• 文献检索
  • 文档翻译
  • 深度研究
  • 学术资讯
  • Suppr Zotero 插件Zotero 插件
  • 邀请有礼
  • 套餐&价格
  • 历史记录
应用&插件
Suppr Zotero 插件Zotero 插件浏览器插件Mac 客户端Windows 客户端微信小程序
定价
高级版会员购买积分包购买API积分包
服务
文献检索文档翻译深度研究API 文档MCP 服务
关于我们
关于 Suppr公司介绍联系我们用户协议隐私条款
关注我们

Suppr 超能文献

核心技术专利:CN118964589B侵权必究
粤ICP备2023148730 号-1Suppr @ 2026

文献检索

告别复杂PubMed语法,用中文像聊天一样搜索,搜遍4000万医学文献。AI智能推荐,让科研检索更轻松。

立即免费搜索

文件翻译

保留排版,准确专业,支持PDF/Word/PPT等文件格式,支持 12+语言互译。

免费翻译文档

深度研究

AI帮你快速写综述,25分钟生成高质量综述,智能提取关键信息,辅助科研写作。

立即免费体验

Netrin-1、DCC、UNC5B 和 VEGF 在稽留流产患者绒毛组织中的表达及相关性研究。

Expression and Relationship of Netrin-1, DCC, UNC5B, and VEGF in Villous Tissues of Patients with Delayed Abortion.

机构信息

Huai'an Maternal and Child Health Care Center, Huai'an 223001, China.

Department of Breast Thyroid and Vascular Surgery, The Affiliated Huai'an Hospital of Xuzhou Medical University and the Second People's Hospital of Huai'an, Huai'an 223001, China.

出版信息

Contrast Media Mol Imaging. 2022 Aug 30;2022:6283372. doi: 10.1155/2022/6283372. eCollection 2022.

DOI:10.1155/2022/6283372
PMID:36110982
原文链接:https://pmc.ncbi.nlm.nih.gov/articles/PMC9448610/
Abstract

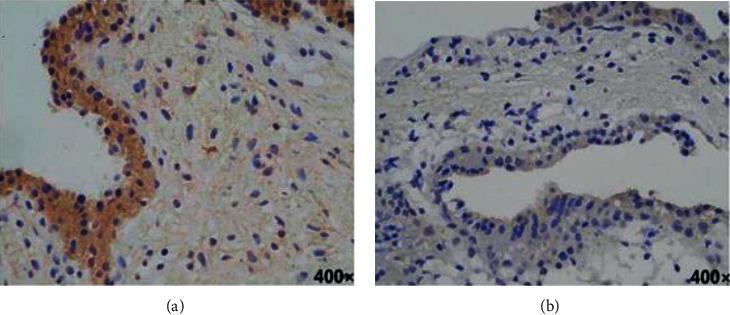
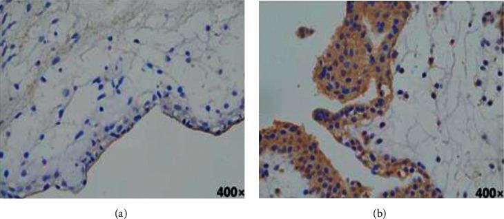
In order to investigate the correlation between neuroaxon-guiding factor (Netrin-1), deleted in colorectal cancer (DCC), uncoordinated 5B (UNC5B), and vascular endothelial growth factor (VEGF) expression machine in villus tissues of delayed abortion in colorectal cancer, a total of 120 pregnant women are selected from February 2019 to August 2021. The two groups of subjects improve the relevant examinations before surgery and the underwent negative pressure induces abortion hysterectomy guided by abdominal ultrasound under intravenous anesthesia. The mRNA and protein expressions of netrin-1, DCC, UNC5B, and VEGF in the villi of the two groups are detected by real-time fluorescence quantitative polymerase chain reaction (RT-PCR) and immunohistochemistry (IHC), and the correlation of the four indicators is analyzed by Pearson's test.

