Chang Kai-Chieh, Hsieh Cheng-Ta, Huang Jing-Shan
Division of Neurosurgery, Department of Surgery, Cathay General Hospital, Taipei City 106, Taiwan.
Department of Medicine, School of Medicine, Fu Jen Catholic University, New Taipei City 24205, Taiwan.
Radiol Case Rep. 2022 Sep 6;17(11):4156-4160. doi: 10.1016/j.radcr.2022.07.014. eCollection 2022 Nov.
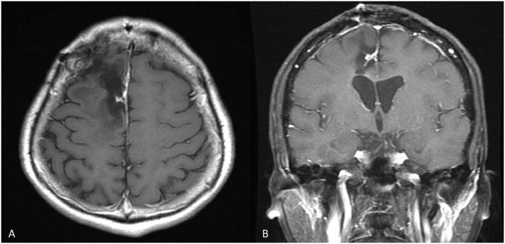
Hemangioblastomas are rare and benign tumors of the central nervous system. They account for 1.5%-2.5% of all intracranial tumors and have an incidence of 3.2%. The resemblance of hemangioblastomas to other tumors renders preoperative diagnosis and management challenging. Herein, we report a case of a supratentorial hemangioblastoma accompanied by extensive reactive gliosis and diagnosed through magnetic resonance imaging. In addition, we review the relevant literature.
血管母细胞瘤是中枢神经系统罕见的良性肿瘤。它们占所有颅内肿瘤的1.5%-2.5%,发病率为3.2%。血管母细胞瘤与其他肿瘤相似,这使得术前诊断和治疗具有挑战性。在此,我们报告一例幕上血管母细胞瘤伴有广泛反应性胶质增生,并通过磁共振成像确诊。此外,我们还回顾了相关文献。