Suppr超能文献

γ干扰素通过不依赖和依赖蛋白激酶R的机制调节关节软骨细胞和成骨细胞的代谢。

Interferon-gamma modulates articular chondrocyte and osteoblast metabolism through protein kinase R-independent and dependent mechanisms.

作者信息

Gilbert S J, Blain E J, Mason D J

机构信息

Biomechanics & Bioengineering Centre Versus Arthritis, School of Biosciences, Cardiff University, CF10 3AX, UK.

出版信息

Biochem Biophys Rep. 2022 Sep 7;32:101323. doi: 10.1016/j.bbrep.2022.101323. eCollection 2022 Dec.

Abstract

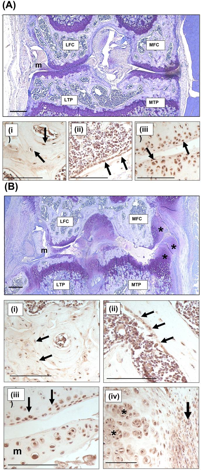
Osteoarthritis (OA) affects multiple tissues of the synovial joint and is characterised by articular cartilage degeneration and bone remodelling. Interferon-γ (IFN-γ) is implicated in osteoarthritis pathology exerting its biological effects via various mechanisms including activation of protein kinase R (PKR), which has been implicated in inflammation and arthritis. This study investigated whether treatment of articular cartilage chondrocytes and osteoblasts with IFN-γ could induce a degradative phenotype that was mediated through the PKR signalling pathway. IFN-γ treatment of chondrocytes increased transcription of key inflammatory mediators (TNF-α, IL-6), matrix degrading enzymes (MMP-13), the transcription factor STAT1, and PKR. Activation of PKR was involved in the regulation of TNF-α, IL-6, and STAT1. In osteoblasts, IFN-γ increased human and mouse STAT1, and human IL-6 through a mechanism involving PKR. ALP, COL1A1 (human and mouse), RUNX2 (mouse), and PHOSPHO1 (mouse) were decreased by IFN-γ. The number of PKR positive cells were increased in post-traumatic OA (PTOA). This study has revealed that IFN-γ propagates inflammatory and degenerative events in articular chondrocytes and osteoblasts via PKR activation. Since IFN-γ and PKR signalling are both activated in early PTOA, these mechanisms are likely to contribute to joint degeneration after injury and might offer attractive targets for therapeutic intervention.

摘要

骨关节炎(OA)会影响滑膜关节的多个组织,其特征为关节软骨退变和骨重塑。干扰素-γ(IFN-γ)与骨关节炎病理过程相关,它通过多种机制发挥生物学作用,包括激活蛋白激酶R(PKR),而PKR与炎症和关节炎有关。本研究调查了用IFN-γ处理关节软骨软骨细胞和成骨细胞是否会诱导通过PKR信号通路介导的降解表型。用IFN-γ处理软骨细胞会增加关键炎症介质(TNF-α、IL-6)、基质降解酶(MMP-13)、转录因子STAT1和PKR的转录。PKR的激活参与了TNF-α、IL-6和STAT1的调节。在成骨细胞中,IFN-γ通过涉及PKR的机制增加人及小鼠的STAT1和人IL-6。IFN-γ会降低碱性磷酸酶(ALP)、I型胶原蛋白(COL1A1,人及小鼠)、RUNX2(小鼠)和PHOSPHO1(小鼠)的水平。创伤后骨关节炎(PTOA)中PKR阳性细胞数量增加。本研究表明,IFN-γ通过激活PKR在关节软骨细胞和成骨细胞中引发炎症和退变事件。由于IFN-γ和PKR信号在早期PTOA中均被激活,这些机制可能导致损伤后关节退变,并且可能为治疗干预提供有吸引力的靶点。

https://cdn.ncbi.nlm.nih.gov/pmc/blobs/67e3/9464860/cc55cba709a1/gr1.jpg

文献AI研究员

20分钟写一篇综述,助力文献阅读效率提升50倍。

立即体验

用中文搜PubMed

大模型驱动的PubMed中文搜索引擎

马上搜索

文档翻译

学术文献翻译模型,支持多种主流文档格式。

立即体验