摘要

为了研究神经轴突导向因子(Netrin-1)、结直肠癌缺失基因(DCC)、未协调蛋白 5B(UNC5B)和血管内皮生长因子(VEGF)在结直肠癌延迟流产绒毛组织中的表达关系,选择了 2019 年 2 月至 2021 年 8 月间的 120 名孕妇。两组患者均在术前进行相关检查,然后在静脉麻醉下通过腹部超声引导负压诱导流产子宫切除术。采用实时荧光定量聚合酶链反应(RT-PCR)和免疫组织化学(IHC)检测两组绒毛中 netrin-1、DCC、UNC5B 和 VEGF 的 mRNA 和蛋白表达,并通过 Pearson 检验分析这四个指标之间的相关性。

https://cdn.ncbi.nlm.nih.gov/pmc/blobs/89fb/9448610/f8b5308a2f2b/CMMI2022-6283372.004.jpg
https://cdn.ncbi.nlm.nih.gov/pmc/blobs/89fb/9448610/0c571f899609/CMMI2022-6283372.001.jpg
https://cdn.ncbi.nlm.nih.gov/pmc/blobs/89fb/9448610/613619626cb8/CMMI2022-6283372.002.jpg
https://cdn.ncbi.nlm.nih.gov/pmc/blobs/89fb/9448610/481d0dc12955/CMMI2022-6283372.003.jpg
https://cdn.ncbi.nlm.nih.gov/pmc/blobs/89fb/9448610/f8b5308a2f2b/CMMI2022-6283372.004.jpg
https://cdn.ncbi.nlm.nih.gov/pmc/blobs/89fb/9448610/0c571f899609/CMMI2022-6283372.001.jpg
https://cdn.ncbi.nlm.nih.gov/pmc/blobs/89fb/9448610/613619626cb8/CMMI2022-6283372.002.jpg
https://cdn.ncbi.nlm.nih.gov/pmc/blobs/89fb/9448610/481d0dc12955/CMMI2022-6283372.003.jpg
https://cdn.ncbi.nlm.nih.gov/pmc/blobs/89fb/9448610/f8b5308a2f2b/CMMI2022-6283372.004.jpg

相似文献

1
Expression and Relationship of Netrin-1, DCC, UNC5B, and VEGF in Villous Tissues of Patients with Delayed Abortion.Netrin-1、DCC、UNC5B 和 VEGF 在稽留流产患者绒毛组织中的表达及相关性研究。
Contrast Media Mol Imaging. 2022 Aug 30;2022:6283372. doi: 10.1155/2022/6283372. eCollection 2022.
2
Characterization and expression of netrin-1 and its receptors UNC5B and DCC in human placenta.人胎盘中外源凝集素-1 及其受体 UNC5B 和 DCC 的特征描述和表达。
J Histochem Cytochem. 2010 Jan;58(1):73-82. doi: 10.1369/jhc.2009.953463. Epub 2009 Oct 13.
3
PKCα is involved in the progression of kidney carcinoma through regulating netrin-1/UNC5B signaling pathway.蛋白激酶Cα(PKCα)通过调节netrin-1/UNC5B信号通路参与肾癌的进展。
Tumour Biol. 2013 Jun;34(3):1759-66. doi: 10.1007/s13277-013-0714-2. Epub 2013 Mar 23.
4
Netrin-1 inhibits sprouting angiogenesis in developing avian embryos.Netrin-1抑制发育中的鸟类胚胎的出芽血管生成。
Dev Biol. 2008 Jun 1;318(1):172-83. doi: 10.1016/j.ydbio.2008.03.023. Epub 2008 Mar 26.
5
Effects of treadmill exercise on the expression of netrin-1 and its receptors in rat brain after cerebral ischemia. treadmill 运动对脑缺血后大鼠脑内 netrin-1 及其受体表达的影响。
Neuroscience. 2011 Oct 27;194:349-58. doi: 10.1016/j.neuroscience.2011.07.037. Epub 2011 Jul 27.
6
Netrin-1 and its receptor Unc5b are novel targets for the treatment of inflammatory arthritis.Netrin-1及其受体Unc5b是治疗炎性关节炎的新靶点。
FASEB J. 2016 Nov;30(11):3835-3844. doi: 10.1096/fj.201600615R. Epub 2016 Aug 8.
7
Tyrosine phosphorylation of netrin receptors in netrin-1 signaling.在netrin-1信号传导中,netrin受体的酪氨酸磷酸化。
Neurosignals. 2008;16(2-3):235-45. doi: 10.1159/000111566. Epub 2008 Feb 5.
8
Peri-pubertal emergence of UNC-5 homologue expression by dopamine neurons in rodents.在啮齿动物中,多巴胺神经元在青春期前出现 UNC-5 同源物的表达。
PLoS One. 2010 Jul 8;5(7):e11463. doi: 10.1371/journal.pone.0011463.
9
Netrin-1-Regulated Distribution of UNC5B and DCC in Live Cells Revealed by TICCS.TICCS揭示Netrin-1调控的UNC5B和DCC在活细胞中的分布
Biophys J. 2016 Feb 2;110(3):623-634. doi: 10.1016/j.bpj.2015.12.022.
10
Interactional expression of netrin-1 and its dependence receptor UNC5B in prostate carcinoma.Netrin-1及其依赖受体UNC5B在前列腺癌中的相互作用表达
Tumour Biol. 2013 Oct;34(5):2765-72. doi: 10.1007/s13277-013-0834-8. Epub 2013 May 12.

