Suppr超能文献

巨大板障内表皮样瘤1例非典型病例。

An atypical case of giant intradiploic epidermoid tumor.

作者信息

Dua Sanjeev, Dhar Anil, Singh Hershdeep, Katyar Vikrant, Ambastha Rooma, Shukla Aditi

机构信息

Department of Neurosurgery, Max Super Speciality Hospital, New Delhi, India.

Department of Pathology, Max Super Speciality Hospital, New Delhi, India.

出版信息

Int J Health Sci (Qassim). 2022 Sep-Oct;16(5):85-90.

Abstract

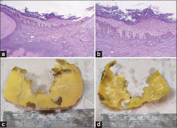
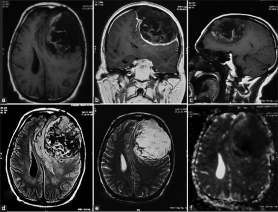
Intradiploic epidermoid tumors are uncommon and giant epidermoid with dural involvement is scarcer. We report a unique case of a giant frontal epidermoid tumor presenting without typical features of swelling or bulge in scalp. A 61-year-old male presented with the complaints of forgetfulness and headache. Contrast magnetic resonance imaging brain revealed a large left frontal epidermoid tumor. A tumor measuring 13 × 11 × 4 cm, involving the dura but sparing the brain parenchyma, was excised through left frontal craniotomy. Such a presentation of giant epidermoid tumor with dural involvement is highly unusual. Complete surgical excision is the final aim and vigilant follow-up for recurrence is a must.

摘要

板障内表皮样瘤并不常见,累及硬脑膜的巨大表皮样瘤则更为罕见。我们报告一例独特的巨大额部表皮样瘤病例,该病例无头皮肿胀或隆起的典型特征。一名61岁男性因健忘和头痛就诊。脑部增强磁共振成像显示左额叶有一个巨大的表皮样瘤。通过左额开颅手术切除了一个大小为13×11×4 cm、累及硬脑膜但未累及脑实质的肿瘤。这种累及硬脑膜的巨大表皮样瘤表现非常罕见。完整的手术切除是最终目标,必须对复发进行密切随访。

https://cdn.ncbi.nlm.nih.gov/pmc/blobs/9379/9441647/11b2e0a77c43/IJHS-16-85-g001.jpg

文献AI研究员

20分钟写一篇综述,助力文献阅读效率提升50倍。

立即体验

用中文搜PubMed

大模型驱动的PubMed中文搜索引擎

马上搜索

文档翻译

学术文献翻译模型,支持多种主流文档格式。

立即体验