Suppr超能文献

一种铜标记的靶向CD4 T细胞的正电子发射断层显像(PET)示踪剂的研发:CD4特异性评估及其在胶原诱导性关节炎中的潜在应用

Development of a Cu-labeled CD4 T cell targeting PET tracer: evaluation of CD4 specificity and its potential use in collagen-induced arthritis.

作者信息

Clausen Anne Skovsbo, Christensen Camilla, Christensen Esben, Cold Sigrid, Kristensen Lotte Kellemann, Hansen Anders Elias, Kjaer Andreas

机构信息

Department of Clinical Physiology, Nuclear Medicine & PET and Cluster for Molecular Imaging, Department of Biomedical Sciences, Rigshospitalet and University of Copenhagen, Blegdamsvej 9, 2100, Copenhagen, Denmark.

Department of Health Technology, Section for Biotherapeutic Engineering and Drug Targeting, Technical University of Denmark, Anker Engelunds Vej 1, 2800, Kongens Lyngby, Denmark.

出版信息

EJNMMI Res. 2022 Sep 16;12(1):62. doi: 10.1186/s13550-022-00934-7.

Abstract

BACKGROUND

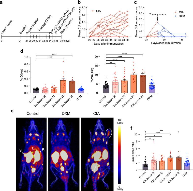
CD4 T cells are central inflammatory mediators in the pathogenesis of autoimmune rheumatoid arthritis (RA), as they are one of the dominating cell types in synovial inflammation. Molecular imaging of CD4 T cells has potential role for early detection and monitoring of RA. Here, we developed a new radiotracer for in vivo immunoPET imaging of murine CD4 T cells and tested it in the collagen-induced arthritis (CIA) mouse model of human RA.

RESULTS

The tracer, [Cu]Cu-NOTA-CD4-F(ab)'2 ([Cu]Cu-NOTA-CD4), was generated from F(ab)'2 fragments of R-anti-mouse CD4 antibodies conjugated to the 2-S-(isothiocyanatbenzyl)-1,4,7-triazacyclononane-1,4,7-triacetic acid (p-SCN-Bn-NOTA) chelator and radiolabeled with copper-64. Accumulation of the tracer and isotype control was evaluated in the CIA model and mice receiving whole-body irradiation (WBI) (5 Gy). The potential of [Cu]Cu-NOTA-CD4 for response assessment was evaluated in CIA induced mice treated with dexamethasone (DXM). Imaging data were compared with flow cytometry and immunohistochemistry (IHC) of inflammatory cells including CD4 T cells. [Cu]Cu-NOTA-CD4 showed increased accumulation in T cell-rich tissues compared with isotype control (p < 0.0001). In addition, reduced accumulation of [Cu]Cu-NOTA-CD4 was observed in T cell-depleted tissue (p < 0.0001). Flow cytometry and IHC confirmed the increased infiltration of CD4 T cells in CIA mice.

CONCLUSIONS

We developed and evaluated a new radiotracer, [Cu]Cu-NOTA-CD4, for immunoPET imaging of murine CD4 T cells. [Cu]Cu-NOTA-CD4 was successfully synthesized by F(ab)'2 fragments of R-anti-mouse CD4 antibodies conjugated to a chelator and radiolabeled with copper-64. We found that our novel CD4 PET tracer can be used for noninvasive visualization of murine CD4 T cells.

摘要

背景

CD4 T细胞是自身免疫性类风湿关节炎(RA)发病机制中的关键炎症介质,因为它们是滑膜炎症中主要的细胞类型之一。CD4 T细胞的分子成像在RA的早期检测和监测中具有潜在作用。在此,我们开发了一种用于小鼠CD4 T细胞体内免疫正电子发射断层显像(immunoPET)成像的新型放射性示踪剂,并在人类RA的胶原诱导性关节炎(CIA)小鼠模型中对其进行了测试。

结果

示踪剂[Cu]Cu-NOTA-CD4-F(ab)'2([Cu]Cu-NOTA-CD4)由与2-S-(异硫氰酸苄基)-1,4,7-三氮杂环壬烷-1,4,7-三乙酸(p-SCN-Bn-NOTA)螯合剂偶联的R-抗小鼠CD4抗体的F(ab)'2片段产生,并用铜-64进行放射性标记。在CIA模型和接受全身照射(WBI)(5 Gy)的小鼠中评估了示踪剂和同型对照的蓄积情况。在用地塞米松(DXM)治疗的CIA诱导小鼠中评估了[Cu]Cu-NOTA-CD4用于反应评估的潜力。将成像数据与包括CD4 T细胞在内的炎性细胞的流式细胞术和免疫组织化学(IHC)进行了比较。与同型对照相比,[Cu]Cu-NOTA-CD4在富含T细胞的组织中蓄积增加(p < 0.0001)。此外,在T细胞耗竭的组织中观察到[Cu]Cu-NOTA-CD4的蓄积减少(p < 0.0001)。流式细胞术和IHC证实了CIA小鼠中CD4 T细胞浸润增加。

结论

我们开发并评估了一种用于小鼠CD4 T细胞免疫正电子发射断层显像的新型放射性示踪剂[Cu]Cu-NOTA-CD4。[Cu]Cu-NOTA-CD4通过与螯合剂偶联的R-抗小鼠CD4抗体的F(ab)'2片段成功合成,并用铜-64进行放射性标记。我们发现我们的新型CD4正电子发射断层显像示踪剂可用于小鼠CD4 T细胞的无创可视化。

https://cdn.ncbi.nlm.nih.gov/pmc/blobs/5b34/9481863/0013c47f5867/13550_2022_934_Fig1_HTML.jpg

文献AI研究员

20分钟写一篇综述,助力文献阅读效率提升50倍。

立即体验

用中文搜PubMed

大模型驱动的PubMed中文搜索引擎

马上搜索

文档翻译

学术文献翻译模型,支持多种主流文档格式。

立即体验