引用本文的文献

1
Retracted: Expression and Relationship of Netrin-1, DCC, UNC5B, and VEGF in Villous Tissues of Patients with Delayed Abortion.撤回:Netrin-1、DCC、UNC5B和VEGF在稽留流产患者绒毛组织中的表达及关系
Contrast Media Mol Imaging. 2023 Jul 26;2023:9762507. doi: 10.1155/2023/9762507. eCollection 2023.

本文引用的文献

1
Cardinality-constrained portfolio selection based on collaborative neurodynamic optimization.基于协同神经动力学优化的约束容差投资组合选择。
Neural Netw. 2022 Jan;145:68-79. doi: 10.1016/j.neunet.2021.10.007. Epub 2021 Oct 25.
2
The role of β-HCG and VEGF-MEK/ERK signaling pathway in villi angiogenesis in patients with missed abortion.β-HCG 和 VEGF-MEK/ERK 信号通路在稽留流产患者绒毛血管生成中的作用。
Placenta. 2021 Jan 1;103:16-23. doi: 10.1016/j.placenta.2020.10.005. Epub 2020 Oct 8.
3
Neuron-derived netrin-1 and netrin-4 proteins are additional effective targets in diabetic retinopathy beyond VEGF.
除血管内皮生长因子(VEGF)外,神经元衍生的netrin-1和netrin-4蛋白是糖尿病视网膜病变的其他有效靶点。
Int J Clin Exp Pathol. 2017 Aug 1;10(8):8174-8186. eCollection 2017.
4
Assessing whether progesterone-matured dendritic cells are responsible for retention of fertilization products in missed abortion.评估孕激素成熟树突状细胞是否是导致稽留流产中受精产物滞留的原因。
Med Hypotheses. 2018 Sep;118:169-173. doi: 10.1016/j.mehy.2018.04.008. Epub 2018 Apr 12.
5
Early missed abortion is associated with villous angiogenesis via the HIF-1α/VEGF signaling pathway.早期稽留流产与通过低氧诱导因子-1α/血管内皮生长因子信号通路的绒毛血管生成有关。
Arch Gynecol Obstet. 2018 Sep;298(3):537-543. doi: 10.1007/s00404-018-4802-9. Epub 2018 Jun 27.
6
Low oxygen tension induces Krüppel-Like Factor 6 expression in trophoblast cells.低氧张力诱导滋养层细胞中类Krüppel因子6的表达。
Placenta. 2016 Sep;45:50-7. doi: 10.1016/j.placenta.2016.07.006. Epub 2016 Jul 27.
7
Early pregnancy angiogenic markers and spontaneous abortion: an Odense Child Cohort study.早期妊娠血管生成标志物与自然流产:一项欧登塞儿童队列研究
Am J Obstet Gynecol. 2016 Nov;215(5):594.e1-594.e11. doi: 10.1016/j.ajog.2016.06.007. Epub 2016 Jun 8.
8
Netrin-1-Regulated Distribution of UNC5B and DCC in Live Cells Revealed by TICCS.TICCS揭示Netrin-1调控的UNC5B和DCC在活细胞中的分布
Biophys J. 2016 Feb 2;110(3):623-634. doi: 10.1016/j.bpj.2015.12.022.
9
A new approach towards zeolitic tetrazolate-imidazolate frameworks (ZTIFs) with uncoordinated N-heteroatom sites for high CO2 uptake.一种针对具有未配位氮杂原子位点的沸石四唑酸盐-咪唑酸盐骨架(ZTIFs)以实现高二氧化碳吸附量的新方法。
Chem Commun (Camb). 2014 Oct 18;50(81):12065-8. doi: 10.1039/c4cc05022c.
10
Effects of treadmill exercise on the expression of netrin-1 and its receptors in rat brain after cerebral ischemia. treadmill 运动对脑缺血后大鼠脑内 netrin-1 及其受体表达的影响。
Neuroscience. 2011 Oct 27;194:349-58. doi: 10.1016/j.neuroscience.2011.07.037. Epub 2011 Jul 27.