Suppr超能文献

透明细胞肾细胞癌与多形性胶质母细胞瘤共存:双原发性恶性肿瘤,它们存在因果关系吗?

Clear-cell renal cell carcinoma and glioblastoma multiforme coexistence: Double primary malignancy, does it have a causal relationship?

作者信息

Simanjuntak Kevin Ariel Tiopan, Al Fauzi Asra, Christi Ayu Yoniko, Budiono Perthdyatama Syifaq, Susilo Rahadian Indarto, Haq Irwan Barlian Immadoel, Suroto Nur Setiawan, Fauziah Dyah, Djatisoesanto Wahjoe

机构信息

Department of Neurosurgery, Universitas Airlangga - Dr. Soetomo General Academic Hospital, Surabaya, Indonesia.

Department of Anatomical Pathology, Universitas Airlangga - Dr. Soetomo General Academic Hospital, Surabaya, Indonesia.

出版信息

Surg Neurol Int. 2022 Aug 12;13:361. doi: 10.25259/SNI_598_2022. eCollection 2022.

Abstract

BACKGROUND

Multiple primary malignancies (MPMs), especially coexistence of renal cell carcinoma (RCC) and glioblastoma multiforme (GBM), are rare. The most likely clinical diagnosis in patient with tumor in another organ is metastatic brain tumor. Although GBM is the most common brain tumor, it is rarely coexistent with other malignancies.

CASE DESCRIPTION

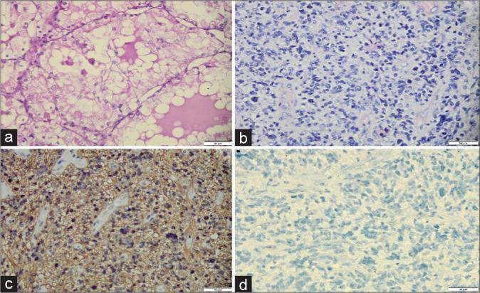
A 64-year-old female presented with headache and dizziness, along with abdominal pain for 2 weeks before being admitted. The abdominal computed tomography (CT) scan showed a kidney tumor. The patient developed left hemiplegia, and the brain CT scan showed an intracranial tumor. The patient suggested for radical nephrectomy and craniotomy tumor removal. Histopathology of the kidney and brain tumor revealed two different features, which showed RCC and GBM. Immunohistochemistry result confirmed the diagnosis of GBM and IDH1 wild type; coexistent with clear cell RCC.

CONCLUSION

The coexistence of carcinoma and glioma should be regarded as coincidental cases if it did not accomplish the criteria for tumor-to-tumor metastasis or proven to be a genetic syndrome. This case report provides an addition to the literature about double primary malignancy in a single patient. More studies are needed to confirm whether they have causal relationship or merely coincidental findings.

摘要

背景

多原发性恶性肿瘤(MPMs),尤其是肾细胞癌(RCC)与多形性胶质母细胞瘤(GBM)共存的情况较为罕见。在另一个器官有肿瘤的患者中,最可能的临床诊断是脑转移瘤。虽然GBM是最常见的脑肿瘤,但它很少与其他恶性肿瘤共存。

病例描述

一名64岁女性,入院前2周出现头痛、头晕以及腹痛症状。腹部计算机断层扫描(CT)显示肾脏有肿瘤。患者出现左侧偏瘫,脑部CT扫描显示颅内有肿瘤。建议患者进行根治性肾切除术及开颅肿瘤切除术。肾脏和脑部肿瘤的组织病理学显示出两种不同特征,分别为RCC和GBM。免疫组织化学结果证实为GBM且IDH1野生型;与透明细胞RCC共存。

结论

如果癌和胶质瘤的共存不符合肿瘤转移至肿瘤的标准或未被证实为遗传综合征,则应视为偶发病例。本病例报告为关于单一患者双原发性恶性肿瘤的文献增添了内容。需要更多研究来证实它们是因果关系还是仅仅是偶发发现。

https://cdn.ncbi.nlm.nih.gov/pmc/blobs/486d/9479614/f6b630df7ae8/SNI-13-361-g001.jpg

文献AI研究员

20分钟写一篇综述,助力文献阅读效率提升50倍。

立即体验

用中文搜PubMed

大模型驱动的PubMed中文搜索引擎

马上搜索

文档翻译

学术文献翻译模型,支持多种主流文档格式。

立即体验