institute, Sopron, Hungary.

出版信息

Ann Med Surg (Lond). 2022 Oct;82:104525. doi: 10.1016/j.amsu.2022.104525. Epub 2022 Sep 6.

Abstract

INTRODUCTION AND IMPORTANCE

In the last few years, the novel coronavirus, named severe acute respiratory syndrome coronavirus-2 (SARS-CoV-2), generated a large health care problem worldwide. Due to the immunomodulation effect of the virus the number of opportunistic infections has also increased.

CASE PRESENTATION

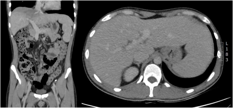
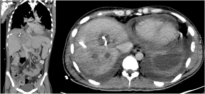
We present the unique case of a patient who was diagnosed with an actinomycotic liver abscess after coronavirus disease 2019 (COVID-19) without the presence of any chronic disease or mucosal injury.

CLINICAL DISCUSSION

According to the results of the computer tomography (CT scan) and the liver biopsy, the patient was treated with antibiotics and ultrasound-guided drainage.

CONCLUSION

With this case we would like to draw attention to the possible occurrence of liver abscesses caused by an opportunistic pathogen following COVID-19.

摘要

引言与重要性

在过去几年中,名为严重急性呼吸综合征冠状病毒2(SARS-CoV-2)的新型冠状病毒在全球引发了重大的医疗保健问题。由于该病毒的免疫调节作用,机会性感染的数量也有所增加。

病例介绍

我们呈现了一例独特病例,该患者在感染2019冠状病毒病(COVID-19)后被诊断出患有放线菌性肝脓肿,且不存在任何慢性疾病或黏膜损伤。

临床讨论

根据计算机断层扫描(CT扫描)结果和肝活检结果,该患者接受了抗生素治疗及超声引导下引流。

结论

通过此病例,我们希望引起人们对COVID-19后由机会性病原体引起肝脓肿可能性的关注。

https://cdn.ncbi.nlm.nih.gov/pmc/blobs/5796/9577432/b8a0e5df80ef/gr1.jpg

文献AI研究员

20分钟写一篇综述,助力文献阅读效率提升50倍。

立即体验

用中文搜PubMed

大模型驱动的PubMed中文搜索引擎

马上搜索

文档翻译

学术文献翻译模型,支持多种主流文档格式。

立即体验